კვლევები
1-ად შესაკვეთი გამოკვლევები
კრიპტოკოკული პოლისაქარიდული ანტიგენი შრატში (CrAg)
ტესტი
CrAg შეიძლება გამოვლინდეს სწრაფი ანტიგენის ტესტების დახმარებით.[32]
ლატერალური ნაკადის ანალიზი (LFA) არის სწრაფი ტესტი, რომელიც ტარდება ლაბორატორიის გარეშე და 10 წუთში იძლევა შედეგს. შესაძლებელია პლაზმის, შრატის, სისხლის ან თავზურგტვინის სითხის ტესტირება.[36] ერთი ხელმისაწვდომი CrAg LFA -ს ვალიდაციით გამოვლინდა სენსიტიურობა 99.3% და სპეციფიკურობა 99.1%.[37] ლატექს აგლუტინაცია (ლატექსის ნაწილაკები, რომლებიც დაფარულია პოლიკლონური კრიპტოკოკული კაფსულის ანტისხეულებით), ანტიგენის პირდაპირ განსაზღვრის ანალიზი, ტარდება სისხლზე, თავზურგტვინის სითხეზე ან სხეულის სითხეებზე, როგორიცაა პლევრის სითხე და ბრონქოალვეოლური ლავაჟის ნიმუშები. ლატექს აგლუტინაციის სენსიტიურობა ვარირებს 97%-დან 97.8%-მდე. სპეციფიკურობა ვარირებს 85.9%-დან 100%-მდე.[37] 0.4%-მდე შემთხვევებში ვიღებთ ცრუ დადებით შედეგებს, მაგ. რევმატოიდული ფაქტორის არსებობის დროს ან შემდეგი მიკროორგანიზმებით ინფექციის შემთხვევაში: Trichosporon beigelii, Stomatococcus mucilaginosus, Capnocytophaga canimorsus, ან Klebsiella pneumoniae.[38][39][40] ცრუ-უარყოფით შედეგებს იწვევს სოკოების დაბალი რაოდენობა.
შრატში კრიპტოკოკული ანტიგენი (CrAg) როგორც წესი, დადებითია აივ ინფიცირებულ პაციენტებში, რომელთაც კრიპტოკოკური მენინგიტი აქვთ. თავ-ზურგტვინის სითხის ჩართულობა უფრო ხშირია როცა შრატში CrAg ტიტრი იზრდება 1:160 -ზე მეტად (LFA). როდესაც შრატის ტიტრი არის >1:1280, ან >1:640 (LFA) აივ-ით დაავადებულ პაციენტებში, მაშინაც კი, თუ თავ-ზურგტვინის სითხე არის CrAg-ზე უარყოფითი, უნდა ვივარაუდოთ ცენტრალური ნერვული სისტემის ტვინის პარენქიმული ჩართულობა.[20][41] ფილტვის კრიპტოკოკოზის დროს sCRAG ჩვეულებრივ უარყოფითია, თუ ინფექცია დაკავშირებულია ფილტვის ≤1სმ ზომის კვანძთან. დადებითმა შედეგებმა შესაძლოა აცვენოს დისემინირებული დაავადება. sCRAG ტიტრების სერიული ფლუქტუაცია არ უნდა გამოვიყენოთ მკურნალობის წარსამართად, რადგანაც CRAG-ს ელიმინაციის კინეტიკა უცნობია.[1][42]
შედეგი
დადებითი
კრიპტოკოკული პოლისაქარიდული ანტიგენი (CrAg) თავზურგტვინის სითხეში
კრიპტოკოკული პოლისაქარიდული ანტიგენი პლევრის სითხეში (CrAg)
კულტივირება
ტესტი
Cryptococcus neoformans-ს და Cryptococcus var. შესაძლებელია ბიოლოგიური ნიმუშებიდან და კოლონიებიდან, რომლებიც მიიღება მყარი აგარის თეფშზე 48-72 სთ ინკუბაციის შემდეგ 86°F (30°C) - 95°F (35°C)ტემპერატურაზე აერობულ პირობებში.[1] სისტემური სოკოს საწინააღმდეგო თერაპიით ნამკურნალები ადამიანებიდან მიღებულ ნიმუშებს შესაძლოა დასჭირდეს დრო ხილული კოლონიების წარმოასქმნელად.
