Images and videos
Images

Chancroid
Penile ulcers associated with chancroid
Adapted from J. Miller, Public Health Image Library, CDC (1974)
See this image in context in the following section/s:

Chancroid
Buboes associated with Haemophilus ducreyi infection
Adapted from S. Lindsley, Public Health Image Library, CDC (1971)
See this image in context in the following section/s:

Chancroid
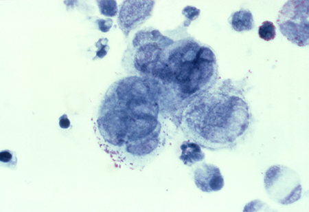
Tzanck test specimen showing multi-nucleated giant cells, indicating the presence of herpes virus
Adapted from J. Miller, Public Health Image Library, CDC (1975)
See this image in context in the following section/s:

Chancroid
Chancroid pustule resembling syphilis
Adapted from Public Health Image Library, CDC (1971)
See this image in context in the following section/s:

Chancroid
Gram stain of Haemophilus ducreyi
Adapted from G. Hammond, Public Health Image Library, CDC (1978)
See this image in context in the following section/s:
Use of this content is subject to our disclaimer