Abordaje
La evaluación de derrame pericárdico conlleva:
El diagnóstico de derrame pericárdico con antecedentes clínicos y exploración; confirmada por estudios por imágenes
La evaluación de la significación hemodinámica del derrame
La determinación de la etiología mediante evaluación clínica, estudios por imágenes y análisis clínicos.
Evaluación clínica
Los siguientes signos y síntomas deben dar lugar a una evaluación más detallada del derrame pericárdico:
Malestar torácico, dolor pleurítico y disnea sin explicación.[16] La pericarditis aguda suele causar un dolor torácico agudo y pleurítico, que mejora al sentarse e inclinarse hacia adelante y se agrava al toser y acostarse en posición supina.[6] El dolor puede irradiarse a la cresta del trapecio que, como el pericardio, está inervado por el nervio frénico.[58]
Los pacientes que tienen algún trastorno sistémico del que se sabe que implica el pericardio y una presión venosa yugular elevada.[5]
Cardiomegalia inexplicable sin congestión pulmonar en la radiografía de tórax.[5]
Dolor torácico y/o inestabilidad hemodinámica después de un reciente traumatismo torácico, una cirugía cardíaca o una intervención cardíaca.
Paro cardíaco con actividad eléctrica sin pulso o asistolia.
Cronología
El inicio de los síntomas es típicamente subagudo. Los síntomas pueden desarrollarse de forma aguda si el derrame está relacionado con traumatismo, ruptura de pared libre, causas iatrogénicas o disección aórtica.
Síntomas asociados
Los pacientes con pericarditis viral suelen presentar un inicio abrupto de los síntomas y otras características de una enfermedad viral, como la tos y el dolor de garganta. La fiebre baja es frecuente, pero una fiebre > 38 °C (> 100 °F) no es típica y debe considerarse pericarditis bacteriana.
Los síntomas que sugieren tuberculosis incluyen fiebre, sudores nocturnos, pérdida de peso, fatiga, tos y hemoptisis.
Fatiga, artralgia, erupción fotosensible, alopecia y úlceras orales sugieren lupus eritematoso sistémico (LES).[59]
Intolerancia al frío, fatiga, estreñimiento, disminución de la memoria, piel seca, aumento de peso, depresión, oligomenorrea o amenorrea, y reducción del cabello y del vello corporal pueden darse en el hipotiroidismo.
Historia clínica previa
Un infarto de miocardio (IM) previo. El derrame pericárdico después de un IM (síndrome de infarto de miocardio o fenómeno de Dressler) es una complicación poco frecuente que puede producirse en las semanas o meses posteriores a un IM.
Cirugía o intervención cardíaca reciente. El derrame poscirugía cardíaca se produce hasta en un 85% de los pacientes.[60] Estos pacientes también tienen un mayor riesgo de pericarditis bacteriana.
Insuficiencia cardíaca crónica. Puede haber antecedentes de hipertensión, arteriopatía coronaria, enfermedad valvular o cardiomiopatía. Los síntomas incluyen disnea, disminución de la tolerancia al ejercicio, ortopnea y disnea paroxística nocturna.
Insuficiencia renal crónica, particularmente si el paciente depende de la diálisis. Estos pacientes también tienen un mayor riesgo de pericarditis bacteriana. Los síntomas de la uremia incluyen náuseas, vómitos y cambios en el estado mental.
Antecedentes de neoplasias malignas, en particular cáncer de pulmón, cáncer de mama, neoplasias malignas hematológicas y mesotelioma. La infiltración metastásica del pericardio y la radioterapia pueden provocar un derrame pericárdico.
Una amiloidosis secundaria puede desarrollarse en pacientes con afecciones inflamatorias crónicas, como la bronquiectasia, la osteomielitis y la artritis reumatoide.
Derrames pericárdicos pueden producirse en caso de hipotiroidismo grave.
La inmunosupresión aumenta la susceptibilidad a la pericarditis bacteriana, fúngica y tuberculosa.
Historia farmacológica
La hidralazina, procainamida e isoniazida son los fármacos identificados con mayor frecuencia como causa de lupus eritematoso inducido por fármacos.[56]
Los fármacos quimioterapéuticos como las antraciclinas, la ciclofosfamida, la citarabina, el ácido holo-trans retinoico y los inhibidores de puntos de control inmunitarios están todos asociados con el derrame pericárdico.[14]
El derrame pericárdico puede producirse en pacientes con síndrome de hiperestimulación ovárica después de la administración de gonadotropinas inyectables.[54]
Exploración física
La exploración física puede ser normal si el paciente no tiene compromiso hemodinámico.
