Images and videos
Images

Adenocarcinoma of unknown primary site
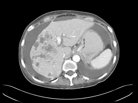
CT abdomen with intravenous contrast, revealing numerous enhancing liver lesions in both hepatic lobes. Percutaneous biopsy of a right lobe lesion revealed adenocarcinoma
From the personal collection of Dr D. Cosgrove
See this image in context in the following section/s:

Adenocarcinoma of unknown primary site
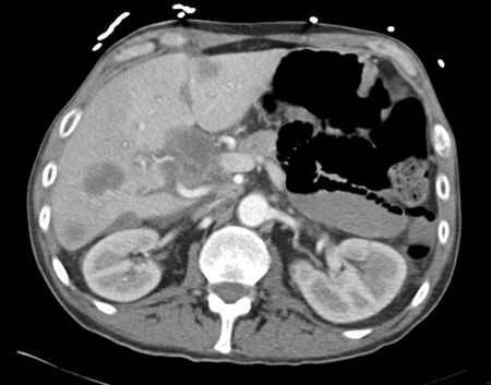
CT abdomen with intravenous contrast, revealing numerous enhancing lesions in the right hepatic lobe, with associated ascites. Percutaneous biopsy of one of these hepatic lesions revealed adenocarcinoma, but no primary site was identified during routine workup. This is a typical presentation of ACUP
From the personal collection of Dr D. Cosgrove
See this image in context in the following section/s:
Use of this content is subject to our disclaimer