Images and videos
Images

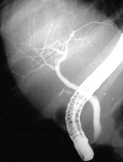
Primary sclerosing cholangitis
Normal endoscopic retrograde cholangiopancreatography
Dr Michael Saunders' collection
See this image in context in the following section/s:

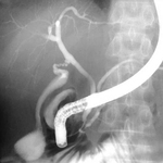
Primary sclerosing cholangitis
Typical endoscopic retrograde cholangiopancreatography findings in a patient with PSC: multi-focal strictures of the intra- and extrahepatic bile ducts
Dr Kris Kowdley's collection
See this image in context in the following section/s:

Primary sclerosing cholangitis
Normal cholangiogram-pancreatogram
Dr Michael Saunders' collection
See this image in context in the following section/s:
Use of this content is subject to our disclaimer