Los hallazgos de la exploración que sugieren un derrame pericárdico incluyen:
Un roce pericárdico: un sonido agudo como un rasguño mejor escuchado en el borde esternal izquierdo cuando el paciente está inclinado hacia adelante al final de la espiración.[6] Los roces pericárdicos pueden tener 1, 2 o 3 partes, correspondientes a los períodos de mayor movimiento del corazón en el ciclo cardíaco. El roce pericárdico puede ser también transitorio, y por lo tanto es útil examinar a pacientes con sospecha de pericarditis en múltiples ocasiones.
Los ruidos cardíacos distantes con un precordio tranquilo son un hallazgo frecuente en el derrame pericárdico.
Pulso paradójico: una disminución de la presión arterial sistólica durante la inspiración de >12 mmHg tiene una sensibilidad del 98% y una especificidad del 83% para la detección del taponamiento.[61]
En el taponamiento cardíaco, el derrame pericárdico acumulado tiene un efecto restrictivo sobre el llenado del corazón, lo que da lugar a una variación respiratoria más pronunciada e interdependiente en el llenado del ventrículo derecho e izquierdo y a una caída inspiratoria de la presión arterial sistólica de 10 mmHg o más.
Para medir el pulso paradójico se infla el manguito de presión arterial por encima de la presión arterial sistólica. El manguito se desinfla lentamente, escuchando el primer sonido de Korotkoff, que será intermitente y escuchado durante la espiración silenciosa. La diferencia (en mmHg) entre este primer sonido de Korotkoff y la presión a la que se escucha un sonido de Korotkoff con cada latido es el pulso paradójico.
La constricción pericárdica puede producir hallazgos similares de exploración a los del taponamiento con pulso paradójico y presión venosa yugular elevada. Un golpe (knock) pericárdico puede ser evidente durante la palpación y/o auscultación, y la constricción suele estar también asociada con ascitis y un agrandamiento extenso del hígado.[Figure caption and citation for the preceding image starts]: Auscultación del pericardio: para desencadenar roces pericárdicos se invita al paciente a inclinarse hacia delante (A) o a descansar sobre los codos y las rodillas (B). Ambas maniobras físicas tienen como objetivo aumentar el contacto del pericardio visceral y parietal.Imazio M. Pericardial involvement in systemic inflammatory diseases. Heart 2011;97:1882-92. [Citation ends].
Electrocardiografía
Los pacientes con sospecha de derrame pericárdico deben hacerse un electrocardiograma. Los cambios en el ECG incluyen:
Taquicardia sinusal.
QRS de bajo voltaje.
Alternancia eléctrica. Esto ocurre cuando el movimiento oscilante del corazón en el líquido pericárdico resulta en una variación de un latido a otro del eje ventricular, y de vez en cuando del eje auricular, en el ECG.
Cuando la inflamación afecta al epicardio, como en la pericarditis aguda, el ECG puede mostrar una elevación difusa del segmento ST y una depresión del PR que indica lesión epicárdica generalizada. Hasta el 60% de los pacientes con pericarditis aguda tienen hallazgos típicos del ECG.[62][Figure caption and citation for the preceding image starts]: ECG en pericarditis aguda. Elevación del segmento ST casi ubicua que corresponde a la depresión del ST en la aVR (Derivación amplificada vector derecho). La altura de la elevación del ST es aproximadamente el 25% de la altura del pico de las ondas T en V5-V6. La mayoría de los segmentos PR están ligeramente deprimidos con respecto a la línea de base T-P (corriente auricular de la lesión).Imazio M. Pericardial involvement in systemic inflammatory diseases. Heart 2011;97:1882-92. [Citation ends].
Estudios por imágenes
Ecocardiografía
La ecocardiografía transtorácica es la prueba diagnóstica de elección para un supuesto derrame pericárdico. Es una modalidad de diagnóstico no invasiva y eficaz. Además de confirmar el diagnóstico, la ecocardiografía permite al operador evaluar el tamaño y los efectos hemodinámicos del derrame.[7]
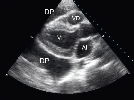
Un espacio sin eco entre las dos capas del pericardio indica la presencia de un derrame.[Figure caption and citation for the preceding image starts]: Vista paraesternal de eje largo de un derrame pericárdico (DP); AI = aurícula izquierda, VI = ventrículo izquierdo, VD = ventrículo derechoDe la colección del Dr. Rajdeep Khattar [Citation ends].
