Images and videos
Images

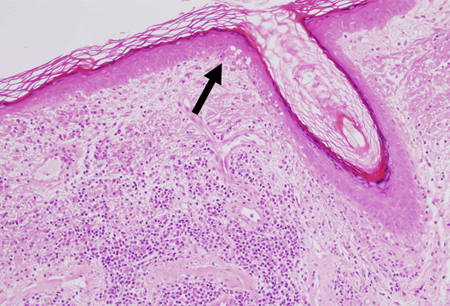
Discoid lupus erythematosus
Skin biopsy showing hyperkeratosis, thinning of the epidermis, degeneration of the basal layer of the epidermis (arrow), and a predominantly lymphocytic inflammatory cell infiltrate in the dermis
From the collection of Dr K. Blessing, used with permission
See this image in context in the following section/s:
Use of this content is subject to our disclaimer