კვლევები
ენდეთ მითითებებს
ebpracticenet პრიორიტეტი მიანიჭეთ ჩამოთვლილ ადგილობრივ გაიდლაინებს:
Opvolging en revalidatie van patiënten met aanhoudende klachten na COVID-19 in de eerste lijnავტორი: KU Leuven | Werkgroep Ontwikkeling Richtlijnen Eerste Lijn (Worel)ბოლო გამოქვეყნება: 2023Suivi et revalidation des patients présentant des symptômes persistants après la COVID-19 en première ligneავტორი: KU Leuven | Groupe de Travail Développement de recommmandations de première ligneბოლო გამოქვეყნება: 20231-ად შესაკვეთი გამოკვლევები
უკუტრანსკრიპციის პოლიმერაზული ჯაჭვური რეაქცია (RT-PCR) რეალურ დროში
ტესტი
შეუკვეთეთ პჯრ (RT-PCR) SARS-CoV-2-ზე პაციენტებში, რომელთაც აღენიშნებათ შესაძლო ინფექცია.[429] მიიჩნევა, რომ ფართოდ გამოყენებულმა ანალიზებმა უნდა გამოავლინონ SARS-CoV-2-ის ვარიანტები.[485] გენომური სეკვენსირება შეიძლება შესრულდეს ვარიანტებს შორის დიფერენცირების მიზნით.
ტესტირების სტრატეგიები მნიშვნელოვნად განსხვავდება ქვეყნებს შორის და თქვენ უნდა გაეცნოთ თქვენს ადგილობრივ მითითებებს. უფრო დეტალური ინფორმაციისთვის, თუ ვინ ექვემდებარება ტესტირებას და რომელი ტესტით, იხილეთ დიაგნოსტიკური რეკომენდაციები.
ტესტირებისთვის ოპტიმალური ნიმუშის შერჩევა დამოკიდებულია კლინიკურ სურათსა და სიმპტომების გამოვლენიდან გასულ დროზე. ჯანმოს რეკომენდაციით, ნაცხი უნდა მოიპოვოთ ზედა სასუნთქი გზებიდან (ნაზოფარინგული და/ან ოროფარინგული ნაცხი) ინფექციის ადრეულ სტადიაზე, განსაკუთრებით უსიმპტომო ან მსუბუქ შემთხვევებში და ქვედა სასუნთქი გზებიდან (ნახველის და/ან ენდოტრაქეული ასპირატი ან ბრონქოალვეოლური ლავაჟი უფრო მძიმე პაციენტებში) მოგვიანებით გამოვლენილ პაციენტებში, ან როცა ეჭვი მაღალია და ზემო სასუნთქი გზების ნაცხი უარყოფითია. სხვა ნიმუშები (მაგ. ცხვირის შუა ტურბინის ნაცხი, ნესტოს წინა კედლის ნაცხი, ნაზოფარინგული/ცხვირის გამონარეცხი, ნერწყვი, განავალი) შეიძლება რეკომენდებული იყოს სხვა შემთხვევებში; მიყევით ადგილობრივ ინსტრუქციებს.[429][486][601]
დადებითი უკუნტრანსკრიპციის პოლიმერაზული ჯაჭვური რეაქცია ადასტურებს SARS-CoV-2-ის ინფექციას (ტესტირებასთან დაკავშირებული შეზღუდვების კონტექსტის გათვალისწინებით). თუ შედეგი უარყოფითია, მაგრამ ინფექციაზე რჩება კლინიკური ეჭვი (მაგ. ეპიდემიოლოგიური კავშირი, ტიპური რენტგენოლოგიური სურათი, სხვა ეტიოლოგიის არარსებობა), აიღეთ ნიმუში ხელახლა და გაიმეორეთ ტესტი. დადებითი შედეგი ადასტურებს ინფექციას. თუ მეორე ტესტის შედეგი უარყოფითია, განიხილეთ სეროლოგიური ტესტირება (იხ. ქვემოთ).[429] ჯამური სენსიტიურობა არის 87.8%, ხოლო სპეციფიკურობა 87.7% და 100%-ის ფარგლებში მერყეობს.[491]
მოლეკულური ტესტირება მხოლოდ დიაგნოზის დამხმარეა და შედეგები სიფრთხილით უნდა იქნას ინტერპრეტირებული. ტესტირების შეზღუდვებისა და მტკიცებულებების შესახებ დეტალური ინფორმაციისთვის იხ. დიაგნოსტიკური რეკომენდაციები.
ერთჯერადი მულტიპლექს ტესტი, რომელიც გამოიყენება A და B ტიპის გრიპის ვირუსის, რესპირაციულიული სინციტიური ვირუსის და SARS-CoV-2-ის ინფექციის დიაგნოსტიკისთვისა და დიფერენცირებისთვის, ხელმისაწვდომია ზოგიერთ ქვეყანაში, კომერციული ტესტების სახით.
ადგილობრივი მითითებების გათვალისწინებით აიღეთ ნაზოფარინგული ნაცხები, რათა გამორიცხოთ გრიპი და სხვა რესპირატორული ინფქეციები . მნიშვნელოვანია ვიცოდეთ, რომ შესაძლებელია კოინფიცირება. COVID-19-ს არ გამორიცხავს სხვა პათოგენზე დადებითი ტესტი.[85]
შედეგი
დადებითია მძიმე მწვავე რესპირატორული სინდრომის კორონავირუსი 2-ის (SARS-COV-2) ვირუსულ რნმ-ზე; შეიძლება დადებითი იყოს A და B ტიპის გრიპის ვირუსებზე და სხვა რესპირატორულ პათოგენებზე
ანტიგენის სწრაფი ტესტი
ტესტი
სწრაფი ანტიგენის ტესტები შეიძლება გამოყენებულ იქნას ზოგიერთ პირობებში, როგორც RT-PCR-ის (ან დამატებით) ალტერნატივა. ტესტირების სტრატეგიები მნიშვნელოვნად განსხვავდება ქვეყნებს შორის და თქვენ უნდა გაეცნოთ თქვენს ადგილობრივ მითითებებს.[430][432][492][602] უფრო დეტალური ინფორმაციისთვის, თუ ვინ ექვემდებარება ტესტირებას და რომელი ტესტით, იხ დიაგნოსტიკური რეკომენდაციები.
