მიდგომა
გარდა იმ შემთხვევებისა, როცა ფონური მიზეზი აშკარაა (და სათანადოდ იმართება), პანციტოპენია ყოველთვის მოითხოვს ჰემატოლოგის გამოკვლევას.
მძიმე პანციტოპენიის არსებობა (სიმპტომატური ანემია, რეტიკულოციტების აბსოლუტური რაოდენობა <60 x 109/ლ [<60,000/მიკროლიტრი], WBC <0,5 x 109/ლ [<500/მიკროლიტრი] და თრომბოციტები <20 x 109/ლ. x 10³/მიკროლიტრი]) მოითხოვს სასწრაფო გამოკვლევას (24-48 საათის განმავლობაში). ყოველთვის საჭიროა დეტალური ანამნეზი და გასინჯვა, უკეთეს შემთხვევაში ჰემატოლოგის მიერ. აუცილებელია სისხლის საერთო ანალიზის ჩატარება და პერიფერიული სისხლის ნაცხის გამოკვლევა ჰემატოლოგის მიერ. უმრავლეს შემთხვევაში აუცილებელია აგრეთვე ძვლის ტვინის გამოკვლევა ასპირატციით და ბიოფსიით.[29][30][31]
[Figure caption and citation for the preceding image starts]: ნაკადური სქემა პანციტოპენიის შეფასებისთვის. აბრევიატურები: PNH, ღამის პაროქსიზმული ჰემოგლობინურია; IBMFS ძვლის ტვინის უკმარისობის მემკვიდრული სინდრომიFrom the collection of Jeff K. Davies [Citation ends].
ანამნეზი.
პანციტოპენიის მიზეზი მრავალგვარია, ხოლო მდგომარეობის სავარაუდო მიზეზები განსხვავებულია ბავშვებსა და მოზრდილებში. ყურადღების განსაკუთრებულ გამახვილებას საჭიროებს პაციენტის ოჯახური ანამნეზი. მნიშვნელოვანი ღირებულება აქვს ანამნეზში ნებისმიერი ტიპის შემდეგი მდგომარეობების არსებობას: პანციტოპენია, ერთი უჯრედის ხაზის ციტოპენია, აპლაზიური ანემია, ძვლის ტვინის უკმარისობის მემკვიდრული სინდრომები, ნაყოფის ადრეული დაკარგვა, კიბო, მეტაბოლური დაავადებები, ღვიძლის დაავადება ან შემაერთებელი ქსოვილის დაავადებები. საჭიროა სრული სამკურნალო საშუალებების ანამნეზი.
პანციტოპენიის სიმპტომები და ნიშნები დამოკიდებულია დასენიანებულ სისხლის უჯრედების ხაზებზე (ერითროციტები, ლეიკოციტები და თრომბოციტები). მსუსტი პანციტოპენია ხშირად უსიმპტომოა და შემთხვევით აღმოჩნდება, როდესაც სისხლის სრული ანალიზი ხდება რაიმე სხვა მიზეზით, განსაკუთრებით ბავშვებში, რომელთაც არასპეციფიკური ვირუსული ავადმყოფობებია. ამ ეტიოლოგიის პანციტოპენია სპონტანურად აღდგება.
სპონტანური სიხლდენები ლორწოვანი გარსიდან (ღრძილები, გასტროინტესტინური ტრაქტი), პეტექიები და პურპურა ადვილად დაჟეჟილობით თრომბოციტოპენიის შედეგად, როგორც წესი, საწყისი სიმპტომებია, რომლებიც შედარებით უფრო მძიმე პანციტოპენიას უკავშირდება. მას შემდგომ ხშირად მოჰყვება სიმპტომური ანემია (დაღლილობა, სუნთქვის უკმარისობა, გრავიტაციული შეშუპება, ტკივილი გულმკერდის არეში იშემიური დაავადების მქონე პაციენტებში) და ბაქტერიული ინფექცია ნეიტროპენიის შედეგად (ცხელება, მუკოზიტი, აბსცესები, ჟრჟოლა).
