Images and videos
Images

Evaluation of neutrophilia
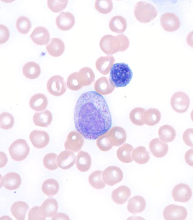
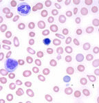
Leukoerythroblastic peripheral blood smear
From the collection of T. George, MD
See this image in context in the following section/s:

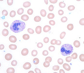
Evaluation of neutrophilia
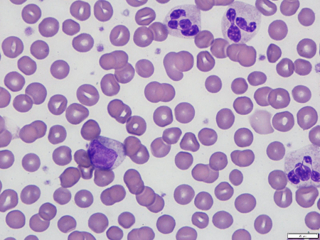
Neutrophilia with left shift
From the collection of D. Chabot-Richards, MD; used with permission
See this image in context in the following section/s:

Evaluation of neutrophilia
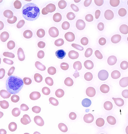
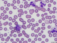
Leukoerythroblastic peripheral blood smear with dacrocytes
From the collection of T. George, MD
See this image in context in the following section/s:

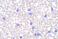
Evaluation of neutrophilia
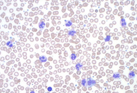
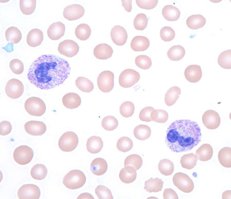
Neutrophilia
From the collection of T. George, MD
See this image in context in the following section/s:

Evaluation of neutrophilia
BCR::ABL1 translocation
From the collection of Dr Han Myint and Dr Robert Chen; used with permission
See this image in context in the following section/s:

Evaluation of neutrophilia
Toxic granules in a patient receiving granulocyte colony-stimulating factor treatment
From the collection of T. George, MD
See this image in context in the following section/s:
Videos
- Pathophysiology of neutrophilia
Overview of factors affecting neutrophil maturation, migration, and demargination.
Use of this content is subject to our disclaimer