Etiología
Con mayor frecuencia, el cáncer de mama afecta a las células mamarias glandulares ubicadas en los conductos o lóbulos. Los hombres con cáncer de mama suelen presentarse más tarde que las mujeres; los síntomas y el diagnóstico son los mismos.[7][8]
Masas benignas en la mama
Fibroadenoma
Es la causa más común de la masa en la mama. Los fibroadenomas se producen con mayor frecuencia durante los primeros años de la edad reproductiva. En estudios de autopsias se observan lesiones en entre el 9% y el 10% de todas las mujeres.[9] Se desconoce la etiología exacta de los fibroadenomas, aunque se cree que su desarrollo está relacionado con las hormonas.[10] Aunque se trata de lesiones benignas, algunos estudios sugieren que las mujeres a las que se diagnostica fibroadenoma, presentan un riesgo casi dos veces superior de desarrollar cáncer de mama, en comparación con las mujeres sin lesiones.[11] Sin embargo, esto no está respaldado por datos más recientes.[12]
Tumor filoides
Crecimientos raros de la mama que pueden tener características benignas o malignas.[13] Generalmente aparecen como una masa de rápido crecimiento e indolora en la mama. Los tumores filoides son, a veces, difíciles de distinguir histológicamente de los fibroadenomas.[14][15] El aumento de la celularidad, la atipia, las mitosis y los márgenes positivos suelen asociarse a un mayor riesgo de recidiva local de los tumores filoides. El tamaño del tumor, la necrosis y el crecimiento estromal excesivo son factores pronósticos de metástasis a distancia. Sin embargo, ninguno de ellos es un marcador definitivo de neoplasia maligna y la escisión sigue siendo el pilar del tratamiento.[13]
Mama fibroquística
El carácter fibroquístico de las mamas se observa con mayor frecuencia en mujeres en las etapa de la premenopausia y la perimenopausia.[16] La afección comprende un espectro de cambios patológicos: además de quistes, incluye hiperplasia epitelial, metaplasia apocrina, así como dilatación y fibrosis quísticas. En ocasiones, los pacientes aquejan una masa pequeña cuando en realidad lo que están notando es una zona de nodularidad normal relacionada con cambios fibroquísticos. Los quistes mamarios benignos son relativamente infrecuentes en mujeres posmenopáusicas que no toman hormonas.[17] Si se observan en mujeres mayores, existe la posibilidad de que se trate de neoplasias malignas.
Característicamente, los quistes son móviles y poseen márgenes precisos cuando se examinan en la exploración física.
A veces, los quistes son sensibles a la palpación y pueden fluctuar con el ciclo menstrual.
Los quistes simples son totalmente anecoicos, se diferencian del tejido mamario circundante al realizar un ultrasonido de mama y son benignos.[18][Figure caption and citation for the preceding image starts]: Imagen en ultrasonografía de un quiste simpleCortesía del Dr. Lane Roland, University of Louisville; utilizada con autorización [Citation ends].

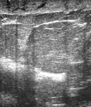
Los quistes complejos se relacionan con la presencia de tabacaciones internas o partículas de desecho y deben generar una sospecha de malignidad. La guía de la National Comprehensive Cancer Network (NCCN) recomienda la biopsia con aguja gruesa de los quistes complejos.[19][Figure caption and citation for the preceding image starts]: Imagen en ultrasonografía de un quiste complejoCortesía del Dr. Lane Roland, University of Louisville; utilizada con autorización [Citation ends].

