Методы исследования
Руководство для всех сотрудников Государственной службы здравоохранения Великобритании
ebpracticenet настоятельно рекомендовано уделить приоритетное внимание следующим местным руководствам:
Opvolging en revalidatie van patiënten met aanhoudende klachten na COVID-19 in de eerste lijnОпубликовано: KU Leuven | Werkgroep Ontwikkeling Richtlijnen Eerste Lijn (Worel)Последняя публикация: 2023Suivi et revalidation des patients présentant des symptômes persistants après la COVID-19 en première ligneОпубликовано: KU Leuven | Groupe de Travail Développement de recommmandations de première ligneПоследняя публикация: 2023Исследования, которые показаны в первую очередь
полимеразная цепная реакция с обратной транскриптазой в режиме реального времени (RT-PCR)
.
Пациентам с подозрением на инфекцию необходимо, по возможности, назначать ПЦР с обратной транскрипцией на SARS-CoV-2.[508] Стратегии тестирования сильно различаются между странами.
Ожидают, что варианты SARS-CoV-2 можно обнаружить с помощью широко используемых анализов. Впрочем, варианты могут повлиять на некоторые тесты.[551] Управление по санитарному надзору за качеством пищевых продуктов и медикаментов США предупредило, что ложно отрицательные результаты могут быть получены при любом молекулярном тесте на SARS-CoV-2, если в части генома вируса, оцениваемой этим тестом, произошла мутация. При увеличении распространенности генетических вариантов множественные генетические мишени для определения окончательного результата будут затронуты с меньшей вероятностью. Отрицательные результаты необходимо рассматривать в сочетании с клиническими наблюдениями, анамнезом пациента и эпидемиологической информацией.[701]
Молекулярный тест служит лишь как вспомогательный инструмент в диагностике. Всемирная организация здравоохранения рекомендует медицинским работникам учитывать положительный или отрицательный результат в сочетании с типом образца, клиническими наблюдениями, анамнезом пациента и эпидемиологической информацией. Если результат теста не соответствует клинической картине, следует взять новый образец и повторно протестировать его с использованием того же или другого молекулярного теста.[550]
Решения о том, у кого проводить исследование, должны основываться на клинических и эпидемиологических факторах.[508] Проконсультируйтесь с местными органами здравоохранения, поскольку приоритеты тестирования будут зависеть от местных рекомендаций и доступных ресурсов.
Всемирная организация здравоохранения рекомендует проводить тесты у всех людей, которые соответствуют определению предполагаемого случая COVID-19, независимо от статуса вакцинации или анамнеза. В случаях, когда ресурсы ограничены, приоритет следует отдавать людям, подверженным риску развития тяжелого заболевания, медицинским работникам, стационарным пациентам и лицам с первыми симптомами в условиях предполагаемой вспышки. Тестирование лиц без симптомов в настоящее время рекомендовано только для определенных групп, в том числе лиц, контактировавших с подтвержденными или предполагаемыми случаями заболевания, а также групп лиц, которые часто контактируют с потенциальными больными, таких как медицинские работники и работники учреждений длительного ухода.[552]
В Англии тестирование людей с симптомами больше не требуется. Руководство относительно тестирования и требования для его проведения различаются в странах Великобритании. Необходимо ознакомиться с местными руководствами. В Англии тестирование по-прежнему рекомендовано в следующих группах: госпитализированные пациенты с симптомами или подозрением на COVID-19 в рамках диагностики, для скрининга бессимптомных случаев, тестирование при выписке в определенных случаях и у пациентов с тяжелым иммунодефицитом; пациенты при поступлении на внеплановое лечение или до поступления для получения плановой медицинской помощи; негоспитализированные пациенты с высоким риском осложнений, которые соответствуют критериям получения противовирусных препаратов и других видов лечения COVID-19, или у которых врач требует проведения теста для поддержки клинических решений в отношении лечения; и персонал учреждений медицинской и социальной помощи для скрининга бессимптомных случаев либо в случае появления симптомов.[553][554]