[Figure caption and citation for the preceding image starts]: Vista apical de 4 cámaras de un ecocardiograma 2-dimensional de un paciente con derrame pericárdico tuberculoso; AI = aurícula izquierda, VI = ventrículo izquierdo, Derr. per.= derrame pericárdico; AD = aurícula derecha, VD = ventrículo derechoDe: George S, Salama AL, Uthaman B, et al. Heart. 2004; 90:1338-1339 [Citation ends].
La evaluación ecocardiográfica general de un derrame pericárdico incluye:
Tamaño
Se mide el espesor máximo del derrame al final de la diástole (distancia entre las capas epicárdica y parietal del pericardio) y se gradúa el tamaño del derrame:
Trivial (visto solo en sístole)
Pequeño (<10 mm)
Moderado (10-20 mm)
Grande (>20 mm)
Muy grande (>25 mm)
Ubicación
Circunferencial
Loculado
Consistencia
Transparente
Parcialmente organizado (con filamentos que abarcan las dos capas del pericardio)
Completamente organizado.
La ecocardiografía transesofágica puede ser útil para diagnosticar derrames loculados y complejos y en los casos en que la ecocardiografía transtorácica no sea concluyente.
Radiografía de tórax
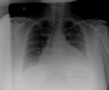
Una radiografía de tórax puede mostrar una silueta cardíaca en forma de botella de agua con una franja de grasa pericárdica distintiva, lo que sugiere un derrame pericárdico extenso. También puede haber presencia de derrames pleurales.[Figure caption and citation for the preceding image starts]: El RT en un paciente con un derrame pericárdico que muestra hallazgos típicos de una silueta cardíaca en forma botella de agua con una raya de grasa pericárdica gruesa y diferenciada.De la colección del Dr. Rajdeep Khattar [Citation ends].
tomografía computarizada
La ecocardiografía transtorácica tiene una resolución espacial limitada y no puede visualizar de forma fiable el pericardio, a menos que haya un grosor pronunciado (>5 mm; grosor normal de 0,5 a 1,0 mm). La tomografía computarizada (TC) cardíaca tiene una mayor resolución espacial y, por lo tanto, es más fiable para detectar un pericardio anormalmente grueso (definido como >2 mm). Puede proporcionar información cuantitativa y cualitativa sobre el derrame pericárdico y es la modalidad de estudios por imágenes más sensible para detectar la calcificación pericárdica.
Debido a su alta resolución espacial, la tomografía computarizada cardíaca es muy útil para proporcionar información anatómica y para la planificación de la pericardiotomía o el drenaje quirúrgico de derrames loculados o complejos. El líquido de alta atenuación sugiere hemopericardio, especialmente en casos de traumatismo, derrame posquirúrgico o disección aórtica. La nodularidad del pericardio puede indicar una neoplasia maligna.[63] La angiografía por TC es la prueba de elección para diagnosticar la disección aórtica en pacientes hemodinámicamente estables.
Imaginología por resonancia magnética
Las imágenes por resonancia magnética (IRM) cardíaca es la modalidad más completa para evaluar el pericardio.[6][64][65][66] Permite la evaluación cualitativa y cuantitativa del derrame pericárdico.
Los derrames pericárdicos transudativos aparecen oscuros en las secuencias ponderadas en T1; los derrames exudativos son de intensidad baja a media en T1 y de intensidad media a brillante en secuencias ponderadas en T2.[66][67][68] Los derrames hemorrágicos son de intensidad brillante en las secuencias ponderadas en T1 y T2, pero pueden evolucionar a un hematoma crónico (>15 días) con señal de baja intensidad.[66][67] Los derrames proteicos son de intensidad brillante en las secuencias ponderadas en T1.[66][67]
La IRM cardíaca puede detectar un epicardio anormalmente engrosado en secuencias de sangre negra ponderadas en T1 (<4 mm se considera normal) y fisiología constrictiva (p. ej., desplazamiento del tabique respirofásico).[6][65][66][67] El realce del gadolinio retardado puede proporcionar información importante sobre la presencia y el grado de la inflamación pericárdica en curso y, por lo tanto, orientar los tratamientos antiinflamatorios.[65][66][67]
Tenga en cuenta que las secuencias de resonancia magnética cardíaca son susceptibles a artefactos de movimiento cardíaco que pueden oscurecer o malinterpretarse como patología.[69]
Análisis clínicos
En el 60% de los casos, el derrame pericárdico se debe a una enfermedad o afección subyacente conocida.[70] Por lo tanto, todos los pacientes requieren una historia y exploración física detalladas.
