Images and videos
Images

Ulcerative colitis
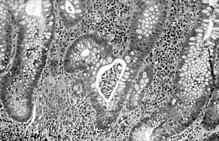
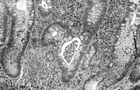
Colonic biopsy specimen showing severe mucosal inflammation, formation of crypt abscess, mild glandular atrophy, and distortion, suggesting an active phase of ulcerative colitis; haematoxylin/eosin staining, ×400 magnification
From Iannone F, Scioscia C, Musio A, et al Leucocytoclastic vasculitis as onset symptom of ulcerative colitis Ann Rheum Dis 2003 Aug;62(8):785-6; used with permission
See this image in context in the following section/s:
Videos
- Venepuncture and phlebotomy animated demonstration
How to take a venous blood sample from the antecubital fossa using a vacuum needle.
Use of this content is subject to our disclaimer