В США тестирование рекомендовано следующим лицам: (1) все люди с признаками или симптомами, которые соответствуют COVID-19 (независимо от статуса вакцинации); (2) люди без симптомов с недавним известным или предполагаемым контактом с SARS-CoV-2, в том числе те, кто находился в тесном контакте (менее 2-х метров [6 футов] в течение в целом 15 минут и более чем за 24-часовой период) с человеком с подтвержденной инфекцией; (3) люди без симптомов без недавнего известного или предполагаемого контакта с SARS-CoV-2 с целью раннего выявления, изоляции либо профилактики заболевания (только если скрининговое обследование рекомендовано органами общественного здравоохранения).[555]
Выбор оптимального образца для испытаний зависит от клинической картины и времени с момента появления симптомов. Всемирная организация здравоохранения рекомендует использовать образцы из верхних дыхательных путей (мазки из носоглотки и/или ротоглотки) на ранней стадии инфекции, в особенности если не наблюдается симптомов или при легких симптомах, а также образцы из нижних дыхательных путей (мокрота и/или эндотрахеальный аспират или же бронхоальвеолярный лаваж у пациентов с более тяжелым течением заболевания) на позднем этапе инфекции либо у пациентов с высоким подозрением на инфекцию, у которых исследование образца из верхних дыхательных путей дало отрицательный результат. В некоторых случаях может быть рекомендовано использование других образцов (например, мазок из средней части носовой раковины, мазок из передней части ноздри, носоглоточный/назальный смыв/аспират, слюна, фекалии); обратитесь к местным руководствам.[508][563][702]
Положительный результат ПЦР с обратной транскрипцией подтверждает инфекцию SARS-CoV-2 (в контексте ограничений, связанных с анализом ПЦР-ОТ). Если результат отрицательный и по-прежнему отмечают подозрение на инфекцию (например, эпидемиологическая связь, характерные результаты рентгенографии, отсутствие другой этиологии), повторно возьмите образец и повторите исследование. Положительный результат служит подтверждением инфекции. Если второй тест отрицателен, рассмотрите возможность серологического исследования (смотрите ниже).[508]
Общую чувствительность оценивают в 87,8%, а специфичность – от 87,7 до 100%.[570]
Интерпретируйте результаты теста с осторожностью. Доказательства об использовании ПЦР-ОТ для диагностики COVID-19 все еще появляются, но все же остается неясность относительно ее эффективности и точности.[570] Не совсем понятно, всегда ли положительный результат свидетельствует о наличии способного к инфицированию вируса, в особенности при высоких значениях порогового цикла.[571][572][574][575] Оценка результата теста зависит от точности самого теста, а также от вероятности заболевания до и после тестирования.[573] Когда вероятность наличия заболевания до проведения теста низка, положительные результаты следует интерпретировать с осторожностью, и в идеале для подтверждения следует проверить второй образец.[576] Чем ниже распространенность болезни в данной популяции, тем ниже вероятность после тестирования.[577] Причиной ложно положительного результата может быть ошибка лаборатории либо перекрестная реакция с антителами, сформированными в результате текущего или предшествующего контакта с сезонной коронавирусной инфекцией человека (например, в виде простуды), и его вероятность выше при умеренной и низкой распространенности заболевания.[579][580] Предварительные оценки уровня ложно положительных результатов в Великобритании варьируют от 0,8 до 4%.[581] Было сообщено, что уровень ложноотрицательных результатов находится в пределах 2−29%.[573] В систематическом обзоре было обнаружено, что частота ложноотрицательных результатов варьировала в разных исследованиях от 1,8 до 58% (медиана 11%); впрочем, между исследованиями отмечали существенную и во основном необъяснимую гетерогенность.[582]
Существуют молекулярные экспресс-тесты. Они могут быть целесообразными для некоторых сценариев тестирования (например, когда получение результатов теста в течение 2-х часов позволит принять соответствующее решение); впрочем, доказательные данные ограничены.[596]
Также соберите мазки из носоглотки, чтобы исключить грипп и другие респираторные инфекции, в соответствии с местными рекомендациями. Важно отметить, что могут возникать сопутствующие инфекции, и положительный тест на патоген, не содержащий COVID-19, не исключает наличие COVID-19.[79]
В некоторых странах используют единичный мультиплексный анализ для диагностики и дифференцирования инфекции, вызванной вирусом гриппа А, вирусом гриппа В, респираторно-синцитиальным вирусом и SARS-CoV-2.
Результат
положительный на наличие вирусной РНК SARS-CoV-2; может быть положительным на вирусы гриппа A и B, а также других респираторных патогенов
пульсоксиметрия
.