გასინჯვა
ყოველთვის საჭიროა გასინჯვა, უკეთეს შემთხვევაში ჰემატოლოგის მიერ. წონის კლება და/ან ანორექსია ხელს უწყობს ინფექციის (პანციტოპენიის წინ ან მის შედეგად) და ავთვსებიანი დაავადების განვითარებას. სპონტანური სიხლდენები ლორწოვანი გარსიდან (ღრძილები, გასტროინტესტინური ტრაქტი), პეტექიები და პურპურა ადვილად დაჟეჟილობით თრომბოციტოპენიის შედეგად, როგორც წესი, საწყისი სიმპტომებია, რომლებიც შედარებით უფრო მძიმე პანციტოპენიას უკავშირდება. ამ ნიშნებს ხშირად თან ახლავთ ლიმფადენოპათია (ფონური ინფექცია, მონონუკლეოზი ლიმფოპროლიფერაციული და ავთვისებიანი დაავადებები). დისკომფორტი მუცლის არეში წარმოადგენს სპლენომეგალიისა და მასთან დაკავშირებული მდგომარეობების ხშირ გამოვლინებას. ძვლის გავრცობილი ტკივილი და სიმაღლის დაკლება მიუთითებს მიელომაზე, სახსრების ტკივილი მიუთითებს სისტემურ წითელ მგლურაზე (SLE), ხოლო ყელის ტკივილი-მონონუკლეოზზე.
ჩამოთვლილი საკითხები ორგანოთა გარკვეული სისტემებისა და მათთან დაკავშირებული მდგომარეობების შესახებ დაგეხმარებათ კვლევების დაგეგმვაში.
თვალის გასინჯვა
სისხლჩაქცევა ბადურაში (თრომბოციტოპენია)
ლეიკემიური ინფილტრატები (მწვავე ლეიკემია)
სკლერების სიყვითლე (ღამის პაროქსიზმული ჰემოგლობინურია, ჰეპატიტი, ციროზი)
ეპიფორები (თანდაყოლილი დისკერატოზი)[Figure caption and citation for the preceding image starts]: Icterus or jaundiceCDC. დ-რი თომას ფ. სელლერსი/ ემორის უნივერსიტეტი; გამოყენებულია ნებართვით [Citation ends].

პირის ღრუს გასინჯვა
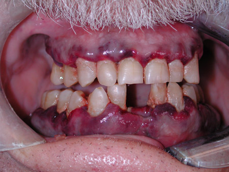
პერორალური პეტექიები ან სისხლჩაქცევები (თრომბოციტოპენია)
სტომატიტი ან ქეილიტი (ნეიტროპენია, B12 ვიტამინის დეფიციტი)
ღრძილების ჰიპერპლაზია (ლეიკემია)
პერორალური კანდიდიაზი ან ხახის ექსუდატი (ნეიტროპენია, ჰერპესის ოჯახის ვირუსით ინფექციები)[Figure caption and citation for the preceding image starts]: ანგულარული ქეილიტიFrom the collection of Dr Wanda C. Gonsalves; patient consent obtained [Citation ends].
[Figure caption and citation for the preceding image starts]: ღრძილების გადიდება, პეტექიები და სისხლდენა მწვავე მიელოიდური ლეიკემიის დროსCollection of Giuseppina Campisi, DDS, MS and Giuseppe Pizzo, DDS [Citation ends].
გულ-სისხლძარღვთა სისტემის გასინჯვა
ტაქიკარდია, ედემა, გულის შეგუბებითი უკმარისობა (სიმპტომური ანემიის ყველა ნიშანი)
უწინ გულის გადატანილი ქირურგიული ოპერაციის თვალსაჩინოება (თანდაყოლილ სინდრომებთან დაკავშირებული გულის დაავადება)
რესპირატორული სისტემის გასინჯვა
დოლის ჩხირისებრი თითები (ფილტვის კიბო)
ტაქიპნოე (სიმპტომური ანემიის ნიშანი)[Figure caption and citation for the preceding image starts]: დოლის ჩხირისებრი თითები და კლასიკური ლოვიბონდის კუთხის დაკარგვაFrom the collection of Dr Murlidhar Rajagopalan [Citation ends].

