Complications
A potential major consequence of hyponatraemia.
Rapid changes in serum sodium concentration can cause severe, permanent, and sometimes lethal brain injury.[49]
If hyponatraemia develops acutely (i.e., in <48 hours), the brain does not have time to adapt and cerebral oedema occurs, leading to symptoms of nausea, vomiting, altered mental status, and eventually seizures and/or brain herniation and death.[2]
This is a medical emergency requiring prompt infusion of hypertonic 3% saline.[5]
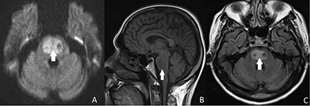
Osmotic demyelination syndrome can lead to permanent neurological dysfunction.[3]
Characterised by altered mental status and/or reduced motor functioning and abnormalities of balance.
Diagnosis is confirmed on brain magnetic resonance imaging, which shows typical lesions in the pons, thalamus, or other areas of white matter.[Figure caption and citation for the preceding image starts]: Brain magnetic resonance imaging of a patient with central pontine myelinolysis showing: (a) trident-shaped hyperintensity within the pons; (b) hypointensity within the basis pontis; and (c) hyperintense focus in the central ponsBMJ Case Reports 2013; doi:10.1136/bcr-2013-009970 [Citation ends].
Can be prevented by using a slow rate of serum sodium correction (i.e., <8 mmol/L/day).[24]
If overcorrection occurs, administering free water to reduce sodium back to the desired level has been shown to reduce the risk of osmotic demyelination in animal studies.[2]
Use of this content is subject to our disclaimer