Результаты пульсоксиметрии могут свидетельствовать о низком насыщении кислородом. Национальный институт здравоохранения и совершенствования медицинской помощи Великобритании рекомендует использовать уровни сатурации кислородом ниже 94% для взрослых (или ниже 88% для взрослых с известной дыхательной недостаточностью 2-го типа) и ниже 91% для детей при комнатном воздухе в состоянии покоя для выявления людей, которые имеют тяжелое течение заболевания.[537]
Врачи должны знать, что у пациентов с COVID-19 может развиваться «тихая гипоксия»: у этих пациентов сатурация кислородом может упасть до низких значений и повлечь за собой развитие острой дыхательной недостаточности без наличия очевидных симптомов респираторного дистресс-синдрома.[538]
Пульсоксиметрия во внебольничных условиях может быть доступна как часть удаленного наблюдения. Имеющиеся доказательства свидетельствуют о том, что наибольшую пользу от наблюдения могут получить пациенты с симптоматическим течением заболевания, возраст которых либо превышает 65, либо моложе 65 лет, и которые чрезвычайно клинически уязвимы к COVID-19. NHS England: pulse oximetry to detect early deterioration of patients with COVID-19 in primary and community care settings Opens in new window
В некоторых группах населения, в особенности у людей с более темной кожей, пульсоксиметры могут быть недостаточно точными.[539] Согласно предупреждению Управления по санитарному надзору за качеством пищевых продуктов и медикаментов США (FDA), на точность показаний пульсоксиметра может влиять множество факторов (например, плохое кровообращение, пигментация кожи, толщина кожи, температура кожи, употребление табака в настоящее время, использование лака для ногтей). FDA рекомендует учитывать ограничения точности при использовании пульсоксиметра в диагностике и принятии решений о лечении, а также по возможности использовать тенденции в показаниях с течением времени, а не абсолютные пороговые значения.[540]
Лишь небольшое количество пациентов имеет нарушения функций других органов, а это означает, что после начальной фазы острого ухудшения традиционные методы распознавания дальнейшего ухудшения (например, шкала National Early Warning Score 2 [NEWS2]) могут не помочь определить тех пациентов, у которых развивается дыхательная недостаточность.[538]
Пульсоксиметры можно использовать в домашних условиях для выявления гипоксии. В случае проведения пульсоксиметрии в домашних условиях требуется клиническая поддержка (например, в виде регулярного телефонного контакта с медицинским работником в условиях виртуального отделения). BMJ Practice Pointer: remote management of covid-19 using home pulse oximetry and virtual ward support Opens in new window
Результат
может показывать низкую сатурацию кислородом (пороговое значение зависит от местных руководств)
Определение газового состава артериальной крови
.
Назначают пациентам с тяжелым течением заболевания, как в случаях для выявления гиперкапнии либо ацидоза.
Рекомендовано пациентам с респираторным дистрессом и цианозом, у которых отмечается низкий уровень насыщения кислородом (SpO₂ < 90%).
Результат
может демонстрировать низкое парциальное давление кислорода
развернутый анализ крови
.
Назначается пациентам с тяжелым течением заболевания.
Лимфопения, лейкоцитоз, тромбоцитопения, снижение уровня эозинофилов, снижение уровня гемоглобина и высокое соотношение нейтрофилов и лимфоцитов в значительной степени связаны с тяжелым заболеванием и могут быть полезны для прогноза прогрессирования заболевания. В тяжелых случаях чаще наблюдают лимфопению и тромбоцитопению, но не лейкопению.[703]
Анемия встречается часто и может быть связана с более высоким риском смерти.[704]
Повышение показателя ширины распределения эритроцитов (при поступлении, а также с увеличением во время госпитализации) ассоциируется со значительно повышенным риском смерти у госпитализированных пациентов.[705]
У пациентов с тяжелым заболеванием значительно уменьшается абсолютное количество основных подгрупп лимфоцитов, в частности количество CD4+ и CD8+ Т-клеток.[706]
Сообщалось о тромбоцитопении поздней фазы (то есть, возникает через 3 недели и более после появления симптомов), но она встречается редко.[707]
Результат
лимфопения; лейкоцитоз; лейкопения; тромбоцитопения; пониженное количество эозинофилов; пониженный гемоглобин
комплексный биохимический анализ крови
.
Назначается пациентам с тяжелым течением заболевания.
Повышенные уровни печеночных ферментов, общего билирубина, креатинина и мочевины сыворотки, а также гипоальбуминемия в значительной степени связаны с тяжелым заболеванием и могут быть полезны для прогноза прогрессирования заболевания.[703]
О гипокалиемии сообщалось у 54% пациентов.[708] Отмечали случаи гипокальциемии, которая ассоциируется с неблагоприятным исходом.[709] Гипонатриемию наблюдали у 24% пациентов, и она ассоциируется с неблагоприятным исходом.[710] Могут наблюдаться другие электролитные нарушения.
Результат
повышенные уровни печеночных ферментов; повышенный общий билирубин; нарушение функции почек; гипоальбуминемия; дисбаланс электролитов
исследование функции щитовидной железы
.
Назначается пациентам с тяжелым течением заболевания.
У большинства пациентов отмечали более низкие уровни трийодтиронина (Т3) и нормальный или низкий уровень тиреотропного гормона (ТТГ). Впрочем, повышенный уровень ТТГ колебался в пределах 5,1–8%, в то время как низкий уровень Т3 отмечали не более чем у 28% пациентов. Результаты исследований характеризуются значительной неоднородностью.[308]
Результат
повышенный ТТГ; низкий уровень свободного Т3 или Т4
уровень глюкозы в крови
.
Назначается пациентам с тяжелым течением заболевания.
Гипергликемия натощак является независимым прогностическим фактором неблагоприятного прогноза и ассоциируется с повышенным риском смерти, независимо от того, страдает ли пациент сахарным диабетом.[711][712]
В ретроспективном когортном исследования гипогликемия также ассоциировалась с повышенной смертностью.[713]
Результат
вариабельный
коагулограмма
.
Назначается пациентам с тяжелым течением заболевания.