სისხლის კულტურა შესაძლოა დადებითი იყოს აივ-თან ასოცირებული კრიპტოკოკური მენინგიტის მქონე პაციენტების 50%-მდე შემთხვევაში.[20] თავზურგტვინის სითხის უარყოფითი კულტურები პაციენტებში, რომლებსაც კრიპტოკოკული მენინგიტი აქვთ, შესაძლოა განპირობებული იყოს სოკოების დაბალი რაოდენობით. ბრონქული სეკრეტები და შარდი შესაძლოა დაბინძურებული იყოს მრავალი მიკროორგანიზმით, რომლებიც შესაძლოა ნიღბავდეს კრიპტოკოკების ზრდას, განსაკუთრებით შიდსიან პაციენტებში. წინამდებარე ჯირკვლის მასაჟმა შესაძლოა გააუმჯობესოს სოკოს გამოვლენა შარდის კულტურაში. მიუხედავად იმისა, რომ Cryptococcus სახეობები არ წარმოადგენს ნორმალურ რესპირატორულ ფლორას ადამიანებში, ის შესაძლოა კოლონიზდეს ფილტვის დაავადების მქონე პაციენტების რესპირატორულ ტრაქტში და ნახველის კულტურები შესაძლოა იყოს დადებითი.
შედეგი
Cryptococcus სახეობების გამრავლება
HIV-ს საწინააღმდეგო ანტისხეულები
ტესტი
უცნობი აივ მდგომარეობის პაციენტებში, რომლებსაც აქვთ დე ნოვო კრიპტოკოკული მენინგიტი ან დისემინირებული დაავადება, რეკომენდებულია აივ ანტისხეულების ანალიზი.[32]
შედეგი
დადებითი ან უარყოფითი
გულმკერდის რენტგენი
ტესტი
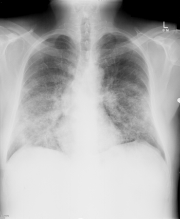
ფილტვის კრიპტოკოკოზის რადიოლოგიური ნიშნები ფართოდ ვარირებს პაციენტის იმუნური მდგომარეობის შესაბამისად და მოიცავს კვანძებს, კონსოლიდაციას, კავიტაციას, წილოვან ინფილტრაციაა, ჰილარულ ლიმფადენოპათიას, შუასაყრის ლიმფადენოპათია, პლევრული ეფუზია და კოლაფსი. იმუნოკომპეტენტურ პაციენტებში ვლინდება დისკრეტული კვანძები, ხოლო ალვეოლური და ინტერსტიციული ინფილტრატები, კავიტაციები, პლევრის დაავადება და კოლაფსი უფრო ხშირად აღინიშნება იმუნოკომპრომისულ პაციენტებში.[1][4][44][45][Figure caption and citation for the preceding image starts]: ორმხრივი ზარბაზნის ბირთვისებრი დაზიანებები, გამოწვეული Cryptococcus neoformans-ის მიერრადიოლოგიის დეპარტამენტის კოლექციიდან, The Prince Charles Hospital, Chermside, Brisbane, Australia; გამოიყენება ნებართვით [Citation ends].
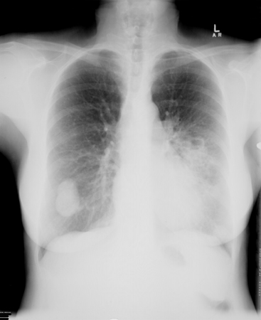
[Figure caption and citation for the preceding image starts]: Cryptococcus neoformans-ით გამოწვეული კვანძები ფილტვში, ქვედა მარჯვენა და ქვედა მარცხენა წილებში.რადიოლოგიის დეპარტამენტის კოლექციიდან, The Prince Charles Hospital, Chermside, Brisbane, Australia; გამოიყენება ნებართვით [Citation ends].
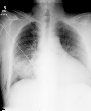
[Figure caption and citation for the preceding image starts]: ფილტვის ბიბაზალური კონსოლიდაცია, გამოწვეული Cryptococcus neoformans-ითრადიოლოგიის დეპარტამენტის კოლექციიდან, The Prince Charles Hospital, Chermside, Brisbane, Australia; გამოიყენება ნებართვით [Citation ends].
