Images and videos
Images

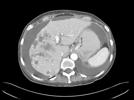
Adenocarcinoma of unknown primary site
CT abdomen with intravenous contrast, revealing numerous enhancing lesions in right hepatic lobe, with associated ascites; percutaneous biopsy of one of these lesions revealed adenocarcinoma, but no primary site was identified during routine work-up: a typical presentation of ACUP
From the personal collection of Dr D. Cosgrove
See this image in context in the following section/s:

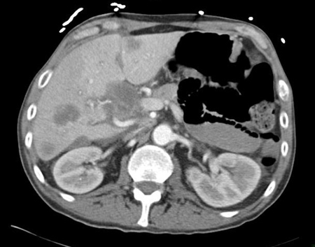
Adenocarcinoma of unknown primary site
CT abdomen with intravenous contrast, revealing numerous enhancing liver lesions in both hepatic lobes; percutaneous biopsy of a right lobe lesion revealed adenocarcinoma
From the personal collection of Dr D. Cosgrove
See this image in context in the following section/s:
Use of this content is subject to our disclaimer