Повышенные уровни D-димера, фибриногена (и продуктов деградации фибрина), а также увеличение протромбинового времени в значительной степени связаны с тяжелым заболеванием и могут быть полезны для прогнозирования прогрессирования заболевания.[703][714]
Риск тяжелого заболевания и смертности соответственно в 2 и в 3 раза выше у пациентов с повышенным уровнем D-димера.[715] Пациенты с очень высокими уровнями D-димера имеют повышенный риск тромбоза.[716][717]
Увеличение международного нормализованного отношения (МНО) ассоциируется с более тяжелым заболеванием и смертью.[718]
Маркеры фактора фон Виллебранда могут повышаться, в особенности у пациентов с критическим заболеванием, и могут иметь прогностическое значение.[719]
Результат
повышенный уровень D-димера; увеличенное протромбиновое время; повышенный уровень фибриногена; увеличение МНО
сердечные биомаркеры
.
Назначается пациентам с тяжелым течением заболевания.
Повышенные миокардиальная фракция креатинкиназы (CK-MB), натрийуретический пептид типа В (BNP), N-терминальный proBNP (NT-proBNP) и тропонин ассоциируются с тяжелым течением заболевания и смертью, а также могут быть полезны для прогнозирования прогрессирования заболевания или выживания.[720]
У детей при легком течении выявляли повышенный уровень CK-MB. Значение этих данных неизвестно.[547]
Результат
может быть повышено
C-реактивный белок сыворотки
.
Назначается пациентам с тяжелым течением заболевания.
Повышенный уровень С-реактивного белка в значительной степени связан с тяжелым заболеванием и может быть полезным для прогноза прогрессирования заболевания.[703][721]
У пациентов с повышенным уровнем С-реактивного белка на момент первичного обращения к врачу с большей вероятностью выявляли острое повреждение почек, венозную тромбоэмболию, критическое заболевание и смерть во время пребывания в больнице по сравнению с пациентами с более низким уровнем.[722]
Результат
может быть повышено
определение скорости оседания эритроцитов
Результат
может быть повышено
лактатдегидрогеназа сыворотки
.
Назначается пациентам с тяжелым течением заболевания.
Повышенный уровень лактатдегидрогеназы в значительной степени связан с тяжелым заболеванием и может быть полезным для прогноза прогрессирования заболевания.[703]
Результат
может быть повышено
уровень интерлейкина (IL) в сыворотке
.
Назначается пациентам с тяжелым течением заболевания.
Повышенный уровень интерлейкина-6 в значительной степени связан с тяжелым заболеванием и может быть полезным для прогноза прогрессирования заболевания.[703]
У детей он повышен реже.[723]
Повышение уровней в сыворотке других типов интерлейкинов (например, IL-1 бета, IL-1Ra, IL-2R, IL-4, IL-6, IL-8, IL-10, IL-18) также ассоциируется с тяжелым заболеванием и смертностью.[724]
Результат
может быть повышено
сывороточный прокальцитонин
.
Назначается пациентам с тяжелым течением заболевания.
Повышенный уровень сывороточного прокальцитонина в значительной степени связан с тяжелым заболеванием и может быть полезным для прогноза прогрессирования заболевания.[703]
Повышенный уровень сывороточного прокальцитонина чаще наблюдают у детей.[725]
Может быть повышен у пациентов с вторичной бактериальной инфекцией.[31][32]
Нет достаточных доказательств, чтобы рекомендовать рутинное тестирование на прокальцитонин для принятия решений о применении антибиотиков. Тем не менее оно может быть полезно для определения наличия бактериальной инфекции, хотя достоверное пороговое значение прокальцитонина неизвестно.[537]
Результат
может быть повышено
уровень ферритина в сыворотке крови
.
Назначается пациентам с тяжелым течением заболевания.
Повышенный уровень ферритина в значительной степени связан с тяжелым заболеванием и может быть полезным для прогнозирования прогрессирования заболевания.[726]
Может указывать на развитие синдрома высвобождения цитокинов.[727]
Результат
может быть повышено
уровень амилоида А в сыворотке крови
сывороточная креатинкиназа и миоглобин
.
Назначается пациентам с тяжелым течением заболевания.
Повышенный уровень сывороточной креатинкиназы и миоглобина в значительной степени связан с тяжелым заболеванием и может быть полезным для прогноза прогрессирования заболевания.[703]
Результат
может быть повышено
бактериологическое исследование крови и мокроты
.
Возьмите образцы крови и мокроты для бактериологического исследования у пациентов с тяжелым или критическим заболеванием, чтобы исключить другие причины инфекции нижних дыхательных путей и сепсиса, особенно у пациентов с нетипичным эпидемиологическим анамнезом.[79]
Образцы следует собирать до начала эмпирической антибактериальной терапии, если это возможно.
Результат
результат отрицательный на наличие бактериальной инфекции
рентгенография органов грудной клетки
.
Назначают всем пациентам с подозрением на пневмонию.