[Figure caption and citation for the preceding image starts]: ბილატერალური კეროვანი დაჩრდილვა შუა-ქვედა ზონებში, გამოწვეული Cryptococcus neofornamns-ითრადიოლოგიის დეპარტამენტის კოლექციიდან, The Prince Charles Hospital, Chermside, Brisbane, Australia; გამოიყენება ნებართვით [Citation ends].
შედეგი
კვანძები, კონსოლიდაცია, კავიტაცია, წილოვანი ინფილტრატები, ჰილარული ლიმფადენოპათია, შუასაყრის ლიმფადენოპათია, პლევრული ეფუზიები და კოლაფსი
ხერხემლის პუნქცია
ტესტი
ფილტვის კრიპტოკოკოზის ასიმპტომური იმუნოკომპეტენტური პირები, რომელთაც sCrAg უარყოფითი აქვთ, ყოველთვის არ საჭიროებენ ლუმბური პუნქციის ჩატარებას ცენტრალური ნერვული სისტემის დაავადების გამოსარიცხად. იმუნოკომპრომისულ ოირებს ლუმბური პუნქცია უტარდებათ სიმპტომების განურჩევლად, განსაკუთრებით მაშინ, როდესაც შრატში CrAg ტიტრი ≥1:160-ია.[41]
თავის ტვინის რადიოგრაფიული გამოკვლევა კომპიუტერული ან მაგნიტურ-რეზონანსული ტომოგრაფიით უნდა ჩატარდეს ლუმბურ პუნქციამდე პაციენტებში, რომლებსაც კეროვანი ნევროლოგიური ნიშნები ან პაპილოედემა აქვს, მასური დაზიანებების გამოსავლენად, რაც შესაძლოა უკუჩვენება იყოს ლუმბური პუნქციისთვის.[1][2]
მომატებული ქალასშიდა წნევა, რომელიც განისაზღვრება გახსნის წნევით >20 სმ წყლის სვეტისა, რაც განისაზღვრება პაციენტის ლატერალურად გვერდზე წოლისას, ვლინდება კრიპტოკოკული მენინგიტის მქონე პაციენტების თითქმის 80%-ში და დაკავშირებულია უფრო სუსტ კლინიკურ პასუხთან.[23][48][49][50] გახსნის წნევა ≥25 სმ H2O შეიძლება გამოვლინდეს აივ-დადებითი პაციენტების 60%-დან 80%-მდე ნაწილში კრიპტოკოკური მენინგიტის დროს.[20] აშშ-ის გაიდლაინები რეკომენდაციას უწევს გახსნის წნევის გაზომვას დიაგნოზის დროს ყველა პაციენტში, რომელსაც შესაძლოა ჰქონდეს კრიპტოკოკული მენინგიტი.[20] ადამიანების დაახლოებით 25%-ს შესაძლოა აღენიშნებოდეს გლუკოზის და ცილის ნორმალური დონე.[52]
შედეგი
გახსნის მომატებული წნევა (>20 სმ H2O); გლუკოზა: ნორმალური ან ოდნავ დაბალი (თავ-ზურგტვინის სითხის გლუკოზის ნორმალური დონე შეესაბამება სისხლში კონცენტრაციის 60 -70%-ს [ანუ 2,5-4,4 მმოლ/ლ {45-80 მგ/დლ}]); ცილა: ნორმალური ან ოდნავ მომატებული (2,7-დან 11,1 მმოლ/ლ-მდე [50-200 მგ/დლ], თავ-ზურგტვინის სითხის ნორმალური საერთო ცილის დიაპაზონი არის 0,8-დან 3,3 მმოლ/ლ-მდე [15-60 მგ/დლ] მოზრდილებში)
თავზურგტვინის სითხის (CSF) მიკროსკოპია
ტესტი
თავ-ზურგტვინის სითხის პირდაპირი მიკროსკოპული კვლევა კაფსულიან საფუარებზე ინდური მელნით სწრაფი და იაფი დიაგნოსტიკური ანალიზია კრიპტოკოკული მენინგიტისთვის.[1][2][4] თუმცა, ბევრი ლაბორატორია აღარ ატარებს ინდური მელნის ტესტს და მისი სარგებლობა კრიპტოკოკური მენინგიტის მართვაში შეზღუდულია.[20] გამოკვლევა ინდური მელნით ავლენს საფუარებს ცენტრალური ნერვული სისტემის ნიმუშში, როდესაც არსებობს 10^³ -ზე მეტი საფუარი და აჩვენებს კაფსულიან საფუარებს შემთხვევათა 60-80%-ში.[20]
არა-აივ კრიპტოკოკული მენინგიტის დროს, სენსიტიურობა 30-50%-ია, ხოლო აივ-დაკავშირებული კრიპტოკოკული მენინგიტის დროს 80%-მდე.[20] ცნს ნიმუშის ცენტრიფუგირებამ შესაძლოა გამოასწოროს სენსიტიურობა.
