Images and videos
Images

Laryngomalacia
Typical example of laryngomalacia
From the personal teaching collection of Simone J. Boardman, MBBS, FRACS (OHNS) and C. Martin Bailey, BSc, FRCS, FRCSEd
See this image in context in the following section/s:

Laryngomalacia
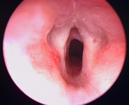
Laryngeal appearance after supraglottoplasty using cold steel
From the personal teaching collection of Simone J. Boardman, MBBS, FRACS (OHNS) and C. Martin Bailey, BSc, FRCS, FRCSEd
See this image in context in the following section/s:

Laryngomalacia
Laryngeal cleft
From the personal teaching collection of Simone J. Boardman, MBBS, FRACS (OHNS) and C. Martin Bailey, BSc, FRCS, FRCSEd
See this image in context in the following section/s:

Laryngomalacia
Vallecular cyst
From the personal teaching collection of Simone J. Boardman, MBBS, FRACS (OHNS) and C. Martin Bailey, BSc, FRCS, FRCSEd
See this image in context in the following section/s:

Laryngomalacia
Glottic web
From the personal teaching collection of Simone J. Boardman, MBBS, FRACS (OHNS) and C. Martin Bailey, BSc, FRCS, FRCSEd
See this image in context in the following section/s:

Laryngomalacia
Subglottic stenosis
From the personal teaching collection of Simone J. Boardman, MBBS, FRACS (OHNS) and C. Martin Bailey, BSc, FRCS, FRCSEd
See this image in context in the following section/s:
Use of this content is subject to our disclaimer