Приблизительно у 74% пациентов на момент установления диагноза результаты рентгенографии органов грудной клетки не соответствуют норме. Наиболее распространенными отклонениями являются затемнение по типу матового стекла (29%) и уплотнение (28%). Распространение обычно двустороннее, периферическое, с преобладанием базальной зоны. Пневмоторакс и плевральный выпот встречается редко. На рентгенографии органов грудной клетки отсутствует единый признак, который можно рассматривать как диагностический для COVID-19.[605]
Рентгенография органов грудной клетки имеет умеренную чувствительность и умеренную специфичность в отношении диагностики COVID‐19. Совокупные результаты показали, что на основании рентгенографии органов грудной клетки инфекция COVID-19 была правильно диагностирована у 80,6% людей, у которых было это заболевание. Впрочем, это исследование привело к ошибочному определению COVID‐19 у 28,5% людей, у которых заболевания не было.[606]
Хотя рентгенография органов грудной клетки имеет, вероятно, более низкую чувствительность по сравнению с КТ, она имеет преимущества в виде меньшей ресурсоемкости, меньших доз облучения, портативности, а также ее легче последовательно повторять.[607]
Результат
затемнение по типу матового стекла; уплотнение
Исследования, проведение которых нужно рассмотреть
компьютерная томография (КТ) органов грудной клетки
.
Рассмотрите возможность КТ органов грудной клетки. Обратитесь к местным рекомендациям, чтобы определиться, проводить ли КТ. British Society of Thoracic Imaging (BSTI) рекомендует КТ-визуализацию пациентам с клиническим подозрением на COVID-19, которые тяжело больны, но рентгенография органов грудной клетки которых неопределенная или нормальная. BSTI: radiology decision tool for suspected COVID-19 Opens in new window Некоторые институты в Великобритании рекомендуют более прагматичный подход для пациентов с высоким клиническим подозрением на COVID-19, при котором КТ органов грудной клетки рекомендована только после двух неоднозначных или нормальных рентгенограмм ОГК в сочетании с отрицательным тестом ПЦР-ОТ.[609] Американский колледж радиологии рекомендует выполнять КТ госпитализированным пациентам с симптомами со специфическими клиническими показаниями к КТ, а также подчеркивает, что нормальная КТ органов грудной клетки не означает, что у пациента нет COVID-19 и что аномальная картина КТ органов грудной клетки не является специфической для диагностики COVID-19.[610]
КТ органов грудной клетки характеризуется чувствительностью и умеренной специфичностью в отношении диагностики COVID‐19. Совокупные результаты показали, что на основании КТ органов грудной клетки инфекция COVID-19 была правильно диагностирована у 87,9% людей, у которых было это заболевание. Впрочем, это исследование привело к ошибочному определению COVID‐19 у 20% людей, у которых заболевания не было. Таким образом, КТ органов грудной клетки может быть полезнее для исключения инфекции COVID‐19, чем для ее дифференцирования от других причин заболеваний дыхательных путей.[606] Среди детей точность ниже; однако данные об этой группе населения ограничены[608]
У некоторых пациентов доказательства пневмонии на КТ могут предшествовать положительному результату ПЦР-ОТ на предмет SARS-CoV-2.[611] В отдельных больных рентгенография ОГК может быть в норме, несмотря на положительную ПЦР-ОТ.[612] Результаты анализа ПЦР-ОТ могут быть ложно отрицательными, поэтому пациентам с типичными КТ-признаками для подтверждения диагноза нужно проводить повторную ПЦР-ОТ.[613] У пациентов без симптомов результаты КТ могут демонстрировать наличие определенных нарушений. Совокупная частота положительных результатов КТ органов грудной клетки в бессимптомных случаях составила 47,6% (главным образом затемнение по типу матового стекла).[614]