შესაბამისი სოკოს საწინააღმდეგო მკურნალობის შემდეგ თავზურგტვინის სითხეში შესაძლოა დარჩეს მკვდარი საფუარის უჯრედები და გამოიწვიოს ცრუ-დადებითი შედეგები მიუხედავად უარყოფითი კულტურებისა. მიელინის გლობულებმა, ცხიმის წვეთებმა, დაშლილმა ლიმფოციტებმა და დაშლილი ქსოვილის უჯრედებმა შესაძლოა გამოწვიოს ცრუ-დადებითი შედეგები.[1]
შედეგი
კაფსულირებული საფუარების არსებობა
თავ-ზურგტვინის სითხეში სისხლის თეთრი უჯრედების რაოდენობა (უჯრედები/მმ³)
ტესტი
ადამიანების 25-50%-ს შეიძლება ჰქონდეს თავ-ზურგტვინის სითხეში თეთრი უჯრედების ნორმალური რაოდენობა.[52]
შედეგი
5-200 უჯრედი/მმ³; ლიმფოციტები (ნორმა: 0-5 უჯრედი/მმ³; ლიმფოციტები)
გასათვალისწინებელი კვლევები
გულმკერდის CT
ტესტი
ფილტვის კრიპტოკოკოზის რადიოლოგიური ნიშნები ფართოდ ვარირებს პაციენტის იმუნური მდგომარეობის შესაბამისად და მოიცავს კვანძებს, კონსოლიდაციას, კავიტაციას, წილოვან ინფილტრაციაა, ჰილარულ ლიმფადენოპათიას, შუასაყრის ლიმფადენოპათია, პლევრული ეფუზია და კოლაფსი. იმუნოკომპეტენტურ პაციენტებში ვლინდება დისკრეტული კვანძები, ხოლო ალვეოლური და ინტერსტიციული ინფილტრატები, კავიტაციები, პლევრის დაავადება და კოლაფსი უფრო ხშირად აღინიშნება იმუნოკომპრომისულ პაციენტებში.[1][4][44][45]
შედეგი
კვანძები, კონსოლიდაცია, კავიტაცია, წილოვანი ინფილტრატები, ჰილარული ლიმფადენოპათია, შუასაყრის ლიმფადენოპათია, პლევრული ეფუზიები და კოლაფსი
თავის ტვინის მაგნიტურ რეზონანსული გამოსახვა (MRI)
ტესტი
თავის ტვინის მრტ განსაზღვრავს კრიპტოკოკოზთან უფრო მნიშვნელოვნად დაკავშირებულ დაზიანებებს, ვიდრე კტ.[46][47]
Cryptococcus var. gatii-ს აქვს მიდრეკილება, გამოიწვიოს თავის ტვინის პარენქიმის დაავადება და არა მენინგების, რაც იწვევს თავის ტვინის კრიპტოკოკომას (რომელიც წარმოდგენილია ერთეული ან მრავლობითი ფოკალური მოცულობითი დაზიანებებით) ან ჰიდროცეფალიას.[1]
შედეგი
ერთეული ან მრავლობითი კეროვანი მასიური დაზიანებები კრიპტოკოკემიის დროს, გრანულომები მნიშვნელოვანი მასური ეფექტით, ცისტებით (ჟელატინური ფსევდოცისტები), ჰიდროცეფალუსი, გაფართოებული ვირხოვ-რობინის სივრცეების და კორტიკალური კვანძების გარეშე.