Esteatonecrosis
La esteatonecrosis se produce a continuación de la lesión en la mama. La causa puede ser iatrogénica (p. ej., biopsia mamaria, reducción o aumento de mamas) o traumática (p. ej., lesión de la mama como consecuencia del uso del cinturón de seguridad).[20][21][22] Muchas mujeres cuya manifestación inicial es una esteatonecrosis no recuerdan haber experimentado un traumatismo en la mama. Las lesiones aparecen como masas sólidas y fijas y puede observarse un sombreado acústico en la ecografía; se trata de características que indican sospecha de neoplasia maligna y que exigen una biopsia.
Papiloma de mama
Una galactorrea sanguinolenta constituye una característica habitual del papiloma mamario. En ocasiones, esta clase de lesión puede detectarse como una masa dentro de la mama. Las proliferaciones se producen a menudo dentro de los conductos mamarios (papilomas intraductales). Estas lesiones suelen ser benignas, aunque pueden estar relacionadas con hallazgos histológicos de atipia celular, carcinoma ductal in situ (CDIS) tipo papilar o cáncer papilar invasivo.[Figure caption and citation for the preceding image starts]: Ductograma en el que se observan múltiples papilomas intraductalesCortesía de la Dra. Nancy Pile, University of Louisville; utilizada con autorización [Citation ends].
Absceso mamario
Los abscesos mamarios suelen darse en mujeres que están en periodo de lactancia materna. Se cree que se producen como consecuencia de conductos subareolares rotos que permiten el flujo hacia el interior del espacio periductal. Se debe diferenciar un absceso de un cáncer de mama inflamatorio (el cual, paradójicamente, no se manifiesta como una masa en la mama).[Figure caption and citation for the preceding image starts]: Imagen en ultrasonografía de engrosamiento cutáneo en paciente con cáncer de mama inflamatorioCortesía de la Dra. Nancy Pile, University of Louisville; utilizada con autorización [Citation ends].
Adenomas
Los adenomas se asemejan a los fibroadenomas, pero la histología es ligeramente diferente. Muchos son adenomas tubulares, que en mujeres jóvenes se manifiestan como proliferaciones bien delimitadas. Los adenomas lactantes pueden producirse durante el embarazo o durante el periodo posparto.[23]
Masas malignas en la mama
El carcinoma de mama invasivo puede presentarse como una masa palpable (sintomática) o no palpable, identificada en las imágenes de cribado (p. ej. mamografía o resonancia magnética en mujeres sometidas a cribado de alto riesgo). El subtipo histológico que se da con mayor frecuencia es el carcinoma ductal invasivo, que surge de los conductos mamarios. Algunos de estos tumores (p. ej., los carcinomas lobulares invasivos) pueden presentarse como una masa palpable, debido al patrón de diseminación celular en fila india característico de este subtipo histológico de neoplasia maligna, sin hallazgos de imagen relacionados.[24]
Otros subtipos de tumor maligno clasificados como carcinoma de mama invasivo incluyen el carcinoma tubular, carcinoma mucinoso o coloidal, carcinoma papilar y carcinoma medular. Todos se diagnostican y se tratan de la misma manera.
El carcinoma ductal in situ (CDIS) es una proliferación de células epiteliales de aspecto maligno que no han penetrado la membrana basal. La unidad lobular del conducto terminal es el origen de la mayoría de las lesiones. La mayoría de los casos se diagnostican con una mamografía; no obstante, la manifestación inicial del 10% de las lesiones de CDIS es una masa palpable.[25]
El cáncer metastásico en la mama es extremadamente raro y comprende entre el 0.5% y el 2.0% de las metástasis de los cánceres primarios.[26] El melanoma, el carcinoma de ovario, el cáncer de pulmón y el linfoma se han implicado.[27][28]
Ver Cáncer de mama invasivo primario, Cáncer de mama in situy Cáncer de mama metastásico.
Lesiones mamarias precancerosas
Tanto la hiperplasia ductal atípica (HDA) como la hiperplasia lobulillar atípica (HLA) se relacionan con un mayor riesgo de padecer cáncer de mama. Los hallazgos de la biopsia con aguja gruesa de HDA exigen la toma de muestras adicionales con escisión asistida por vacío (VAE) o escisión quirúrgica de la masa en la mama, ya que estas lesiones se convierten en carcinoma ductal in situ (CDIS) en casi el 15% de los casos.[29][30]
El carcinoma lobular in situ (CLIS) es un hallazgo casual que constituye un marcador de mayor riesgo de padecer cáncer de mama.[24] También puede estar relacionado con lesiones palpables. El CLIS se ha clasificado en 2 subtipos:
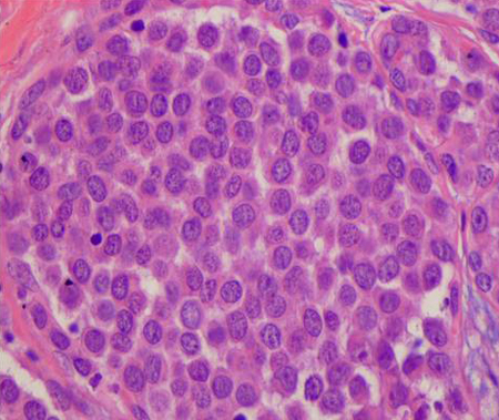
Un subtipo clásico que constituye un marcador de mayor riesgo en cualquier mama. Se recomienda tomar más muestras con escisión quirúrgica o asistida por vacío, ya que el riesgo de desarrollar cáncer invasivo es de hasta un 27%.[29][Figure caption and citation for the preceding image starts]: Histopatología del carcinoma lobular in situ (CLIS) tradicionalCortesía del Dr. Sunati Sahoo, University of Louisville; utilizada con autorización [Citation ends].

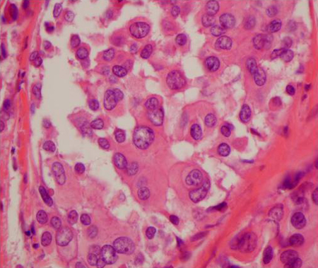
Un subtipo pleomórfico que se comporta de manera más similar al CDIS, ya que se cree que es un precursor de la enfermedad invasiva y hay que tratarlo de modo similar.[Figure caption and citation for the preceding image starts]: Histopatología del carcinoma lobular in situ (CLIS) pleomórficoCortesía del Dr. Sunati Sahoo, University of Louisville; utilizada con autorización [Citation ends].

El uso de este contenido está sujeto a nuestra cláusula de exención de responsabilidad