Images and videos
Images

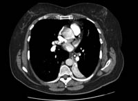
Foreign body aspiration
CT of the chest with intravenous contrast material, showing complete left lower lobe collapse with a radio-opaque object within the left lower main bronchus surrounded by a halo of air
BMJ Case Reports 2008 (doi:10.1136/bcr.06.2008.0013). Copyright 2008 BMJ Group Ltd
See this image in context in the following section/s:

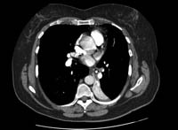
Foreign body aspiration
Loquat seed completely occluding the bronchus intermedius
From the collection of Dr Septimiu Murgu and Dr Henri Colt; used with permission
See this image in context in the following section/s:
Videos
- Stridor
Auscultation sounds: Stridor
- Expiratory wheeze
Auscultation sounds: Expiratory wheeze
- Polyphonic wheeze
Auscultation sounds: Polyphonic wheeze
Use of this content is subject to our disclaimer