ანტიგენის ტესტები ნაკლებსენსიტიურია, ვიდრე უკუტრანსკრიპტაზას პოლიმერაზული ჯაჭვური რეაქცია, განსაკუთრებით უსიმპტომო პირებში, მაგრამ უფრო სწრაფი და იაფია და გამოიყენება ინფექციის შემთხვევების ადრეული დეტექციისთვის შესაბამის შემთხვევებში.[430] შედეგები ხელმისაწვდომია 30 წუთზე ნაკლებ დროში.
კოქრენის მიმოხილვამ აჩვენა, რომ ანტიგენის სწრაფი ტესტები მგრძნობელობის მიხედვით განსხვავდება. სიმპტომების გაჩენის შემდეგ პირველ კვირაში მგრძნობელობა უფრო მაღალი იყო (80.9%), სიმპტომების მეორე კვირასთან შედარებით (53.8%). მგრძნობელობა უფრო მაღალი იყო სიმპტომურ ადამიანებში (73%), უსიმპტომო ადამიანებთან შედარებით (54.7%). მგრძნობელობა ასევე იცვლებოდა ტესტების ბრენდების მიხედვით.[527]
ანტიგენის სწრაფი ტესტები მხოლოდ დიაგნოზს ეხმარება და შედეგები სიფრთხილით უნდა იქნას ინტერპრეტირებული. ტესტირების შეზღუდვებისა და მტკიცებულებების შესახებ დეტალური ინფორმაციისთვის იხ. დიაგნოსტიკური რეკომენდაციები.
სწრაფი, ლატერალური ნაკადის ანტიგენური ტესტები სახლში გამოსაყენებლად ხელმისაწვდომია ზოგიერთ ქვეყანაში. ზოგიერთ ქვეყანაში ასევე ხელმისაწვდომია ლაბორატორიული (არა სწრაფი) ანტიგენის ტესტები.
BMJ: interpreting a lateral flow SARS-CoV-2 antigen test Opens in new window
შედეგი
დადებითია SARS-CoV-2 ვირუსის ანტიგენზე
პულსოქსიმეტრიით
ტესტი
პულსოქსიმეტრიამ შეიძლება გამოავლინოს ჰიპოქსია/ჰიპოქსემია (ანუ ჟანგბადის გაჯერება <94%, ან <88% ფილტვების ქრონიკული დაავადების არსებობისას).[463]
ჯანმრთელობის მსოფლიო ორგანიზაცია განსაზღვრავს მძიმე დაავადებას, როგორც SpO2 <90%.[85] გაერთიანებულ სამეფოში, <92% მაჩვენებელი მძიმე დაავადების ერთ-ერთი განმსაზღვრელი მახასიათებელია, რომელიც საჭიროებს სასწრაფო ჰოსპიტალიზაციას, ხოლო 93%-დან 94%-მდე მაჩვენებელი შეიძლება მიუთითებდეს ზომიერ დაავადებაზე.[464] შეერთებულ შტატებში, ამერიკის ინფექციური დაავადებების საზოგადოება განსაზღვრავს მძიმე დაავადებას, როგორც SpO2 <94%.[465]
ექიმებმა უნდა გააცნობიერონ, რომ COVID-19-ის მქონე პაციენტებს შესაძლოა განუვითარდეთ "ჩუმი ჰიპოქსია": ჟანგბადით გაჯერების დონე შესაძლოა დაეცეს და გამოიწვიოს სუნთქვის მწვავე უკმარისობა აშკარა სიმპტომების გარეშე.[466]
პულსოქსიმეტრმა შეიძლება აჩვენოს არაოპტიმალური სიზუსტე გარკვეულ პოპულაციებში, განსაკუთრებით მათთან, ვისაც აქვს მუქი კანი.[467] აშშ-ს სურსათისა და წამლის ადმინისტრაციამ (FDA) გამოსცა გაფრთხილება, რომ მრავალმა ფაქტორმა შეიძლება მოახდინოს გავლენა პულსოქსიმეტრიის სიზუსტეზე (მაგ., ცუდი ცირკულაცია, კანის პიგმენტაცია, კანის სისქე, კანის ტემპერატურა, თამბაქოს მიმდინარე მოხმარება, ფრჩხილის ლაქის გამოყენება). შესაბამისად, ადმინისტრაცია რეკომენდაციას უწევს ამ შეზღუდვების გათვალისწინებას როცა პულსოქსიმეტრია გამოიყენება დიაგნოსტიკის და მკურნალობის კუთხით. უმჯობესია პულსოქსიმეტრიის ტრენდების გათვალისწინება, ვიდრე ერთი მაჩვენებლის მიღება.[468]
ჰიპოქსიის გამოსავლენად პულსოქსიმეტრის გამოყენება შესაძლებელია სახლის პირობებში, მსუბუქი და საშუალო ავადმყოფობის დროს. მტკიცებულების თანახმად, მონიტორინგი ყველაზე სასარგებლოა სიმპტომურ პაციენტებში, რომლებიც 65 წელზე უფროსები არიან ან 65 წლამდე უჩივიან COVID-19-ის მიმართ კლინიკურ მოწყვლადობას.[464] სახლის პირობებში პულსოქსიმეტრი მოითხოვს კლინიკურ მხარდაჭერას (მაგ. რეფულარული სატელეფონო კონტაქტი ჯანდაცვის სპეციალისტისგან ვირტუალური პალატის გარემოში).