Аномальные результаты КТ органов грудной клетки были зафиксированы у 97% госпитализированных пациентов.[616] Самыми распространенными находками являются поражения по типу матового стекла – как отдельно, так и в сочетании с другими находками, в частности уплотнением, утолщением междолевой перегородки или картины «булыжной мостовой». Наиболее распространенной картиной является двустороннее, периферическое/субплевральное затемнение и затемнение задних участков с преобладанием поражения нижних долей. У пациентов пожилого возраста и пациентов с тяжелым заболеванием чаще наблюдаются обширные/мультилобарные поражения с уплотнениями. К атипичным проявлениям относят расширение легочных сосудов, утолщение междолевых или внутридолевых перегородок, утолщение прилегающей плевры, воздушные бронхограммы, субплевральные линии, картина по типу «булыжной мостовой», искривление бронхов, бронхоэктазы, признак вакуумной ретракции и признак ореола. Также редко наблюдались выпот в плевральной полости, перикардиальный выпот, кавитации, пневмоторакс и медиастинальная лимфаденопатия.[617] Затемнение по типу матового стекла имеет наибольшую диагностическую ценность при пневмонии, вызванной COVID-19, за ним следует затемнение по типу матового стекла плюс уплотнение и уплотнение отдельно.[618]
У детей результаты КТ органов грудной клетки часто соответствуют норме либо отмечаются незначительные патологические изменения. Наиболее частыми признаками у детей являются затемнение по типу матового стекла, неспецифические очаговые затемнения, участки уплотнений, инфицированные узлы и симптом нимба. Чаще патологические изменения наблюдаются во множестве долей и в основном являются односторонними. Плевральный выпот встречается редко.[621][730] Затемнение по типу матового стекла и перибронхиальное утолщение наиболее часто выявляли у детей младше 1 года.[622]
КТ как правило показывает увеличение размера, количества и плотности затмений по типу матового стекла на раннем этапе наблюдения, после чего наблюдается прогрессирование к смешанным участкам затмений по типу матового стекла, уплотнений и картины "булыжной мостовой" с пиком на 10-11 день, а затем поражения постепенно исчезают или персистируют в виде пятнистого фиброза.[617]
В одном метаанализе положительное прогностическое значение было низким (1,5–30,7%) в регионах с низкой распространенностью, а отрицательное прогностическое значение варьировало от 95,4 до 99,85%. Общая чувствительность и специфичность была 94–96% и 37% соответственно.[731][732] Одновременное выявление затемнений по типу матового стекла и других признаков вирусной пневмонии эффективно использовали при выявлении COVID-19 (чувствительность составляет 90%, специфичность – 89%).[619]
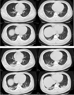
КТ более чувствительна, чем ПЦР с обратной транскрипцией, при обнаружении COVID-19, но имеет очень низкую специфичность.[733] В когорте из более 1000 пациентов в гиперэндемичном регионе Китая КТ органов грудной клетки имела более высокую чувствительность для диагностики COVID-19 по сравнению с начальной ПЦР-ОТ образцов мазка (88% в сравнении с 59%). Улучшение картины КТ также предшествовало изменению позитивного результата ПЦР-ОТ на негативный в этой когорте пациентов во время выздоровления. Чувствительность КТ органов грудной клетки составила 97% у пациентов, которые в конечном итоге имели положительные результаты ПЦР-ОТ. Однако в этом случае у 75% пациентов с отрицательными результатами ПЦР-ОТ также отмечались положительные признаки на КТ органов грудной клетки. Из этих пациентов 48% рассматривались как наиболее вероятные случаи, в то время как 33% – как возможные случаи.[734][Figure caption and citation for the preceding image starts]: Поперечная компьютерная томография 32-летнего мужчины показывает затемнение по типу матового стекла и уплотнение в нижней доле правого легкого возле плевры в 1-й день после появления симптомов (верхний снимок), а также двусторонние затемнения и консолидацию по типу матового стекла на 7-й день после появления симптомов [Citation ends].
Результат
поражения по типу матового стекла – как отдельно, так и в сочетании с другими находками (уплотнением, утолщением междолевой перегородки или картины «булыжной мостовой») двустороннее, периферическое/субплевральное затемнение и затемнение задних участков с преобладанием поражения нижних долей
экспресс-тест для определения антигена
.
Основан на прямом определении вирусных белков SARS-CoV-2 в образцах из верхних дыхательных путей или же слюны с помощью экспресс-тестов. Обычно результаты готовы в течение 30 минут. Исследования на антигены значительно менее чувствительны, чем ПЦР с обратной транскрипцией, особенно у бессимптомных людей, однако в соответствующих условиях они дают возможность быстро и недорого определить большинство случаев инфицирования на раннем этапе.[590]
Международные рекомендации по использованию экспресс-тестов на антиген варьируют. Необходимо ознакомиться с местными руководствами.
