Imágenes y vídeos
Imágenes

Evaluación del derrame pericárdico
Vista apical de 4 cámaras de un ecocardiograma 2-dimensional de un paciente con derrame pericárdico tuberculoso; AI = aurícula izquierda, VI = ventrículo izquierdo, Derr. per.= derrame pericárdico; AD = aurícula derecha, VD = ventrículo derecho
De: George S, Salama AL, Uthaman B, et al. Heart. 2004; 90:1338-1339
Ver esta imagen en el contexto de la/s siguiente/s sección/es:

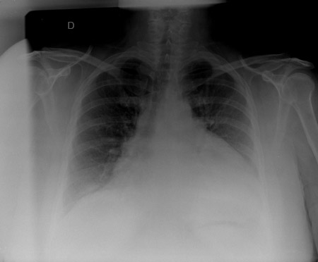
Evaluación del derrame pericárdico
El RT en un paciente con un derrame pericárdico que muestra hallazgos típicos de una silueta cardíaca en forma botella de agua con una raya de grasa pericárdica gruesa y diferenciada.
De la colección del Dr. Rajdeep Khattar
Ver esta imagen en el contexto de la/s siguiente/s sección/es:

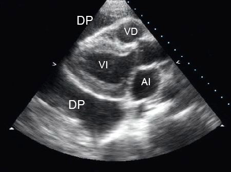
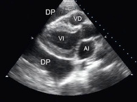
Evaluación del derrame pericárdico
Vista paraesternal de eje largo de un derrame pericárdico (DP); AI = aurícula izquierda, VI = ventrículo izquierdo, VD = ventrículo derecho
De la colección del Dr. Rajdeep Khattar
Ver esta imagen en el contexto de la/s siguiente/s sección/es:

Evaluación del derrame pericárdico
ECG en pericarditis aguda. Elevación del segmento ST casi ubicua que corresponde a la depresión del ST en la aVR (Derivación amplificada vector derecho). La altura de la elevación del ST es aproximadamente el 25% de la altura del pico de las ondas T en V5-V6. La mayoría de los segmentos PR están ligeramente deprimidos con respecto a la línea de base T-P (corriente auricular de la lesión).
Imazio M. Pericardial involvement in systemic inflammatory diseases. Heart 2011;97:1882-92.
Ver esta imagen en el contexto de la/s siguiente/s sección/es:

Evaluación del derrame pericárdico
Auscultación del pericardio: para desencadenar roces pericárdicos se invita al paciente a inclinarse hacia delante (A) o a descansar sobre los codos y las rodillas (B). Ambas maniobras físicas tienen como objetivo aumentar el contacto del pericardio visceral y parietal.
Imazio M. Pericardial involvement in systemic inflammatory diseases. Heart 2011;97:1882-92.
Ver esta imagen en el contexto de la/s siguiente/s sección/es:

Evaluación del derrame pericárdico
Diagrama que muestra la anatomía del pericardio.
Marchand P. Thorax. 1951;6:359-368
Ver esta imagen en el contexto de la/s siguiente/s sección/es:
El uso de este contenido está sujeto a nuestra cláusula de exención de responsabilidad