შედეგი
შეიძლება გამოვლინდეს დაბალი სატურაცია (ზღურბლი დამოკიდებულია ადგილობრივ გაიდლაინებზე)
არტერიული სისხლის აირები (ABG)
ტესტი
ჩვენებისამებრ დანიშნეთ დაავადების მძიმე ფორმის მქონე პაციენტებში ჰიპერკარბიის ან აციდოზის გამოსავლენად.
რეკომენდებულია სუნთქვის დარღვევის და ციანოზის მქონე პაციენტებში, რომელთაც დაბალი აქვთ ჟანგბადის სატურაცია.
შედეგი
შესაძლოა აღინიშნოს ჟანგბადის დაბალი პარციალური წნევა
FBC
ტესტი
დანიშნეთ დაავადების მძიმე ფორმის მქონე პაციენტებში.
დაავადემის მძიმე ფორმასთან დაკავშირებულია: ლიმფოპენია, ლეიკოციტოზი, თრომბოციტოპენია, ეიზოინოფილების დაქვეითებული რაოდენობა, ჰემოგლობინის შემცირება და ნეიტროფილი-ლიმფოციტების შეფარდება. ეს მონაცემები შესაძლოა გამოგვადგეს დაავადების პროგრესირების პროგნოზისთვის. დაავადების მძიმე ფორმა უფრო ხშირად ვლინდება ლიმფოპენიითა და თრომბოციტოპენიით, მაგრამ არა ლეიკოპენიით.[603]
ანემია ხშირია და შეიძლება დაკავშირებული იყოს სიკვდილობის უფრო მაღალ რისკთან.[604]
ჰოსპიტალიზებულ პაციენტებში, ერითროციტების განაწილების გაფართოება (მიღებისას და ჰოსპიტალიზაციის პერიოდში) ასოცირებულია სიკვდილობის მომატებულ რისკთან.[605]
ლიმფოციტების გარკვეული ქვეტიპების აბსოლუტური რაოდენობა, მათ შორის CD4+ და CD8+ T-უჯრედების, მნიშვნელოვნად დაქვეითებულია მძიმე დაავადების დროს.[606]
მოგვიანებითი ფაზის თრომბოციტოპენია (სიმპტომების გამოვლენიდან 3 კვირაში ან უფრო გვიან) აღწერილია, მაგრამ იშვიათია.[607]
შედეგი
ლიმფოპენია; ლეიკოციტოზი; ლეიკოპენია; თრომბოციტოპენია; ეოზინოფილების დაქვეითება; ჰემოგლობინის დაქვეითება
სისხლის სრული ბიოქიმიური ანალიზი
ტესტი
დანიშნეთ დაავადების მძიმე ფორმის მქონე პაციენტებში.
დაავადების მიმდინარეობის პროგნოზირებისთვის შესაძლოა გამოგვადგეს შემდეგი მონაცემები: ღვიძლის ენზიმების მომატება, საერთო ბილირუბინი, კრეატინინი, შარდოვანა შრატში და ჰიპოალბუმინემია. ზემოთ აღნიშნული ფაქტორების არსებობა დაავადების მძიმე ფორმის განვითრებას უკავშირდება.[603]
ჰიპოკალიემია აღწერილია პაციენტების 54%-ში.[608] ჰიპოკალცემია დაკავშირებულია არასასურველ კლინიკურ შედეგებთან.[609] ჰიპონატრემია აღწერილია პაციენტების 24%-ში და დაკავშირებულია უარეს გამოსავალთან.[610] შეიძლება არსებობდეს ელექტროლიტების სხვა დარღვევებიც.
შედეგი
ღვიძლის ფერმენტების მომატება; საერთო ბილირუბინის მომატება; თირკმლის ფუნქციის დარღვევა; ჰიპოალბუმინემია; ელექტროციტების დისბალანსი
გლუკოზის დონე სისხლში
ტესტი
დანიშნეთ დაავადების მძიმე ფორმის მქონე პაციენტებში.
უზმოდ ჰიპერგლიკემია დამოუკდებელი არასასურველი პროგნოზული ფაქტორია და ზრდის სიკვდილობის რისკს, იმისდა მიუხედავად, აქვს თუ არა პაციენტს დიაბეტი.[611][612]
ჰიპოგლიკემია ასევე უკავშირდება მომატებულ სიკვდილობას, რეტროსპექტული კოჰორტული კვლევის თანახმად.[613]
შედეგი
ცვალებადი
კოაგულაციური სკრინინგი
ტესტი
დანიშნეთ დაავადების მძიმე ფორმის მქონე პაციენტებში.
