Images and videos
Images

Sialadenitis
Acute bacterial sialadenitis of left parotid gland
From the personal collection of Dr A. Aguirre; used with permission
See this image in context in the following section/s:

Sialadenitis
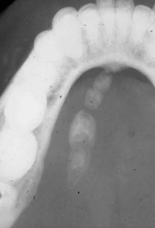
Occlusal radiographic film showing presence of multiple sialoliths in the left Wharton duct
From the personal collection of Dr A. Aguirre; used with permission
See this image in context in the following section/s:

Sialadenitis
Bilateral swelling of parotid glands in Sjogren syndrome
From the personal collection of Dr A. Aguirre; used with permission
See this image in context in the following section/s:

Sialadenitis
Intraoral view of right parotid gland showing purulent exudate exiting Stensen duct
From the personal collection of Dr A. Aguirre; used with permission
See this image in context in the following section/s:
Use of this content is subject to our disclaimer