მუცლის გასინჯვა
მტკივნეულობა ზედა მარჯვენა კვადრანტში (ჰეპატიტი)
ლიმფადენოპათია (ინფექცია, ლიმფოპროლიფერაციული დაავადება, აივ ინფექცია)
ღვიძლის ქრონიკული დაავადების ნიშნები
სპლენომეგალია (ინფექცია, მიელოპროლიფერაციული და ლიმფოპროლიფერაციული დაავადებები)
კანის გასინჯვა
პეპლისებრი გამონაყარი (სისტემური წითელი მგლურა)
პურპურა/დაჟეჟილობა (თრომბოციტოპენია)
რეტიკულური პიგმენტაცია, დისპლაზიური ფრჩხილები (თანდაყოლილი დისკერატოზი)
ჰიპოპიგმენტური მიდამოები
ჰიპერპიგმენტაცია, "რძიანი ყავის" ლაქები (ფანკონის ანემია)[Figure caption and citation for the preceding image starts]: "რძიანი ყავის" ლაქები ახალგაზრდა ბიჭის ზურგზეFrom the personal collection of Dr Vincent M. Riccardi; used with permission [Citation ends].

საყრდენ-მამოძრავებელი სისტემის გასინჯვა
დაბალი აღნაგობა (ფანკონის ანემია, სხვა თანდაყოლილი სინდრომები)
შეშუპება/სინოვიტი (სისტემური წითელი მგლურა)
უჩვეულო თითები და სხვა რადიალური სხივების ანომალიები (მაგ. ფანკონის ანემია).
აივ ინფექციასთან დაკავშირებული ნიშნები
წითელას მაგვარი გამონაყარი ადრეულ ეტაპებზე
კაპოშის სარკომა, წყლულოვანი კვანძები მოგვიანებით
ძვლის ტვინის თანდაყოლილი უკმარისობის სინდრომს (IBMFS) შეიძლება თან ახლდეს ძვლების, თირკმლების და სხვა დამახასიათებელი თანდაყოლილი პათოლოგიები, ან ფილტვის და კანის პათოლოგიები. ამ ნიშნების გამოვლინება თავდაპირველი გამოკვლევების ნაწილი არ უნდა იყოს, თუმცა სხვა მიზეზით რადიოლოგიური კვლევისას მათი შემთხვევით აღმოჩენისას უნდა იფიქროთ ძვლის ტვინის უკმარისობის მემკვიდრულ სინდრომზე, როგორც პანციტოპენიის ეტიოლოგიურ მიზეზზე. ფიზიკური ანომალიების არარსებობა არ გამორიცხავს IBMFS-ს.
ლაბორატორიული კვლევები
აუცილებელია სისხლის საერთო ანალიზის ჩატარება და პერიფერიული სისხლის ნაცხის გამოკვლევა ჰემატოლოგის მიერ. სტანდარტული სადიაგნოსტიკო ტესტებია:
რეტიკულოციტების რაოდენობა შრატში
ღვიძლის ფუნქციური სინჯები და სეროლოგია
შრატის კოაგულაციის პროფილი, სისხლდენის დრო, ფიბრინოგენისა და D-დიმერის განსაზღვრა
შრატის პირდაპირი ანტიგლობულინის ტესტი
B12-ისა და ფოლიუმის მჟავის დონე შრატში
აივ ტესტირება და ნუკლეინის მჟავის ანალიზი შრატში.