D-დიმერის მომატება, ფიბრინოგენის მატება (და ფიბრინის დეგრადაციის პროდუქტების) და პროთრომბინის დროის გახანგრძლივება მნიშვნელოვნად უკავშირდება დაავადების მძიმე ფორმებს და შესაძლოა სასარგებლო იყოს დაავადების პროგრესირების პროგნოზისთვის.[603][614]
დაავადების მძიმე ფორმისა და სიკვდილობის რისკი 2-მაგი და 4-მაგია (რიგითობა დაცულია) მომატებული D-დიმერის დონის მქონე პაციენტებში.[615] D-დიმერის ძალიან მაღალი დონის მქონე პაციენტებს აღენიშნებათ თრომბოზის მომატებული რისკი.[616][617]
გახანგრძლივებული საერთაშორისო ნორმალიზებული თანაფარდობა (INR) ასოცირდება უფრო მძიმე დაავადებასა და სიკვდილობასთან.[618]
ფონ ვილბრანდის ფაქტორის მარკერები შეიძლება გაიზარდოს, განსაკუთრებით კრიტიკული დაავადების მქონე პაციენტებში და შეიძლება ჰქონდეს პროგნოზული მნიშვნელობა.[619]
შედეგი
D-დიმერის მატება; პროთრომბინის დროის გახანგრძლივება; ფიბრინოგენის დონის მატება; მომატებული საერთაშორისო ნორმალიზებული თანაფარდობა (INR)
გულის ბიომარკერები
ტესტი
დანიშნეთ დაავადების მძიმე ფორმის მქონე პაციენტებში.
მომატებული კრეატინ კინაზა-მიოკარდიული ფრაქცია (CK-MB), B-ტიპის ნატრიურეზული პეპტიდი (BNP), N-ტერმინალის პრო-BNP (NT-proBNP), და ტროპონინი დაკავშირებულია მძიმე დაავადებასთან და სიკვდილობასთან და შეიძლება გამოგვადგეს დაავადების პროგრესირების ან გადარჩენადობის პროგნოზირებაში.[620]
CK-MB აღმოჩნდა მომატებული ბავშვებში, მსუბუქი დაავადების ფონზე. მისი მნიშვნელობა უცნობია.[476]
შედეგი
შეიძლება მომატებული იყოს
შრატში C-რეაქტიული პროტეინის დონე
ტესტი
დანიშნეთ დაავადების მძიმე ფორმის მქონე პაციენტებში.
C-რეაქტიული ცილის მომატება მნიშვნელოვნად უკავშირდება დაავადების მძიმე ფორმებს და შესაძლოა სასარგებლო იყოს დაავადების პროგრესირების პროგნოზისთვის.[603][621]
პაციენტებში, რომელთაც კლინიკაში პირველად მოსვლისას მომატებული ჰქონდათ C-რეაქტიული ცილის დონე, უფრო მაღალი იყო თირკმლის მწვავე დაზიანების, ვენური თრომბოემბოლიის, კრიტიკული ავადმყოფობის და ჰოსპიტალური სიკვდილობის რისკი კლინიკაში ყოფნის პერიოდში (იმ პაციენტებთან შედარებით, რომელთა C რეაქტიული ცილის დონე უფრო დაბალი იყო).[622]
შედეგი
შეიძლება მომატებული იყოს
ერითროციტების დალექვის სიჩქარე
ტესტი
დანიშნეთ დაავადების მძიმე ფორმის მქონე პაციენტებში.
ხშირად მომატებულია COVID-19-ის მქონე პაციენტებში.[474]
შედეგი
შეიძლება მომატებული იყოს
შრატის ლაქტატდეჰიდროგენაზა
ტესტი
დანიშნეთ დაავადების მძიმე ფორმის მქონე პაციენტებში.
შრატში ლაქტატ დეჰიდდროგენაზას დონის მატება მნიშვნელოვნად უკავშირდება დაავადების მძიმე ფორმებს და შესაძლოა სასარგებლო იყოს დაავადების პროგრესირების პროგნოზისთვის.[603]
შედეგი
შეიძლება მომატებული იყოს
შრატის პროკალციტონინი
ტესტი
დანიშნეთ დაავადების მძიმე ფორმის მქონე პაციენტებში.
შრატში პროკალციტონინის მომატება მნიშვნელოვნად უკავშირდება დაავადების მძიმე ფორმებს და შესაძლოა სასარგებლო იყოს დაავადების პროგრესირების პროგნოზისთვის.[603][623]
შრატში პროკალციტონინის დონე უფრო ხშირად ბავშვებში შეიძლება იყოს მომატებული.[624]
შესაძლოა იყოს მომატებული მეორეული ბაქტერიული ინფექციის მქონე პაციენტებში.[30][31]
მტკიცებულებები არასაკმარისია იმისთვის, რომ რეკომენდაცია გაეწიოს პროკალციტონინის რუტინულ ტესტირებას ანტიბიტოიკების გამოყენებასთან დაკავშირებით გადაწყვეტილების მისაღებად. თუმცა, შეიძლება დაგვეხმაროს ბაქტერიული ინფექციის იდენტიფიცირებაში. სამწუხაროდ, უცნობია პროკალციტონინის ოპტიმალური ზღვრული რაოდენობა.[397]
შედეგი
შეიძლება მომატებული იყოს
სისხლის შრატის ფერიტინის დონე
ტესტი
დანიშნეთ დაავადების მძიმე ფორმის მქონე პაციენტებში.
შრატში ფერიტინის მომატება მნიშვნელოვნად უკავშირდება დაავადების მძიმე ფორმებს და შესაძლოა სასარგებლო იყოს დაავადების პროგრესირების პროგნოზისთვის.[625]
შეიძლება მიუთითებდეს ციტოკინის გამოთავისუფლების სინდრომის განვითარებაზე.[626]
შედეგი
შეიძლება მომატებული იყოს
სისხლის და ნახველის კულტურა:
ტესტი
ქვედა სასუნთქი ტრაქტის ინფექციის სხვა მიზეზებისა და სეფსისის გამოსარიცხად აიღეთ სისხლის და ნახველის ნიმუშები კულტურისთვის, განსაკუთრებით ატიპური ეპიდემიოლოგიური ანამნეზის მძიმე ან კრიტიკულ პაციენტებში.[85]
შესაძლებლობის შემთხვევაში ნიმუშები უნდა მოვიპოვოთ ემპირიული ანტიმიკრობული თერაპიის დაწყებამდე.
