Pruebas diagnósticas
Primeras pruebas diagnósticas para solicitar
bilirrubina sérica
Prueba
Los niveles suelen oscilar entre 2 y 5 mg/dL, pero se han registrado niveles de hasta 427 micromol/L (25 mg/dL).[32] La concentración de bilirubina sérica suele fluctuar y, en algunos casos, la bilirrubina puede estar dentro de los límites normales.
Resultado
elevada, con aumento de la bilirrubina conjugada en plasma
fosfatasa alcalina en suero
Prueba
Ayuda a diferenciar de otras causas de ictericia.[29]
Resultado
normal
aminotransferasas hepáticas séricas conjugadas (aspartato aminotransferasa y alanina aminotransferasa)
Prueba
Ayuda a diferenciar de otras causas de ictericia.[31]
Resultado
normal; ocasionalmente puede haber un aumento leve de la alanina aminotransferasa (<2 veces el límite superior de la normalidad)
albúmina sérica
Prueba
Ayuda a diferenciar de otras causas de ictericia.
Resultado
normal
gamma glutamil transferasa sérica
Prueba
Ayuda a diferenciar de otras causas de ictericia.[29]
Resultado
normal
ácidos biliares séricos
Prueba
Los niveles en ayunas y postprandiales de los ácidos biliares comunes son normales. Se han descripto leves aumentos en algunos pacientes ocasionales.
Resultado
normal
perfil de coagulación
Prueba
La alteración de la coagulación no es una característica del SDJ, pero debe comprobarse la coagulación en cualquier paciente con ictericia para ayudar a diferenciarla de otras causas.
Resultado
normal
Pruebas diagnósticas que deben considerarse
proporción entre coproporfirina tipo I y III en orina
Prueba
Los niveles totales coproporfirina aumentan en muchas enfermedades, pero la proporción del isómero I en orina es en casi todos los casos menor al 65%. En el SDJ, más del 80% de la coproporfirina excretada es de tipo I, lo que prácticamente constituye un diagnóstico de SDJ.[33]
Se ha observado que los neonatos sanos suelen tener aumentos notables de los niveles de coproporfirina en orina y que más del 80% corresponde al isómero I durante los primeros 2 días de vida; pero para el día 10, los niveles bajan y coinciden con los valores normales de los adultos.[33][35]
Resultado
aumentada, la excreción total de coproporfirina en orina es normal o moderadamente aumentada
exploración con ácido iminodiacético hepatobiliar (HIDA) marcado con 99mTc (gammagrafía biliar)
Prueba
En una persona sana, las imágenes de los conductos biliares y de la vesícula biliar se obtienen dentro de los 30 minutos posteriores a una inyección de HIDA marcado con 99mTc; se observa una buena excreción hacia el tracto intestinal en menos de 60 minutos. En el SDJ, la recaptación del radionucleido 99mTc por parte del hígado es excelente, pero la excreción a las vías biliares es deficiente. Por lo tanto, se obtiene una colescintigrafía única, que es una combinación de una visualización intensa y prolongada del hígado con una visualización retrasada de la vesícula biliar y el conducto biliar común. En algunos casos, la vesícula biliar y las vías biliares no se pueden visualizar en absoluto.[30]
Este estudio puede ser útil si el diagnóstico no es claro o si se sospecha de otra enfermedad.[30]
Resultado
visualización intensa y prolongada del hígado, con una visualización retrasada de la vesícula biliar y el conducto biliar común
biopsia hepática
Prueba
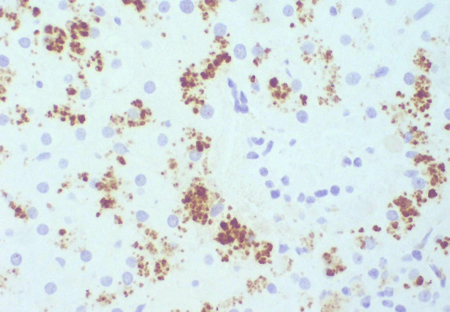
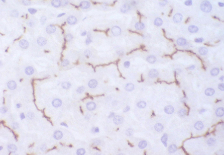
Una característica llamativa del SDJ es el cambio de coloración del hígado de marrón a negro. Estos pigmentos pueden acumularse en el hígado debido a la secreción deficiente de diversos metabolitos desde el hepatocito hacia la bilis. Este pigmento desaparece del hígado durante la hepatitis viral aguda con una reaparición posterior.[5][24][25][26][27]
Se recomienda una biopsia hepática percutánea en todos los pacientes para confirmar el diagnóstico de SDJ y descartar cualquier patología hepática concomitante.
La coproporfirina en orina es un marcador sustituto y no una prueba definitiva. El SDJ es una enfermedad extremadamente rara; por lo tanto, una investigación definitiva que confirme el diagnóstico y descarte otras enfermedades será de utilidad para tranquilizar a los pacientes con respecto a la naturaleza benigna de esta enfermedad.[Figure caption and citation for the preceding image starts]: La tinción de Fontana-Masson muestra la pigmentación en un paciente con SDJColección personal del Profesor Bernard Portmann, del King's College Hospital, Londres, con autorización [Citation ends].
[Figure caption and citation for the preceding image starts]: Inmunohistoquímica para el transportador de aniones orgánicos multiespecífico en un control que no muestra pigmentos, pero en la que pueden observarse estructuras canaliculares con ramificación irregularColección personal del Profesor Bernard Portmann, del King's College Hospital, Londres, con autorización [Citation ends].
[Figure caption and citation for the preceding image starts]: Inmunohistoquímica para el transportador de aniones orgánicos multiespecífico en pacientes que muestran el pigmento pero no muestran estructuras canalicularesColección personal del Profesor Bernard Portmann, del King's College Hospital, Londres, con autorización [Citation ends].
Resultado
pigmento de granulado grueso en los lisosomas del hepatocito con histología hepática normal
análisis mutacional del gen ABCC2
Prueba
El análisis mutacional del gen ABCC2 (que codifica la proteína 2 asociada a la resistencia a los fármacos [MRP2]), mediante la secuenciación de próxima generación y la secuenciación de Sanger, se ha comunicado como una herramienta de diagnóstico potencial en el trabajo de los pacientes con sospecha de SDJ.[31][36][37]
Resultado
presencia de una mutación en el gen ABCC2
Pruebas emergentes
metabolitos de los leucotrienos en orina
Prueba
La proteína asociada a la resistencia a múltiples fármacos 2 (MRP2) también transporta leucotrienos a la bilis. Cuando son defectuosos, también se produce una mayor excreción por orina de los metabolitos de leucotrienos. Esta podría ser una prueba para el SDJ no invasiva de utilidad, pero por el momento no tiene un uso clínico generalizado.[38]
Resultado
elevada
El uso de este contenido está sujeto a nuestra cláusula de exención de responsabilidad