Images and videos
Images

Pancreatic cancer
Trousseau's sign in a patient with pancreatic adenocarcinoma
Punithakumar EJ et al. Trousseau syndrome in pancreatic carcinoma. Surgery. 2021;169(2):E3-4; used with permission
See this image in context in the following section/s:

Pancreatic cancer
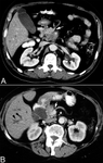
Contrast enhanced abdominal computed tomography scan showing (A) a large mass in the head of pancreas with encasement of the superior mesenteric artery (white arrow) and (B) dilated intrahepatic ducts (black arrowheads) and encasement of the superior mesenteric vein (white arrow)
Takhar AS et al. BMJ. 2004;329:668
See this image in context in the following section/s:
Use of this content is subject to our disclaimer