შედეგი
უარყოფითია ბაქტერიულ ინფექციაზე
გულმკერდის რენტგენი
ტესტი
შეუკვეთეთ ყველა პაციენტისთვის, რომელიც არის მძიმედ ავად (მაგ., SpO2 <94% ან NEWS2 ქულა ≥3) ან ვინც სტაბილურია, მაგრამ გულმკერდის რენტგენი კლინიკურად არის ნაჩვენები (მაგ., საეჭვო პნევმონია).[433]
დიაგნოზის მომენტში პაციენტების დაახლეობით 74%-ს აღნიშნება პათოლოგიური ცვლილებები რენტგენზე. ყველაზე გავრცელებული დარღვევაა მინის ნამსხვრევისებრი დაჩრდილვები (29%) და კონსოლიდაცია (28%). გავრცელება მეტწიალდ არის ორმხრივი, პერიფერიული და გამოკვეთილია ბაზალურ ზონებში. პნევმოთორაქსი და პლევრლი გამონაჟონი იშვიათია. არ არსებობს ცალკეული მახასიათებელი რენტგენზე, რომელსაც აქვს დიაგნოსტიკური ღირებულება.[534]
გულმკერდის რენტგენოგრაფია მგრძნობიარეა, მაგრამ არასპეციფიკურია COVID‐19 დიაგნოზისთვის. ჯამურმა შედეგებმა აჩვენა, რომ ფილტვების რენტგენით სწორად არის დიაგნოსტირებული COVID ‐ 19 დაავადების შემთხვევების 73%. თუმცა, არასწორად დაადგინა COVID‐19 დიაგნოზი პაციენტების 27% -ში, ვისაც დაავადება არ ჰქონდა.[535]
მიუხედავად იმისა, რომ გულმკერდის რენტგენოგრამას დაბალი სენსიტიურობა აქვს კომპიუტერულ ტომოგრაფიასთან შედარებით, უპირატესობაა ნაკლები რესურსების საჭიროება, დაბალი რადიაციული დოზა, მარტივი გამეორება და მობილობა.[532]
შედეგი
მინის ნამსხვრევისებრი დაჩრდილვა; კონსოლიდაცია
გასათვალისწინებელი კვლევები
გულმკერდის კომიუტერული ტომოგრაფია (CT)
ტესტი
განიხილეთ გულმკერდის კომპიუტერული ტომოგრაფია (CT). გაეცანით ადგილობრივ მითითებებს კომპიუტერული ტომოგრაფიის ჩატარების საჭიროებასთან დაკავშირებით.
ბრიტანეთის გულმკერდის ვიზუალიზაციის საზოგადოება (BSTI) რეკომენდაციას უწევს CT-ს კლინიკურად საეჭვო COVID-19-ის მძიმე შემთხვევებში, თუ გულმკერდის რენტგენოგრაფია გაურკვეველია ან ნორმაშია. BSTI: radiology decision tool for suspected COVID-19 Opens in new window დიდი ბრიტანეთის ზოგი ინსტიტუცია რეკომენდაციას უწევს უფრო პრაგმატულ მიდგომას COVID-19-ზე ძლიერი კლინიკური ეჭვის შემთხვევაში: გულმკერდის კომპიუტერული ტომოგრაფია რეკომენდებულია მხოლოდ მას შემდეგ, რაც გულმკერდის რენტგენოგრაფიაზე ორჯერ მივიღებთ ორაზროვან ან ნორმალურ შედეგს და უკუტრანსკრიპციის პოლიმერაზული ჯაჭვური რეაქციის ტესტი (RT-PCR) უარყოფითია.[537]
რადიოლოგიის ამერიკული კოლეჯის რეკომენდაციის მიხედვით, CT უნდა გამოვიყენოთ მხოლოდ ჰოსპიტალიზებული პაციენტებისთვის, ასევე სიმპტომური პაციენტებისთვის, რომელთაც აქვთ CT-ის სპეციფიკური კლინიკური ჩვენებები. აღნიშნული რეკომენდაცია ხაზს უსვამს, რომ გულმკერდის ნორმალური CT არ ნიშნავს , რომ პაციენტს არ აქვს COVID-19, ხოლო პათოლოგიური შედეგი COVID-19-ის მიმართ სპეციფიკური არ არის.[538]
SARS-CoV-2-ის მქონე ზოგიერთ პაციენტში CT-ზე პნევმონიის გამოვლინება შესაძლოა წინ უსწრებდეს RT-PCR დადებით შედეგს.[542] ზოგიერთ პაციენტს, RT-PCR დადებითი შედეგის მიუხედავად, გულმკერდის რადიოლოგიური მონაცემები ნორმაში აქვს.[543] უკუტრანსკრიპციის პოლიმერაზას ჯაჭვური რეაქცია შესაძლოა იყოს ცრუ უარყოფითი, ამიტომ, კომპიუტერულ ტომოგრაფიაზე ტიპური მონაცემების შემთხვევაში, დიაგნოზის დასადატურებლად საჭიროა განმეორებითი უკუტრანსკრიპციის პოლიმერაზას ჯაჭვური რეაქცია.[544] კომპიუტერულ ტომოგრაფიაზე დაზიანებები შეიძლება გამოვლინდეს უსიმპტომო პაციენტებში. ასიმპტომურ შემთხვევებში გულმკერდის კომპიუტერულ ტომოგრაფიაზე ნიშნების დადებითი პასუხის მაჩვენებელი შეადგენდა 47.6%-ს (მეტწილად მინის ნამსხვრევისებრი დაჩრდილვის ნიშანი).[545]
