Images and videos
Images

Postpartum hemorrhage
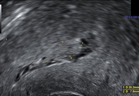
Ultrasound image showing retained product of conception within the endometrial cavity (measuring 20 x 8mm) in a woman with secondary PPH. The image was taken on day 22 post-delivery
Du R, et al. BMJ Case Reports CP 2021;14:e245009; used with permission
See this image in context in the following section/s:

Postpartum hemorrhage
Maternal early warning criteria (MEWC)
Mhyre JM, et al. J Obstet Gynecol Neonatal Nurs. 2014 Nov-Dec; 43(6):771-9; used with permission
See this image in context in the following section/s:

Postpartum hemorrhage
Placenta percreta invading the uterine myometrium and the serosa
Chandraharan E, et al. BMJ 2017; 358 :j3875; used with permission
See this image in context in the following section/s:
Videos
- Female urethral catheterization: animated demonstration
How to insert a urethral catheter in a female patient using sterile technique.
- Venepuncture and phlebotomy: animated demonstration
How to take a venous blood sample from the antecubital fossa using a vacuum needle.
Use of this content is subject to our disclaimer