სპეციფიკური ტესტი მიუთითებს დიაგნოზზე შემდეგი მდგომარეობების დროს:
ფანკონის ანემია: დიეპოქსიბუთანის ტესტი ქრომოსომულ გახლეჩაზე პერიფერიული სისხლის ლიმფოციტებში
ლიმფოპროლიფერაციული დაავადებები: იმუნოფენოტიპირება, ციტოგენეტიკა, ლიმფური კვანძის ბიოფსია
მრავლობითი მიელომა: იმუნოელექტროფორეზი
ღამის პაროქსიზმული ჰემოგლობინურია (PNH): პერიფერიული სისხლის იმუნოფენოტიპირება ფოსფატიდილინოზიტოლ-გლიკანთან დაკავშირებული მოლეკულობის დეფიციტზე პერიფერიული სისხლის უჯრედებში (მაგ. CD16, CD55, CD59)
ციტომეგალოვირუსული ინფექცია: შრატის IgM და IgG
ეპშტეინ-ბარი: ჰეტეროფილური ანტისხეულების ტესტი, ვირუსული კაფსიდის ანტიგენი და ეპშტეინ-ბარის ბირთვული ანტისხეული
ლეიშმანიოზი და სხვა იშვიათი ინფექციები: სისხლისა და ძვლის ტვინის კულტურა, შრატის ენზიმშეკავშირებული იმუნოსორბენტული ანალიზი (ELISA)
იშვიათი გენეტიკური და მეტაბოლური დაავადება: ლეიკოციტური გლუკოცერებროზიდაზას აქტივობა.
შემდგომი სპეციფიკური ტესტებია:
წინამდებარე ჯირკვლის ავთვისებიან სიმსივნეზე ეჭვის დროს შრატში პროსტატის სპეციფიკური ანტიგენის განსაზღვრა
ტელომერების სიგრძე
გენეტიკური ანალიზი, რომელიც მოიცავს კლინიკური ეჭვის საფუძველზე გაკეთებულ ცალკეული დარღვევების ტესტებს, ან უფრო ახალ ანალიზებს (ბევრი მათგანი ამჟამად შემუშავების პროცესშია) მუტაციებისა და დელეციების შესაფასებლად. ჩანასახოვანი ხაზის მუტაციები შეიძლება პერიფერიული სისხლის ლიმფოციტებში არ გამოვლინდეს მოზაიციზმის გამო; ჩანასახოვანი ხაზის მუტაციაზე ეჭვის შემთხვევაში გენეტიკურ ანალიზში გამოიყენეთ კანის ფიბრობლასტები.[32]
პანციტოპენიის შემთხვევათა უმრავლეს ნაწილში მითითებულია ძვლის ტვინის შემოწმება გარდა შემთხვევისა, როდესაც აშკარაა სხვა მიზეზი (მაგ. ღვიძლის ჩამოყალიბებული დაავადება პორტული ჰიპერტენზიით).[29][30][31]ძვლის ტვინის შემოწმება მოიცავს როგორც ასპირაციულ, ასევე ტრეპანაციურ ბიოფსიას, რომლებიც ხასიათდებიან ურთიერთშემავსებელი ინფორმატიულობით ამგვარ პირობებში. პანციტოპენიის დიფერენციული დიაგნოზი შეგვიძლია დავახარისხოთ ფართოდ ძვლის ტვინის უჯრედულობაზე დაფუძნებით (შემცირებული უჯრედულობა მიუთითებს სისხლის უჯრედების დაქვეითებულ წარმოქმნაზე, ხოლო ნორმალური/გაძლიერებული უჯრედულობა ასახავს უჯრედების არაეფექტურ გამომუშავებას ან მათ გაძლიერებულ დესტრუქციას ან სეკვესტრირებას).
ძვლის ტვინის ასპირატი გვაძლევს საშუალებას შემოწმდეს:
ციტოლოგია (მეგალობლასტური ცვლილება, დისპლაზიური ცვლილებები, ანომალიური უჯრედების ინფილტრატები, ჰემოფაგოციტოზი და ინფექცია [ამგ. ლეიშმან-დონოვანის სხეულები])
იმუნოფენოტიპირება (მწვავე და ქრონიკული ლეიკემიები, ლიმფოპროლიფერაციული დაავადებები)
ციტოგენეტიკა (მიელოდისპლაზია, მწვავე და ქრონიკული ლეიკემიები, ლიმფოპროლიფერაციული დაავადებები).
