Complicaciones
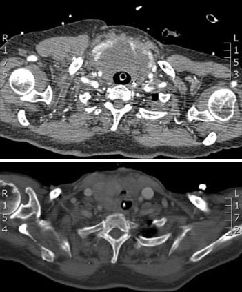
El tratamiento es quirúrgico, si es posible.[Figure caption and citation for the preceding image starts]: TC de cuello pre y posoperatorio: compresión traqueal por un linfoma de tiroidesVan la Parra RFD, Kroeze J, van Die J, et al. Progressive respiratory distress due to neck mass. BMJ Case Reports. 2009; doi:10.1136/bcr.11.2008.1193 [Citation ends].
El riesgo es bajo si el cirujano es experimentado.
Los síntomas incluyen adormecimiento perioral, espasmo carpopedal o, en casos graves, tetania.
Generalmente ocurre tras el primer día del postoperatorio y se resuelve en 1 semana; la hipocalcemia permanente es rara.
La hipocalcemia leve y asintomática transitoria se trata con calcio por vía oral y vitamina D. La hipocalcemia grave o sintomática se trata con calcio por vía intravenosa.
El riesgo es bajo si el cirujano es experimentado.
La mayoría de las lesiones de los nervios son temporales y mejoran en 2 a 3 meses.
La probabilidad de desarrollar ronquera permanente es baja. Si no existe mejoría después de 3 meses, es muy probable que la lesión sea permanente y deba iniciarse un tratamiento con terapia del habla.
Se pueden realizar procedimientos operatorios, como la medialización de las cuerdas vocales para mejorar la calidad de la voz.
Puede presentarse como disnea o como inflamación alrededor del área de operación.
El tratamiento incluye la apertura de la herida para drenar el hematoma y ligar el vaso que presenta sangrado.
Los pacientes con una hormona estimulante de la tiroides (TSH) suprimida tienen un mayor riesgo de fibrilación auricular.[90]
Existe un mayor riesgo de neoplasias secundarias hematológicas en pacientes con cáncer de tiroides bien diferenciado que recibieron yodo radiactivo (RAI). Estos pacientes tienen un mayor riesgo de desarrollar leucemia mieloide aguda (LMA) y leucemia mieloide crónica. La LMA que surge después del tratamiento con RAI tiene un pronóstico malo.[91] Otro estudio ha mostrado un aumento del riesgo de malignidad de las glándulas salivales y leucemia, con un riesgo excesivo de leucemia significativamente mayor en los pacientes de <45 años en comparación con los pacientes mayores, en los pacientes que reciben RAI.[92]
Según los estudios realizados, el uso de RAI debería limitarse, especialmente en el caso del cáncer de tiroides de bajo riesgo.
El total de dosis superior a los 200-300 milicurios (mCi) puede conducir a la sequedad bucal, que generalmente es temporal. Sin embargo, en un pequeño porcentaje de pacientes puede ser prolongada.
Rara vez causada por un cáncer de tiroides metastásico.[94]
El uso de este contenido está sujeto a nuestra cláusula de exención de responsabilidad