ჰოსპიტალიზებული პაციენტების 97%-მდე ნაწილს გამოუვლინდა პათოლოგიური ნიშნები გულმკერდის CT-ზე.[546] ყველაზე ხშირი გამოვლინებებია დამსხვრეული მინის სურათი, იზოლირებულად ან სხვა ნიშნებთან ერთად, როგორიცაა კონსოლიდაცია, წილაკთაშორისი ძგიდის გასქელება ან ნაკვალევის მსგავსი ნიშანი. ყველაზე ხშირი მიმდინარეობა არის ორმხრივი, პერიფერიული/პლევრის ქვეშა, უკანა წილების დაჩრდილვა, ქვედა წილების დომინანტობით. ექსტენსიური/მულტიწილოვანი ჩართულობა კონსოლიდაციით უფრო ხშირია ხანდაზმულ პაციენტებში და მძიმე დაავადების მქონე პირებში. ატიპიური ნიშნებია ფილტვის სისხლძარღვების გადიდება, მიმდებარე პლევრის გასქელება, ჰაეროვანი ბრონქოგრამები, სუბპლევრალური ხაზები, ბრონქების კონტურის ცვლილება, ბრონქოექტაზია, ვაკუოლური რეტრაქციის ნიშანი და ჰალო ნიშანი. იშვიათ შემთხვევებში ფიქსირდება პლევრული გამონაჟონი, პერიკარდიუმის გამონაჟონი, კავიტაცია, პნევმოთორაქსი და შუასაყრის ლიმფადენოპათია.[547] COVID-19-ით გამოწვეული პნევმონიის დიაგნოზს ყველაზე უკეთ ასახავს მინის ნამსხვრევისებრი დაჩრდილვები, რასაც მოჰყვება მინის ნამსხვრევისებრი დაჩრდილვები კონსოლიდაციით და მხოლოდ კონსოლიდაცია.[548]
ორსულ ქალებში უფრო ხშირად აღინიშნება შორსწასული ნიშნები კომპიუტერულ ტომოგრაფიაზე, ვიდრე ზოგად ზრდასრულ მოსახლეობაში; თუმცა, შედეგები მაინც მსგავსია.[551]
ბავშვებში ხშირია ნორმალური ან მსუბუქად შეცვლილი გულმკერდის კომპიუტერული ტომოგრაფია. ბავშვებში ყველაზე ხშირი ნიშნებია: კეროვანი დამსხვრეული მინის სურათი და არასპეციფიკური კეროვანი დაჩრდილვა, კონსოლიდაციის კერები, ინფიცირებული კვანძები და ჰალოს ნიშანი. პათოლოგიები უფრო ხშირად რამდენიმე წილში გვხვდება და ორმხრივია. იშვიათია პლევრული გამონაჟონი.[552][627] მინის ნამსხვრევისებრი დაჩრდილვები და პერობრონქული შესქელება ყველაზე პრევალენტური მახასიათებლებია 1 წლამდე ასაკის ჩვილებში.[553] მისი სიზუსტე უფრო დაბალია ბავშვებში; თუმცა, პედიატრიულ პაციენტებში არსებული მონაცემების რაოდენობა მწირია.[536]
გულმკერდის კომპიუტერულ-ტომოგრაფიული სკანირებით, როგორც წესი, ვლინდება მინის ნამსხვრევისებრი დაჩრილვების ზომის, რაოდენობრივი და სიმკვრივის ზრდა ადრეული მონიტორინგის პერიოდში. შემდგომ ვითარდება შერეული სურათი, რომელიც მოიცავს მინის ნამსხვრევისებრ დაჩრდილვებს, კონსოლიდაციებს და არეული ქვაფენილის განლაგებას, რაც პიკს აღწევს მე-10-მე-11 დღეს, შემდგომ კი თანდათანობით ლაგდება ან რჩება ლაქოვანი ფიბროზის ფორმით.[547]
გულმკერდის კომპიუტერული ტომოგრაფია არის ზომიერად მგრძნობიარე (70%) და მაღალსპეციფიკური (90%) COVID-19-ის დიაგნოზისთვის.[539] ჯამურმა შედეგებმა აჩვენა, რომ ფილტვების კომპიუტერული ტომოგრაფიით სწორად არის დიაგნოსტირებული COVID ‐ 19 დაავადების შემთხვევების 87%. თუმცა, არასწორად დაადგინა COVID ‐ 19 დიაგნოზი პაციენტების 21% -ში, ვისაც დაავადება არ ჰქონდა. შესაბამისად, გულმკერდის კომპიუტერული ტომოგრაფია შეიძლება უფრო სასარგებლო იყოს დიაგნოზის გამორიცხვისთვის, ვიდრე სუნთქვის დაავადების სხვა მიზეზებისგან დიფერენცირებისთვის.[535] ერთ-ერთი მეტა ანალიზის მიხედვით, დაბალი პრევალენტობის მქონე რეგიონებში დადებითი პროგნოზული მაჩვენებელი მცირე იყო (1.5-30.7%), ხოლო უარყოფითი პროგნოზული მაჩვენებელი მერყეობდა 95.4-99.8% ფარგლებში. ჯამური მგრძნობელობა 94-96% იყო, ხოლო ჯამური სპეციფიკურობა - 37%.[540][541] დამსხვრეული მინის სურათის და ვირუსული პნევმონიის სხვა ნიშნების თანაარსებობა დიდი ალბათობით მიუთითებს COVID-19-ზე (მგრძნობელობა 90%, სპეციფიკურობა 89%).[549]
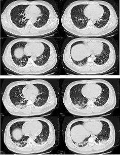
[Figure caption and citation for the preceding image starts]: 32 წლის მამაკაცის კომპიუტერული ტომოგრაფია განივი ჭრილში; ვლინდება მქრქალი მინისებრი დაჩრდილვა და მარჯვენა ფილტვის ქვედა წილის კონსოლიდაცია პლევრასთან ახლოს. სურათი მიღებულია სიმპტომების გამოვლენიდან 1-ლ დღეს (ზედა პანელი); ორმხრივი მქრქალი მინისებრი დაჩრდილვა და კონსოლიდაცია ვლინდება სიმპტომების გამოვლენიდან მე-7 დღესXu XW et al. BMJ. 2020;368:m606 [Citation ends].