თავის ტვინის კომპიუტერული ტომოგრაფია
ტესტი
თავის ტვინის მრტ განსაზღვრავს კრიპტოკოკოზთან უფრო მნიშვნელოვნად დაკავშირებულ დაზიანებებს, ვიდრე კტ.[46][47]
Cryptococcus var. gatii-ს აქვს მიდრეკილება, გამოიწვიოს თავის ტვინის პარენქიმის დაავადება და არა მენინგების, რაც იწვევს თავის ტვინის კრიპტოკოკომას (რომელიც წარმოდგენილია ერთეული ან მრავლობითი ფოკალური მოცულობითი დაზიანებებით) ან ჰიდროცეფალიას.[1]
შედეგი
ერთეული ან მრავლობითი კეროვანი მასიური დაზიანებები კრიპტოკოკემიის დროს, გრანულომები მნიშვნელოვანი მასური ეფექტით, ცისტებით (ჟელატინური ფსევდოცისტები), ჰიდროცეფალუსი, გაფართოებული ვირხოვ-რობინის სივრცეების და კორტიკალური კვანძების გარეშე.
ბრონქოსკოპია
ტესტი
კრიპტოკოკის პოლისაქარიდულ ანტიგენზე (CrAg) ტესტირება და ბრონქების ლავაჟის ნიმუშების კულტივირება შეიძლება დადებითი იყოს ფილტვისმიერი კრიპტოკოკოზის დროს.[4]
CRAG ანალიზი ბრონქოალვეოლური ლავაჟით მირებულ ნიმუშებში მაღალეფექტურია კრიპტოკოკული პნევმონიის სადიგანოსტიკოდ ტიტრით > 1:8, რომლის სენსიტიურობა 100 %-ისა და სპეციფიკურობა 98%-ია.[4]
შედეგი
CrAg დადებითი, Cryptococcus სახეობების გამრავლება კულტურაზე
ბიოფსიის
ტესტი
ფილტვების, კანის, ძვლის ტვინის, თავის ტვინის ან პროსტატის ქსოვილის ჰისტოლოგიური კვლევა შესაძლოა ჩატარდეს სისტემური დისემინაციის გამოსავლენად.
ლიმფური კვანძების და თირკმელზედა ჯირკვლების ბიოფსიური ასპირაცია (FNA) შესაძლოა გამოვიყენოთ ციტოლოგიური კვლევისთვის. ფილტვის კვანძების ან ინფილტრაციული დაზიანებების ტრანსთორაკალური FNA კანიდან ულტრაბგერითი ან კტ კონტროლის ქვეშ, შესაძლოა შესრულდეს ფილტვის კრიპტოკოკოზის სადიაგნოსტიკოდ.
სხვა ნიმუშები ციტოლოგიური კვლევისთვის მოიცავს ბრონქოალვეოლური ლავაჟის სითხის კვლევას, თავზურგტვინის ცენტრიფუგირებას, მინისებრი სითხის ასპირაციას და სათესლე სითხეს.[1][2][4]
შედეგი
Cryptococcus სახეობების არსებობა
ახალი ტესტები
cryptococcus-ის პოლიმერაზას ჯაჭვური რეაქცია
ტესტი
BioFire® FilmArray® PCR ანალიზი ხელმისაწვდომია აშშ-ში.[20]
შეიძლება გამოიწვიოს ცრუ-უარყოფითი შედეგები, თუ სოკოვანი დატვირთვა თავ-ზურგტვინის სითხეში დაბალია, ამიტომ არ უნდა გამოიყენებოდეს, როგორც იზოლირებული სადიაგნოსტიკო ტესტი.[20]
პოლიმერაზას ჯაჭვური რეაქცია, სავარაუდოდ, ყველაზე სასარგებლო იქნება კრიპტოკოკური მენინგიტის (პოლიმერაზას ჯაჭვურ რეაქციაზე დადებითი) მეორე ეპიზოდის დიფერენცირებაში იმუნური რეკონსტიტუციის ანთებითი სინდრომისგან (პოლიმერაზას ჯაჭვურ რეაქციაზე უარყოფითი) აივ-ით დაავადებულ პაციენტებში.[20]
შედეგი
დადებითი
ამ მასალის გამოყენება ექვემდებარება ჩვენს განცხადებას