ძვლის ტვინის ტრეპანაციული ბიოფსია გვაძლევს უჯრედულობის განსაზღვრის საშუალებას:
ნორმაშია ან გაძლიერებულია შემდეგი მდგომარეობების დროს: მიელოდისპლაზია, მწვავე და ქრონიკული ლეიკემია, მიელომა პლაზმური უჯრედებით, ძვლის ტვინის კარცინომატოზული ინფილტრაცია, პერიფერიული სისხლის უჯრედების დესტრუქცია/სეკვესტრაციის გამომწვევი მდგომარეობები, ადრეული აივ ინფექცია და მეგალობლასტური ანემია
დაქვეითებულია შემდეგი მდგომარეობების დროს: ქიმიოთერაპიის შემდეგ, მწვავე ინფექცია/სეფსისის დროს, შორს წასული აივ ინფექციის დროს, ჰიპოპლაზიური მიელოდისპლაზიური სინდრომის პირობებში, თანდაყოლილი/მემკვიდრული ძვლის ტვინის უკმარისობის სინდრომებისას, იდიოპათიური აპლაზიური ანემიის დროს, სისტემური წითელი მგლურას და ღამის პაროქსიზმული ჰემოგლობინურიის პირობებში.
ტრეპანაციური ბიოფსია აგრეთვე გვაძლევს საშუალებას განვსაზღვროთ ჰისტოლოგია და შევაფასოთ:
უჯრედული ინფილტრაცია
ბლასტები
მიელოდისპლაზიის მახასიათებლები (მაგ. უმწიფარი პრეკურსორების არანორმალური ადგილმდებარეობა)
რეტიკულინით შეღებვა (ფიბროზი).
განვითარებულ სამყაროში მიიჩნევენ, რომ ახალი გამოვლინების პანციტოპენიის ყველაზე შესაძლო დიაგნოზი ძვლის ტვინის გამოკვლევის პირობებში, არის მწვავე ლიმფობლასტური ლეიკემია ბავშვებში და მწვავე მიელოიდური ლეიკემია/მიელოდისპლაზიური სინდრომი მოზრდილებში.[33] მსოფლიოს ზოგიერთ სხვა ქვეყნებში (მაგ. ინდოეთში) პანციტოპენიის ყველაზე ხშირი გამომწვევი მიზეზებია ჰიპერსპლენიზმი და ინფექცია.[34]
რადიოლოგიური გამოკვლევები
სპლენომეგალიის შესაფასებლად ნაჩვენებია მუცლის ულტრაბგერითი გამოკვლევა ან მუცლის კომპიუტერული ტომოგრაფია. გულმკერდის რენტგენზე შესაძლოა გამოჩნდეს სიმსივნური წარმონაქმნები, რომლებიც განაპირობებენ პანციტოპენიას (მაგ. კარცინომა, თიმომა). ძვლის ტვინის მეტასტაზურ ინფილტრაციაზე ეჭვის მიტანის პირობებში შეგვიძლია ჩავატაროთ ფარისებრი ჯირკვლის ულტრაბგერითი გამოკვლევა ან ძუძუს რადიოლოგიური გამოკვლევა. ძვლის ტვინის უკმარისობის მემკვიდრული სინდრომების დროს აღინიშნება ძვლის, თირკმლის ან ფილტვის სახასიათო პათოლოგიები. ამ ნიშნების გამოვლინება თავდაპირველი გამოკვლევების ნაწილი არ უნდა იყოს, თუმცა სხვა მიზეზით რადიოლოგიური კვლევისას მათი შემთხვევით აღმოჩენის პირობებში უნდა იფიქროთ ძვლის ტვინის უკმარისობის მემკვიდრულ სინდრომზე, როგორც პანციტოპენიის ეტიოლოგიურ მიზეზზე.
ამ მასალის გამოყენება ექვემდებარება ჩვენს განცხადებას