Всемирная организация здравоохранения рекомендует антигенные тесты для использования у симптоматических людей, которые соответствуют определению случая в первые 5–7 дней появления симптомов, и для тестирования бессимптомных людей с высоким риском заражения, включая контактных лиц и медицинских работников, особенно в условиях, где возможности молекулярного тестирования ограничены. Тесты должны соответствовать минимальным требованиям к эффективности: чувствительность ≥80% и специфичность ≥97% по сравнению с эталонным анализом ПЦР-ОТ. Результаты наиболее достоверные в регионах, где передача инфекции продолжается.[590] Самотестирование следует предлагать в дополнение к тестированию, выполняемому специалистами. Оно всегда должно быть добровольным и ни в коем случае не обязательным или принудительным.[591]
В Великобритании экспресс-тесты на антиген рекомендовано проводить в определенных ситуациях, в том числе: перед посещением людей с повышенным риском тяжелого заболевания; у лиц, контактировавших с подтвержденным случаем, которым не нужно самоизолироваться; и у людей, которые в определенный день будут находиться в ситуациях повышенного риска (например, в людных и закрытых помещениях или в условиях ограниченного поступления свежего воздуха).[592]
В США Общество инфекционных болезней Америки рекомендует тестирование на антиген у некоторых людей только в случаях, когда молекулярное исследование недоступно или невозможно с технической точки зрения, отмечая, что общее качество имеющихся доказательств в поддержку его использования оценивают от очень низкого до умеренного.[593] Центры по контролю и профилактике заболеваний США рекомендуют использовать тесты на антигены в местах скопления людей и вне медицинских учреждений; впрочем, может потребоваться подтверждающее молекулярное исследование.[594] Управление по санитарному надзору за качеством пищевых продуктов и медикаментов США предупреждает о возможности получения ложно положительных результатов тестов на антиген, включая ситуации, когда пользователи не следуют инструкциям по использованию, а также об увеличении количества ложно положительных результатов со снижением распространенности заболевания.[595] Агентство также рекомендует не использовать определенные тесты в связи с вопросами эффективности.[735]
В Кокрановском обзоре было обнаружено, что экспресс-тесты для определения антигена обладают различной чувствительностью. Чувствительность была выше в первую неделю после появления симптомов у людей с симптомами (78,3%) по сравнению со второй неделей после появления симптомов (51%). Чувствительность была выше у пациентов с пороговыми значениями цикла ПЦР-ОТ ≤25 (94,5%), по сравнению с теми, у которых пороговые значения цикла >25 (40,7%). Чувствительность была выше у людей с симптомами (72%) по сравнению с людьми без симптомов (58,1%). Чувствительность тестов различных брендов также различалась. Прогностичность положительного результата свидетельствует о том, что в условиях низкой распространенности можно рассматривать возможность проведения подтверждающих тестов у лиц с положительными результатами. Доказательные данные о тестировании групп пациентов без симптомов ограничены, и ни в одном исследовании не оценивали точность повторного ИФА на тест-полосках или самотестирования.[596]
Экспресс-тесты на антиген являются надежным диагностическим инструментом для быстрого выявления людей с высокой вирусной нагрузкой, а также в первую неделю после появления симптомов, кроме того, они могут помочь обнаружить и изолировать потенциальных суперраспространителей заболевания до получения результатов ПЦР-ОТ. Впрочем, тестирование не позволяет выявить людей с более низкой вирусной нагрузкой и пациентов без симптомов.[600][601]
Экспресс-тесты на антиген методом ИХА для домашнего использования в некоторых странах доступны без рецепта.[736]
В некоторых странах также доступны лабораторные (не экспресс) тесты на антигены.
BMJ: interpreting a lateral flow SARS-CoV-2 antigen test Opens in new window
Результат
положительный результат на антиген вируса SARS-CoV-2
серологическое исследование
.
Важно: положительный тест на спайковый белок IgM или IgG может указывать либо на предшествующую инфекцию, либо на предшествующую вакцинацию вакциной против COVID-19. Чтобы выполнить оценивание на предмет предшествующей инфекции у человека, получившего вакцину, следует использовать тест, который определяет IgM или IgG к нуклеокапсидному белку. Положительный результат исследования на нуклеокапсидный белок указывает на перенесенную инфекцию.
Нельзя использовать как единственное диагностическое исследование на острую инфекцию; впрочем, он может быть целесообразным в определенных условиях (например, при отрицательном результате молекулярных исследований, в диагностике пациентов с поздним обращением или же длительными симптомами, исследованиях эпиднадзора).[508][584]
BMJ practice pointer: testing for SARS-CoV-2 antibodies Opens in new window
Всемирная организация здравоохранения (ВОЗ) рекомендует отбирать парные образцы сыворотки, один образец в острую фазу и один – на этапе выздоровления через 2–4 недели, у пациентов с сильным подозрением на инфекцию и отрицательным результатом ПЦР с обратной транскрипцией. Сероконверсия или повышение титров антител в парных образцах сыворотки помогают подтвердить, развилась ли инфекция недавно и/или является ли она острой. Если исследование первоначального образца дает положительный результат, это может быть связано с перенесенной в прошлом инфекцией, не связанной с текущим заболеванием. Сероконверсия может протекать быстрее и быть более устойчивой у пациентов с тяжелым заболеванием, по сравнению с пациентами с легкой формой заболевания или бессимптомной инфекцией.[508]