შედეგი
დამსხვრეული მინის სურათი, იზოლირებულად ან სხვა ნიშნებთან ერთად, როგორიცაა კონსოლიდაცია, წილაკთაშორისი ძგიდის გასქელება ან ნაკვალევის მსგავსი ნიშანი); ორმხრივი, პერიფერიული/პლევრის ქვეშა, უკანა წილების დაჩრდილვა, ქვედა წილების დომინანტობით.
ფილტვის ულტრაბგერითი გამოკვლევა
ტესტი
ზოგიერთ ცენტრში გამოიყენება დიაგნოსტიკური ინსტრუმენტის სახით, როგორც რენტგენის და გულმკერდის კომპიუტერული ტომოგრაფიის ალტერნატივა. მიუხედავად იმისა, რომ არსებობს მხოლოდ ძალიან დაბალი სიზუსტის მტკიცებულებები, შეიძლება დაგვეხმაროს დამატებითი ან ალტერნატიული რადიოლოგიური კვლევის სახით.[532]
ულტრაბგერა მგრძნობიარეა, მაგრამ არასპეციფიკურია COVID‐19 დიაგნოზისთვის. ჯამურმა შედეგებმა აჩვენა, რომ ფილტვების ულტრაბგერით სწორად არის დიაგნოსტირებული COVID ‐ 19 დაავადების შემთხვევების 87%. თუმცა, არასწორად დაადგინა COVID ‐ 19 დიაგნოზი პაციენტების 24% -ში, ვისაც დაავადება არ ჰქონდა. შესაბამისად, გულმკერდის ექოსკოპია შეიძლება უფრო სასარგებლო იყოს დიაგნოზის გამორიცხვისთვის, ვიდრე სუნთქვის დაავადების სხვა მიზეზებისგან დიფერენცირებისთვის.[535] ის ასევე შეიძლება სასარგებლო იყოს გადაუდებელი სამედიცინო დახმარების განყოფილებაში ტრიაჟისთვის.[628]
B-ხაზები (შეერთებული ან განცალკევებული და ჩვეულებრივ მინიმუმ 3) და პლევრის ანომალიები, ორმხრივი განაწილებით, ყველაზე ხშირი მოვლენაა COVID-19-ში. სხვა მოვლენებია კონსოლიდაცია, პლევრის გამონაჟონი, აიროვანი ბრონქოგრამა და პნევმოთორაქსი.[555] მიუხედავად იმისა, რომ აღნიშნული სურათი არ არის სპეციფიკური COVID-19-ისთვის, იმატებს დაავადების ალბათობა დამახასიათებელი კლინიკური გამოვლინების ფონზე.
უპირატესობები მოიცავს პორტაბელურობას, პალატაშივე შეფასების შესაძლებლობას, ჯანდაცვის მუშაკების ექსპოზიციის შემცირებას, სტერილიზაციის პროცესს, მაიონებელი გამოსხივების ზემოქმედების არარსებობას, შემდგომი დაკვირვების დროს განმეორებადობის უპირატესობებს, შეიძლება უფრო ხელმისაწვდომი იყოს რესურსებით შეზღუდულ პირობებში და უსაფრთხოა ორსულ ქალებსა და ბავშვებში. თუმცა, ასევე გააჩნია შეზღუდვები (მაგ., ვერ საზღვრავს დაზიანების ქრონიკულობას) და შესაძლოა საჭირო გახდეს ვიზუალიზაციის სხვა ხელსაწყოები.[556][557][558]
შესაძლო სხვადასხვა როლი: ნოზოკომიური ტრანსმისიის შემცირება; პაციენტების პროგრესის მონიტორინგი; შესაძლო როლი მოწყვლად ქვეპოპულაციებში, რომლებიც არ არიან შესაფერისი კომპიუტერული ტომოგრაფიისათვის (მაგ. ორსული ქალები).[559] პროგნოზისთვის მნიშვნელოვანი როლი ენიჭება ფილტვის ულტრაბგერით კვლევას.[560]
BSTI: lung ultrasound (LUS) for COVID-19 patients in critical care areas Opens in new window
შედეგი
B- ხაზები; პლევრის დარღვევები
სეროლოგია
ტესტი
არ გამოიყენება ცალკეულად, მწვავე ინფექციების დიაგნოსტირებისთვის და არ უნდა გამოიყენოთ მწვავე ინფექციის გამოსარიცხად. თუმცა, შეიძლება გამოსადეგი იყოს სხვადასხვა პირობებში.[429][496][497]
SARS-CoV2-ის მიმართ ანტისხეულები, როგორც წესი, დაავადების პირველი 1-3 კვირის ფარგლებში ჩნდება. ამასთან, იმუნოგლობულინი G ანტისხეულების სეროკონვერსია ხშირად წინ უსწრებს იმუნოგლობულინ M ანტისხეულებს.[494][495]
