სურათები და ვიდეოები
სურათები

2019 წლის კორონავირუსით გამოწვეული დაავადება (COVID-19)
ილუსტრაცია, რომელზეც ჩანს მძიმე მწვავე რესპირატორული სინდრომის კორონავირუსი-2-ის (SARS-CoV-2) ულტრასტრუქტურული მორფოლოგია ელექტრონული მიკროსკოპიით.
დაავადებათა კონტროლისა და პრევენციის ცენტრები (CDC)
მოცემული სურათის კონტექსტში დათვალიერებისთვის ეწვიეთ შემდეგ სექციას (სექციებს):

2019 წლის კორონავირუსით გამოწვეული დაავადება (COVID-19)
COVID-19-ის და ხანგრძლივი COVID-ის მულტიორგანული გართულებები. SARS-CoV-2 ვირუსი ორგანოების უჯრედებში შედის ACE2 რეცეპტორის გამოყენებით
BMJ. 2021;374:n1648
მოცემული სურათის კონტექსტში დათვალიერებისთვის ეწვიეთ შემდეგ სექციას (სექციებს):

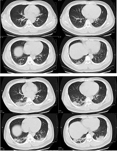
2019 წლის კორონავირუსით გამოწვეული დაავადება (COVID-19)
32 წლის მამაკაცის კომპიუტერული ტომოგრაფია განივი ჭრილში; ვლინდება მქრქალი მინისებრი დაჩრდილვა და მარჯვენა ფილტვის ქვედა წილის კონსოლიდაცია პლევრასთან ახლოს. სურათი მიღებულია სიმპტომების გამოვლენიდან 1-ლ დღეს (ზედა პანელი); ორმხრივი მქრქალი მინისებრი დაჩრდილვა და კონსოლიდაცია ვლინდება სიმპტომების გამოვლენიდან მე-7 დღეს
Xu XW et al. BMJ. 2020;368:m606
მოცემული სურათის კონტექსტში დათვალიერებისთვის ეწვიეთ შემდეგ სექციას (სექციებს):

2019 წლის კორონავირუსით გამოწვეული დაავადება (COVID-19)
რეკომენდაციები და მტკიცებულებები IL-6 ინჰიბიტორების გამოყენების შესახებ მძიმე ან კრიტიკული COVID-19-ით ჰოსპიტალიზებულ პაციენტებში
BMJ. 2023 იან 12;380:57
მოცემული სურათის კონტექსტში დათვალიერებისთვის ეწვიეთ შემდეგ სექციას (სექციებს):

2019 წლის კორონავირუსით გამოწვეული დაავადება (COVID-19)
გულის გაჩერება COVID-19-ის დროს
BMJ. 2020;371:m3513
მოცემული სურათის კონტექსტში დათვალიერებისთვის ეწვიეთ შემდეგ სექციას (სექციებს):

2019 წლის კორონავირუსით გამოწვეული დაავადება (COVID-19)
ფიზიკური აქტივობის გაგრძელება COVID-19-ის შემდეგ: რისკის სტრატიფიკაცია მიოკარდიტის გამოსარიცხად და თანდათან ფიზიკური აქტივობის გაგრძელება (7 დღე უსიმპტომო პერიოდის შემდეგ)
BMJ. 2021;372:m4721
მოცემული სურათის კონტექსტში დათვალიერებისთვის ეწვიეთ შემდეგ სექციას (სექციებს):

2019 წლის კორონავირუსით გამოწვეული დაავადება (COVID-19)
რეკომენდაციები და მტკიცებულებები კორტიკოსტეროიდების გამოყენების შესახებ მძიმე ან კრიტიკული COVID-19-ით ჰოსპიტალიზებულ პაციენტებში
BMJ. 2023 იან 12;380:57
მოცემული სურათის კონტექსტში დათვალიერებისთვის ეწვიეთ შემდეგ სექციას (სექციებს):

2019 წლის კორონავირუსით გამოწვეული დაავადება (COVID-19)
ჯანმრთელობის მსოფლიო ორგანიზაციის მიერ ყოველკვირეულად დაფიქსირებული COVID-19-ის შემთხვევების რაოდენობა და გლობალური სიკვდილობა, 2021 წლის 18 აპრილის მონაცემებით
ჯანმრთელობის მსოფლიო ორგანიზაცია (ჯანმო)
მოცემული სურათის კონტექსტში დათვალიერებისთვის ეწვიეთ შემდეგ სექციას (სექციებს):

2019 წლის კორონავირუსით გამოწვეული დაავადება (COVID-19)
ინოვას SARS-CoV-2-ის სწრაფი ანტიგენური ლატერალური ნაკადის ტესტირების მაჩვენებლები
BMJ. 2021;374:n1637
მოცემული სურათის კონტექსტში დათვალიერებისთვის ეწვიეთ შემდეგ სექციას (სექციებს):

2019 წლის კორონავირუსით გამოწვეული დაავადება (COVID-19)
ვირუსის რეპლიკაციის ციკლი
BMJ. 2020;371:m3862
მოცემული სურათის კონტექსტში დათვალიერებისთვის ეწვიეთ შემდეგ სექციას (სექციებს):

2019 წლის კორონავირუსით გამოწვეული დაავადება (COVID-19)
რეკომენდაციები და მტკიცებულებები რემდესივირის გამოყენების შესახებ მძიმე COVID-19-ით ჰოსპიტალიზებულ პაციენტებში
BMJ. 2023 იან 12;380:57
მოცემული სურათის კონტექსტში დათვალიერებისთვის ეწვიეთ შემდეგ სექციას (სექციებს):

2019 წლის კორონავირუსით გამოწვეული დაავადება (COVID-19)
რეკომენდაციები და მტკიცებულებები JAK ინჰიბიტორების გამოყენების შესახებ მძიმე ან კრიტიკული COVID-19-ით ჰოსპიტალიზებულ პაციენტებში
BMJ. 2023 იან 12;380:57
მოცემული სურათის კონტექსტში დათვალიერებისთვის ეწვიეთ შემდეგ სექციას (სექციებს):

2019 წლის კორონავირუსით გამოწვეული დაავადება (COVID-19)
ჯანმრთელობის მსოფლიო ორგანიზაციის თერაპიული ვარიანტების შეჯამება
BMJ. 2023 Nov 9:383:2622
მოცემული სურათის კონტექსტში დათვალიერებისთვის ეწვიეთ შემდეგ სექციას (სექციებს):
ვიდეოები
- სხივის არტერიის პუნქტურა- ანიმაციური დემონსტრაცია
როგორ მივიღოთ არტერიული სისხლის ნიმუში რადიალური არტერიიდან
ამ მასალის გამოყენება ექვემდებარება ჩვენს განცხადებას