Images and videos
Images

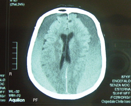
Subdural haematoma
CT scan of the brain of an 80-year-old man with a gait disorder and a progressive cognitive impairment dating back about 6 months, showing a bilateral chronic subdural haematoma up to the convexity
Adapted from BMJ Case Rep. 2009;2009:bcr06.2008.0130
See this image in context in the following section/s:

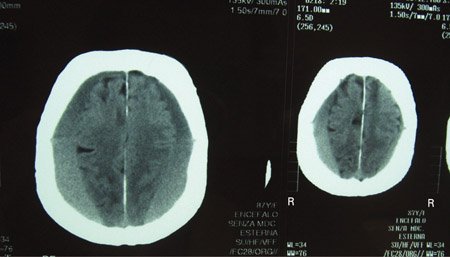
Subdural haematoma
CT scans of the brain of an 80-year-old man with a gait disorder and a progressive cognitive impairment dating back about 6 months, showing a bilateral chronic subdural haematoma up to the convexity
Adapted from BMJ Case Rep. 2009;2009:bcr06.2008.0130
See this image in context in the following section/s:
Use of this content is subject to our disclaimer