Images and videos
Images

Bullous pemphigoid
Tense, fluid-filled blisters on normal and erythematous skin
From the collection of Dr Vesna Petronic-Rosic
See this image in context in the following section/s:

Bullous pemphigoid
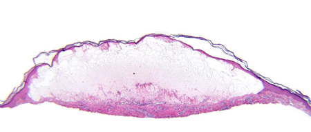
Light microscopy: sub-epidermal blister
From the collection of Dr Vesna Petronic-Rosic
See this image in context in the following section/s:

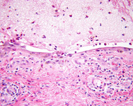
Bullous pemphigoid
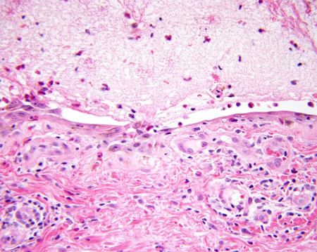
Fibrin and eosinophils are present in the blister cavity
From the collection of Dr Vesna Petronic-Rosic
See this image in context in the following section/s:

Bullous pemphigoid
Tense, fluid-filled blisters on normal and erythematous skin of the trunk and extremities
From the collection of Dr Vesna Petronic-Rosic
See this image in context in the following section/s:

Bullous pemphigoid
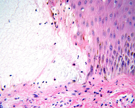
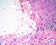
Fibrin network is present in the blister cavity while the dermal infiltrate contains many eosinophils
From the collection of Dr Vesna Petronic-Rosic
See this image in context in the following section/s:

Bullous pemphigoid
Linear band of IgG at the basement membrane zone
From the collection of Dr Vesna Petronic-Rosic
See this image in context in the following section/s:

Bullous pemphigoid
Vesicular variant: tense blisters
From the collection of Dr Vesna Petronic-Rosic
See this image in context in the following section/s:
Use of this content is subject to our disclaimer