ჯანმრთელობის მსოფლიო ორგანიზაცია რეკომენდაციას უწევს შრატის დაწყვილებული ნიმუშის აღებას. ერთი ნიმუში იღება მწვავე ფაზაში, ხოლო მეორე 2-4 კვირის შემდეგ, გამოჯანმრთელების ფაზაში. ეს მოწოდებულია პაციენტებში, რომლებშიც მაღალია ეჭვი ინფექციაზე, მაგრამ პოლიმერაზული რეაქცია უარყოფითია. სეროკონვერსია ან ანტისხეულების ტიტრის მატება წყვილ ნიმუშში გვეხმარება გარკვევაში, ინფექცია ახლანდელია და/ან მწვავეა თუ არა. თუ თავდაპირველი ნიმუში დადებითია, ეს შეიძლება იყოს გადატანილი ინფექციის შედეგი, რომელიც არ უკავშირდება ამჟამინდელ ავადმყოფობას. სეროკონვერსია შეიძლება იყოს უფრო სწრაფი და ძლიერი თუ პაციენტს მძიმე დაავადება ჰქონდა, შედარებით მსუბუქ/უსიმპტომო პაციენტებთან.[429]
დაავადებათა კონტროლისა და პრევენციის ცენტრების რეკომენდაციით, დიაგნოზის ან გართულებების დასადასტურებლად სეროლოგიური ტესტების ჩატარება მიზანშეწონილია შემდეგ სიტუაციებში: ანტისხეულებზე დადებითი ტესტი მწვავე ავადმყოფობის დაწყებიდან სულ მცირე 7 დღის შემდეგ, როდესაც უწინდელი ტესტი ანტისხეულების მიმართ იყო უარყოფითი (ე.ი. სეროკონვერსია) და უარყოფითი პასუხი ვირუსულ ტესტზე მიუთითებს, რომ პაციენტს ინფექცია აღენიშნებოდა ანტისხეულებზე უარყოფით და დადებით პასუხებს შორის დროის ინტერვალში; დადებითი პასუხი ანტისხეულების ტესტზე გვეხმარება დიაგნოზის დადასტურებაში, როდესაც პაციენტს გამოვლენილი აქვს COVID-19-ის გართულებები, როგორებიცაა მულტისისტემური ანთებითი სინდრომი და სხვა პოსტ-მწვავე მოვლენები.[496]
ამერიკის ინფექციურ დაავადებათა საზოგადოება გვირჩევს არ გამოივიყენოთ სეროლოგიური ტესტირება ინფექციის დიაგნოსტირებისთვის სიმპტომების დაწყებიდან პირველი 2 კვირის განმავლობაში ან ინფექციის დასადასტურებლად სიმპტომურ პაციენტებში მაღალი კლინიკური ეჭვით და განმეორებითი უარყოფითი მოლეკულური ტესტებით. სეროლოგიური ტესტირება შეიძლება გამოიყენოთ ბავშვებში მულტისისტემური ანთებითი სინდრომის დიაგნოზის დასახმარებლად ან როდესაც მიზანია გადატანილი ინფექციის მტკიცებულება.[497]
კოქრეინის მიმოხილვამ დაადგინა, რომ ანტისხეულების ტესტები შეიძლება იყოს სასარგებლო ინსტრუმენტი იმ პაციენტებისთვის, რომლებშიც მოლეკულურ ან ანტიგენზე დაფუძნებულმა ტესტებმა ვერ გამოავლინა SARS-CoV-2 ვირუსი, მათ შორის მწვავე ინფექციის მიმდინარე სიმპტომების მქონე პაციენტებში (მე-3 კვირიდან მოყოლებული) ან მათში, ვისაც აღენიშნებათ პოსტ-მწვავე ნარჩენი მოვლენები. ტესტის მგრძნობელობა ძალიან დაბალია სიმპტომების დაწყებიდან პირველი კვირის განმავლობაში.[531]
ანტისხეულების ტესტების მიახლოებითი სენსიტიურობა ვარირებს 18.4%-96.1% ფარგლებში (ყველაზე დაბალი იყო ადგილზე ჩასატარებელი, სწრაფი ტესტიდან, თუმცა <50% სენსიტიურობა აღინიშნა ერთ ლაბორატორიულ ტესტშიც), ხოლო სპეციფიკურობა 88.9%-100%-ია. დიაგნოსტიკური სიზუსტის მაჩვენებლები სიფრთხილით უნდა გავარჩიოთ რეფერენს-სტანდარტის არარსებობის ფონზე, რათა დამტკიცდეს ან გამოირიცხოს COVID-19.[491]
ტესტირების შეზღუდვებისა და მტკიცებულებების შესახებ დეტალური ინფორმაციისთვის იხ. დიაგნოსტიკური რეკომენდაციები.
მიუხედავად იმისა, რომ სწრაფი, ანტისხეულების გამოვლენის ტესტები დამტკიცებულია SARS-CoV-2-ის IgG/IgM ანტისხეულების ხარისხობრივი გამოვლენისთვის შრატში, პლაზმაში ან მთლიან სისხლში, ჯანმრთელობის მსოფლიო ორგანიზაცია რეკომენდაციას არ უწევს მათ გამოყენებას კვლევის ფარგლებს გარეთ, ვინაიდან ამ ტესტებს ვალიდაცია არ მიუღია.[498] მტკიცებულებები არ უჭერს მხარს მათ გამოყენებას.[499]
BMJ practice pointer: testing for SARS-CoV-2 antibodies Opens in new window
შედეგი
დადებითია SARS-CoV-2 ვირუსის ანტისხეულებზე; სეროკონვერსია ან ანტისხეულების ტიტრის მატება წყვილ ნიმუშში
ამ მასალის გამოყენება ექვემდებარება ჩვენს განცხადებას