Изображения и видео
Изображения

Коронавирусная болезнь 2019 (COVID-19)
Результаты экспресс-теста на антиген SARS-CoV-2 Innova
BMJ. 2021;374:n1637
Ознакомьтесь с этим изображением в рамках следующего раздела (разделов):

Коронавирусная болезнь 2019 (COVID-19)
Остановка сердца при COVID-19
BMJ. 2020;371:m3513
Ознакомьтесь с этим изображением в рамках следующего раздела (разделов):

Коронавирусная болезнь 2019 (COVID-19)
Предлагаемое возвращение к физической активности после COVID-19: стратификация риска для исключения признаков, указывающих на миокардит или период после острого COVID-19, и поэтапное возобновление физической активности через 7 дней после прекращения симптомов
BMJ. 2021;372:m4721
Ознакомьтесь с этим изображением в рамках следующего раздела (разделов):

Коронавирусная болезнь 2019 (COVID-19)
Рекомендации и доказательные данные о применении ингибиторов ИЛ-6 у госпитализированных пациентов с COVID-19
BMJ. 2020;370:m3379
Ознакомьтесь с этим изображением в рамках следующего раздела (разделов):

Коронавирусная болезнь 2019 (COVID-19)
Количество случаев COVID-19, еженедельно регистрируемых в регионе ВОЗ, и количество смертей в мире по состоянию на 26 июня 2022 года
Всемирная Организация Здравоохранения
Ознакомьтесь с этим изображением в рамках следующего раздела (разделов):

Коронавирусная болезнь 2019 (COVID-19)
Рекомендации о применении касиривимаба/имдевимаба у пациентов с COVID-19
BMJ. 2020;370:m3379
Ознакомьтесь с этим изображением в рамках следующего раздела (разделов):

Коронавирусная болезнь 2019 (COVID-19)
Резюме вариантов лечения ВОЗ
BMJ. 2022 Jan 13;376:o80
Ознакомьтесь с этим изображением в рамках следующего раздела (разделов):

Коронавирусная болезнь 2019 (COVID-19)
Рекомендации и доказательные данные о применении ингибиторов Янус-киназы у госпитализированных пациентов с COVID-19
BMJ. 2022 Jan 13;376:o80
Ознакомьтесь с этим изображением в рамках следующего раздела (разделов):

Коронавирусная болезнь 2019 (COVID-19)
Цикл репликации вируса
BMJ. 2020; 371:m3862
Ознакомьтесь с этим изображением в рамках следующего раздела (разделов):

Коронавирусная болезнь 2019 (COVID-19)
Мультиорганные осложнения COVID-19 и затяжной COVID. Вирус SARS-CoV-2 получает возможность проникновения в клетки различных органов через рецепторы АПФ2
BMJ. 2021;374:n1648
Ознакомьтесь с этим изображением в рамках следующего раздела (разделов):

Коронавирусная болезнь 2019 (COVID-19)
На иллюстрации изображена ультраструктурная морфология коронавируса 2, вызывающего тяжелый острый респираторный синдром (SARS-CoV-2), установленная в ходе электронной микроскопии
Центры по контролю и предупреждению заболеваний
Ознакомьтесь с этим изображением в рамках следующего раздела (разделов):

Коронавирусная болезнь 2019 (COVID-19)
Рекомендации и доказательные данные о применении ремдесивира у госпитализированных пациентов с COVID-19
BMJ. 2020;370:m3379
Ознакомьтесь с этим изображением в рамках следующего раздела (разделов):

Коронавирусная болезнь 2019 (COVID-19)
Длительный covid» на этапе первичной медицинской помощи
BMJ. 2020;370:m3026
Ознакомьтесь с этим изображением в рамках следующего раздела (разделов):

Коронавирусная болезнь 2019 (COVID-19)
Рекомендации и доказательные данные о применении кортикостероидов у госпитализированных пациентов с COVID-19
BMJ. 2020;370:m3379
Ознакомьтесь с этим изображением в рамках следующего раздела (разделов):

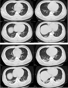
Коронавирусная болезнь 2019 (COVID-19)
Поперечная компьютерная томография 32-летнего мужчины показывает затемнение по типу матового стекла и уплотнение в нижней доле правого легкого возле плевры в 1-й день после появления симптомов (верхний снимок), а также двусторонние затемнения и консолидацию по типу матового стекла на 7-й день после появления симптомов
Ознакомьтесь с этим изображением в рамках следующего раздела (разделов):
Видео
Использование этого контента попадает под действие нашего заявления об отказе от ответственности