Images and videos
Images

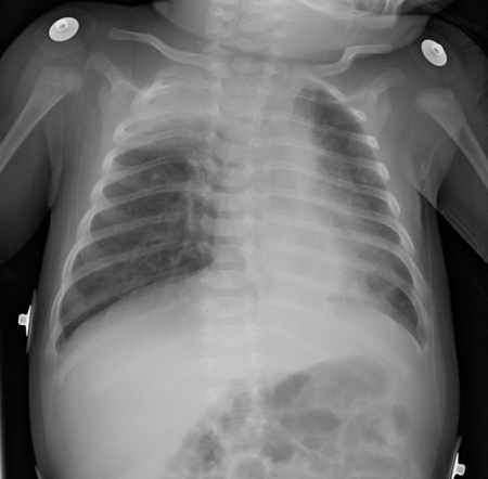
Respiratory syncytial virus infection
Air trapping and peribronchial cuffing
From the personal collections of Melvin L. Wright, DO and Giovanni Piedimonte, MD; used with permission
See this image in context in the following section/s:

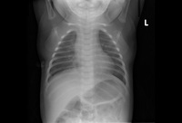
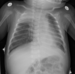
Respiratory syncytial virus infection
Atelectasis
From the personal collections of Melvin L. Wright, DO and Giovanni Piedimonte, MD; used with permission
See this image in context in the following section/s:
Use of this content is subject to our disclaimer