Si no se identifica una causa subyacente, las pruebas iniciales incluyen marcadores de inflamación. Los marcadores de inflamación elevados respaldan el diagnóstico de pericarditis idiopática aguda, los derrames graves sin signos inflamatorios se asocian con pericarditis idiopática crónica y el taponamiento sin signos inflamatorios se asocia con neoplasia maligna.[70]
Pruebas iniciales
Hemograma completo: el recuento de leucocitos suele ser ligeramente elevado en la pericarditis idiopática aguda; un recuento de leucocitos sustancialmente elevado puede sugerir una pericarditis bacteriana.[58]
Proteína C reactiva en suero: está elevada en la mayoría de los casos de pericarditis aguda y por lo tanto no puede ser útil en la determinación de la etiología subyacente. Sin embargo, es útil para monitorizar la respuesta al tratamiento y se recomienda para todos los pacientes con sospecha de pericarditis aguda.[6]
Velocidad de sedimentación globular: suele ser elevada en la pericarditis aguda.
Urea, electrolitos y creatinina: pueden demostrar uremia en enfermedades renales crónicas o daños renales agudos si hay una infección aguda, un traumatismo o una nefritis lúpica.
Troponina: se realiza para detectar la miocarditis concomitante. La magnitud de la elevación se correlaciona con la extensión de la elevación del segmento ST. Los niveles pueden encontrarse en el rango considerado como diagnóstico de un infarto agudo de miocardio en algunos pacientes. Los niveles se normalizan en un período de 1 a 2 semanas después del diagnóstico. Al parecer, los niveles elevados no confieren importancia pronóstica en la pericarditis aguda.
Estudios de coagulación.
Pueden indicarse análisis de sangre adicionales en función de la etiología sospechada del derrame.
Hormona estimulante de la tiroides: elevada en el hipotiroidismo.
Anticuerpos antinucleares (ANA), anticuerpos anti-ADN bicatenario, y anticuerpos anti-Smith: se sospecha de LES.
Anticuerpos antihistona: sospecha de lupus inducido por fármacos.
Inmunoglobulinas séricas y urinarias: sospecha de amiloidosis.
Hemocultivos: esenciales cuando se sospecha pericarditis bacteriana, para identificar los microorganismos causales. Se pueden solicitar cultivos virales para el citomegalovirus en pacientes inmunocomprometidos seleccionados. En otras circunstancias, su utilidad clínica es escasa, ya que la mayoría de los casos de pericarditis viral son benignos y autolimitados, y un resultado positivo no cambiaría el manejo.[71]
VIH: se debe solicitar cuando haya evidencia de inmunosupresión en la exploración, o el paciente presente factores de riesgo de infección por VIH.
Frotis de sangre gruesa para microscopía: si se sospecha de enfermedad de Chagas.
Pericardiocentesis
La toma de muestras de líquido pericárdico puede incluir tinciones Gram y de bacilos ácido-alcohol resistentes y cultivos, reacción en cadena de la polimerasa, pruebas específicas para la tuberculosis (por ejemplo, adenosina desaminasa, lisozima e interferón gamma), marcadores tumorales y citología, y puede ser útil en las siguientes situaciones:
Sospecha de pericarditis purulenta o tuberculosa
Sospecha de derrame pericárdico maligno
Derrame pericárdico moderado a grande en pacientes con VIH y/o inmunosupresión
Derrame pericárdico moderado a grande o progresivo en pacientes que no responden a la terapia inicial y cuando el análisis diagnóstico no resulta concluyente.[72]
La evaluación citológica es el patrón oro para el diagnóstico del derrame pericárdico neoplásico, con una sensibilidad del 71% al 92% y una especificidad que se acerca al 100%.[13]
Contrariamente a la práctica común, y a diferencia de la evaluación del derrame pleural, la diferenciación entre un exudado y un trasudado basado en el recuento celular, la lactato-deshidrogenasa y los niveles de proteína y glucosa no suele ser útil para el diagnóstico diferencial y el tratamiento de los pacientes con derrame pericárdico.[73]
Biopsia pericárdica
La biopsia pericárdica puede considerarse en el curso del drenaje quirúrgico, cuando hay recurrencia de derrames extensos sin un diagnóstico previo, y cuando se sospecha de etiología tuberculosa o maligna.[6] Aunque el rendimiento diagnóstico es históricamente bajo y complicado por el alto grado de resultados falsos negativos, los recientes avances en la pericardioscopia, que permite la visualización directa del pericardio, han mejorado el rendimiento (40% de rendimiento diagnóstico) y reducido la incidencia de los resultados falsos negativos (6.7% de falsos negativos).[74]
El uso de este contenido está sujeto a nuestra cláusula de exención de responsabilidad