Imágenes y vídeos
Imágenes

Evaluación de masas en la mama
Imagen aumentada en la que se observa una masa espiculada irregular con calcificaciones asociadas
Cortesía de la Dra. Nancy Pile, University of Louisville; utilizada con autorización
Ver esta imagen en el contexto de la/s siguiente/s sección/es:

Evaluación de masas en la mama
Criterios del sistema Breast Imaging Reporting and Data System (BI-RADS)
Cortesía del Dr. Anees Chagpar
Ver esta imagen en el contexto de la/s siguiente/s sección/es:

Evaluación de masas en la mama
Paciente con masa de gran tamaño en la mama y retracción en la posición de las 6 en mama izquierda, notoria al levantar los brazos
Cortesía del Dr. Anees Chagpar
Ver esta imagen en el contexto de la/s siguiente/s sección/es:

Evaluación de masas en la mama
Mamografía de cribado en la que se observa una masa en la mama
Cortesía de la Dra. Nancy Pile, University of Louisville; utilizada con autorización
Ver esta imagen en el contexto de la/s siguiente/s sección/es:

Evaluación de masas en la mama
Técnicas de biopsia mamaria (AAF: aspiración con aguja fina)
Cortesía del Dr. Anees Chagpar
Ver esta imagen en el contexto de la/s siguiente/s sección/es:

Evaluación de masas en la mama
Paciente con cáncer de mama inflamatorio cuya manifestación inicial era una reducción de la mama
Cortesía del Dr. Anees Chagpar
Ver esta imagen en el contexto de la/s siguiente/s sección/es:

Evaluación de masas en la mama
Masa evidente con afectación cutánea en mama derecha
Cortesía del Dr. Anees Chagpar
Ver esta imagen en el contexto de la/s siguiente/s sección/es:

Evaluación de masas en la mama
Excoriación del pezón en paciente con enfermedad de Paget de mama
Cortesía del Dr. Anees Chagpar
Ver esta imagen en el contexto de la/s siguiente/s sección/es:

Evaluación de masas en la mama
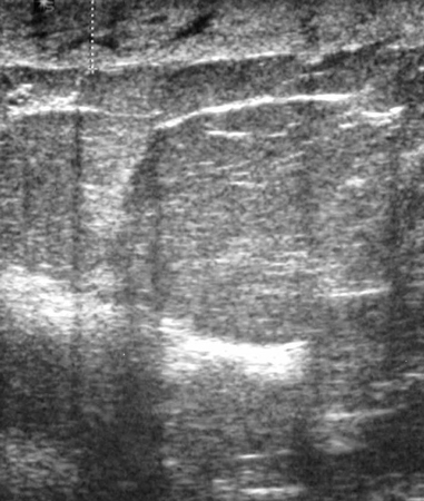
Imagen en ultrasonografía de un carcinoma invasivo
Cortesía del Dr. Lane Roland, University of Louisville; utilizada con autorización
Ver esta imagen en el contexto de la/s siguiente/s sección/es:

Evaluación de masas en la mama
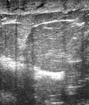
Imagen en ultrasonografía de engrosamiento cutáneo en paciente con cáncer de mama inflamatorio
Cortesía de la Dra. Nancy Pile, University of Louisville; utilizada con autorización
Ver esta imagen en el contexto de la/s siguiente/s sección/es:

Evaluación de masas en la mama
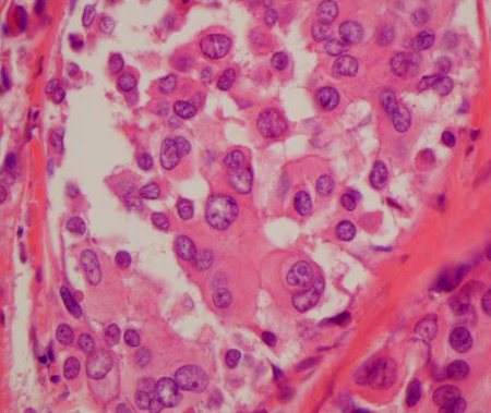
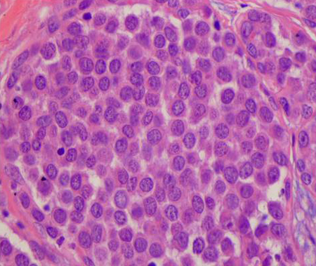
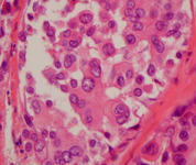
Histopatología del carcinoma lobular in situ (CLIS) pleomórfico
Cortesía del Dr. Sunati Sahoo, University of Louisville; utilizada con autorización
Ver esta imagen en el contexto de la/s siguiente/s sección/es:

Evaluación de masas en la mama
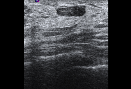
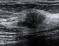
Imagen en ultrasonografía de un fibroadenoma
Cortesía del Dr. Lane Roland, University of Louisville; utilizada con autorización
Ver esta imagen en el contexto de la/s siguiente/s sección/es:

Evaluación de masas en la mama
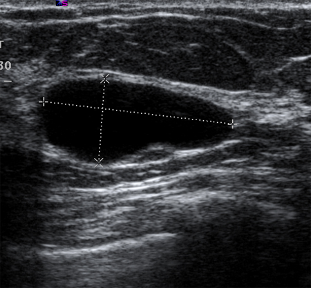
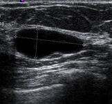
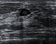
Imagen en ultrasonografía de un quiste simple
Cortesía del Dr. Lane Roland, University of Louisville; utilizada con autorización
Ver esta imagen en el contexto de la/s siguiente/s sección/es:

Evaluación de masas en la mama
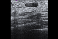
Imagen en ultrasonografía de un quiste complejo
Cortesía del Dr. Lane Roland, University of Louisville; utilizada con autorización
Ver esta imagen en el contexto de la/s siguiente/s sección/es:

Evaluación de masas en la mama
Ductograma en el que se observan múltiples papilomas intraductales
Cortesía de la Dra. Nancy Pile, University of Louisville; utilizada con autorización
Ver esta imagen en el contexto de la/s siguiente/s sección/es:

Evaluación de masas en la mama
Masa evidente con afectación cutánea en mama izquierda
Cortesía del Dr. Anees Chagpar
Ver esta imagen en el contexto de la/s siguiente/s sección/es:

Evaluación de masas en la mama
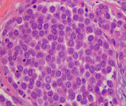
Histopatología del carcinoma lobular in situ (CLIS) tradicional
Cortesía del Dr. Sunati Sahoo, University of Louisville; utilizada con autorización
Ver esta imagen en el contexto de la/s siguiente/s sección/es:

Evaluación de masas en la mama
Algoritmo con valor diagnóstico para ultrasonido de mama
Cortesía del Dr. Anees Chagpar
Ver esta imagen en el contexto de la/s siguiente/s sección/es:
El uso de este contenido está sujeto a nuestra cláusula de exención de responsabilidad