Images and videos
Images

Cerebral arteriovenous malformation
Consolidation of the Spetzler-Martin grading system into the Spetzler-Ponce grading system
Created by the BMJ Knowledge Centre
See this image in context in the following section/s:

Cerebral arteriovenous malformation
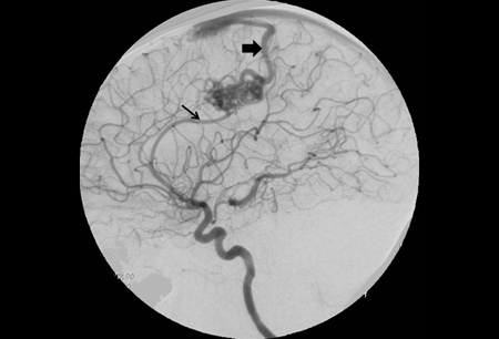
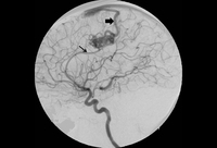
Cerebral angiogram (left carotid artery injection, lateral view) showing posterior frontal arteriovenous malformation fed by pericallosal artery (thin arrow) with arterialised draining vein (thick arrow) draining to superior sagittal sinus
From the collection of Mr R. J. Edwards; used with permission
See this image in context in the following section/s:

Cerebral arteriovenous malformation
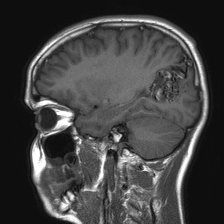
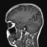
Unruptured left parieto-occipital arteriovenous malformation (sagittal T1-weighted magnetic resonance imaging scan)
From the collection of Mr R. J. Edwards; used with permission
See this image in context in the following section/s:

Cerebral arteriovenous malformation
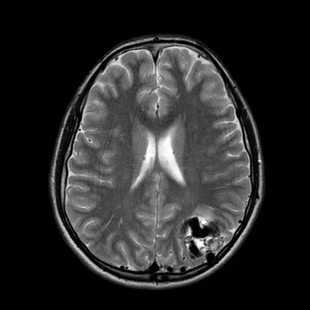
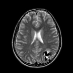
Unruptured left parieto-occipital arteriovenous malformation (axial T2-weighted magnetic resonance imaging scan)
From the collection of Mr R. J. Edwards; used with permission
See this image in context in the following section/s:

Cerebral arteriovenous malformation
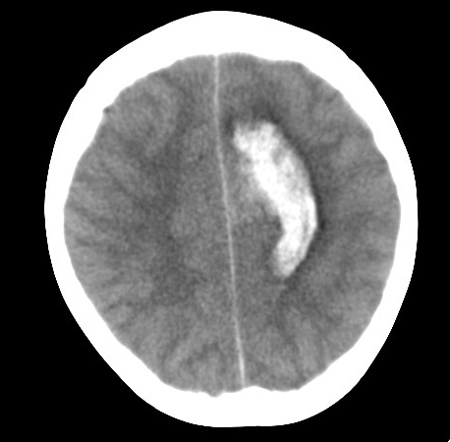
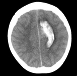
Left posterior frontal intracerebral haematoma secondary to ruptured arteriovenous malformation (axial unenhanced computed tomography scan)
From the collection of Mr R. J. Edwards; used with permission
See this image in context in the following section/s:
Use of this content is subject to our disclaimer