Images and videos
Images

Hyponatraemia
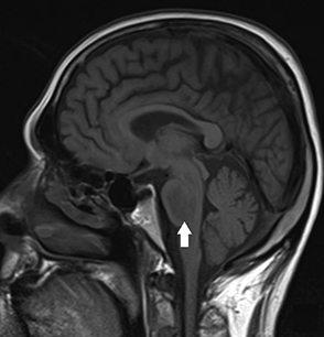
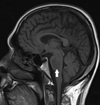
Brain magnetic resonance imaging of a patient with central pontine myelinolysis showing hypointensity within the basis pontis
BMJ Case Reports 2013; doi:10.1136/bcr-2013-009970
See this image in context in the following section/s:

Hyponatraemia
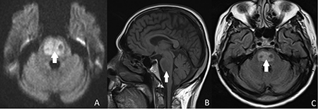
Brain magnetic resonance imaging of a patient with central pontine myelinolysis showing: (a) trident-shaped hyperintensity within the pons; (b) hypointensity within the basis pontis; and (c) hyperintense focus in the central pons
BMJ Case Reports 2013; doi:10.1136/bcr-2013-009970
See this image in context in the following section/s:

Hyponatraemia
Algorithm for the diagnosis of hypotonic hyponatraemia. SIADH, syndrome of inappropriate antidiuretic hormone
Created by BMJ Knowledge Centre
See this image in context in the following section/s:

Hyponatraemia
Potential aetiologies of hypotonic hyponatraemia based on volume status of patient. CNS, central nervous system; SIADH, syndrome of inappropriate antidiuretic hormone
Produced by the BMJ Knowledge Centre; adapted from algorithm supplied by Dr J. Veis
See this image in context in the following section/s:

Hyponatraemia
Aetiologies of hypotonic hyponatraemia (serum osmolality <275 mmol/kg). SIADH, syndrome of inappropriate antidiuretic hormone
Produced by the BMJ Knowledge Centre
See this image in context in the following section/s:
Use of this content is subject to our disclaimer