Центры контроля и профилактики заболеваний США рекомендуют серологический анализ в качестве метода для подтверждения диагноза заболевания либо осложнений в следующих ситуациях: положительный результат исследования на антитела по крайней мере через 7 дней после начала острого заболевания у людей с предыдущим отрицательным результатом исследования на антитела (то есть, с сероконверсией), у которых не был получен положительный результат теста на наличие вируса, может указывать на инфекцию SARS-CoV-2 между датами отрицательного и положительного результата исследования на антитела; положительный результат исследования на антитела может помочь в подтверждении диагноза, когда пациенты обращаются с осложнениями заболевания COVID-19, такими как мультисистемный воспалительный синдром и другие последствия COVID-19.[585]
Американское общество специалистов по инфекционным болезням рекомендует проводить серологические исследования в таких условиях: обследование пациентов с высоким клиническим подозрением на инфекцию при отрицательном результате молекулярного диагностического исследования, когда с момента появления симптомов прошло не менее 2-х недель; обследование на предмет мультисистемного воспалительного синдрома у детей; исследования эпидемиологического надзора по данным серологического скрининга.[586]
Выработка антител к SARS-CoV-2 обычно происходит в течение первых 1−3 недель заболевания, при этом сероконверсия антител IgG часто наступает раньше, чем IgМ.[587][588]
Оценочная чувствительность тестов на антитела варьировала от 18,4 до 96,1% (самая низкая зарегистрированная чувствительность была получена в случае проведения теста в месте оказания медицинской помощи, хотя для одного лабораторного теста сообщалось о чувствительности <50%), а специфичность – от 88,9 до 100%. Оценивание диагностической точности следует интерпретировать с осторожностью в связи с отсутствием окончательного референтного стандарта для диагностирования либо исключения COVID-19[570]
Ограничения исследования: серологические тесты не могут использовать для определения острой инфекции; результаты не указывают на наличие или отсутствие инфекции в настоящее время или в прошлом; надежное установление диагноза часто возможно только на этапе выздоровления, когда возможности для лечения или предотвращения передачи уже были исчерпаны; перекрестная реактивность с другими коронавирусами, что может привести к ложно положительным результатам.[508][585]
Несмотря на то, что наборы для быстрого выявления антител были утверждены в Европе и в США для качественного определения антител IgG/IgM к SARS-CoV-2 в сыворотке, плазме или в цельной крови, ВОЗ не рекомендует использование этих тестов, кроме как в рамках исследований, поскольку они еще не прошли валидацию.[602]
Результат
результат положительный с обнаружением антител к вирусу SARS-CoV-2; сероконверсия или повышение титров антител в парных образцах сыворотки
Неотложные исследования
УЗИ легких
.
В некоторых центрах в качестве альтернативы рентгенографии ОГК и КТ органов грудной клетки используют УЗИ легких. Хотя доказательства его диагностической точности имеют очень низкую достоверность, оно может быть полезным в качестве дополнительного либо альтернативного метода визуализации.[607]
Ультразвуковое исследование обладает чувствительностью и не обладает специфичностью в отношении диагностики COVID‐19. Совокупные результаты показали, что на основании ультразвукового исследования легких инфекция COVID-19 была правильно диагностирована у 86,4% людей, у которых было это заболевание. Впрочем, это исследование привело к ошибочному диагностированию COVID‐19 у 45% людей, у которых заболевания не было. Таким образом, ультразвуковое исследование может быть полезнее для исключения инфекции COVID‐19, чем для ее дифференцирования от других причин заболеваний дыхательных путей.[606] Он также может быть полезен для сортировки в отделении неотложной помощи.[737]
Чаще всего при COVID-19 выявляют В-линии (сливающиеся или разделенные, обычно не менее 3-х) и плевральные патологии с двусторонним распространением. К другим признакам относятся уплотнения, плевральный выпот, воздушная бронхограмма и пневмоторакс.[623] Хотя эти признаки не являются специфическими для COVID-19, в контексте характерной клинической картины они повышают вероятность заболевания.
Имеет преимущества в плане портативности, возможности выполнения у постели больного, снижении контакта с медицинскими работниками, простой процедуры стерилизации, отсутствии радиации и возможности повторного исследования при наблюдении. Также в случае ограниченных ресурсов метод может быть более доступным. Однако оно также имеет и ограничения (например, невозможность различить хронические поражения), поэтому могут потребоваться другие способы визуализации. Может применяться у беременных женщин и детей.[624][625][626]
Возможная значимость охватывает: снижение внутрибольничной передачи; наблюдение за прогрессом пациентов; также его роль возможная в подгруппах, которые уязвимы, но не подходят для КТ (например, беременные женщины).[627] УЗИ легких может иметь значение для определения прогноза.[628]
BSTI: lung ultrasound (LUS) for COVID-19 patients in critical care areas Opens in new window
Результат
B-линии; патологии плевры
петлевая изотермическая амплификация с обратной транскрипцией (RT-LAMP)
.
Процесс похож на RT-PCR, но используются постоянные температуры и выделяется больше вирусной ДНК по сравнению с RT-PCR. Несмотря на простоту и быстроту, это более новая технология, и доказательств ее использования меньше. Тесты на SARS-CoV-2 разработаны и проходят экспертизу.[629][630][631]
Петлевая изотермическая амплификация, совмещенная с обратной транскрипцией, является надежным анализом, сравнимым с ПЦР-ОТ, особенно при средней и высокой вирусной нагрузке (то есть, пороге цикла <35), особенно в условиях ограниченных ресурсов.[632] Чувствительность составляет 95,5%, а специфичность – 99,5%.[633]
Тест-система для домашнего использования, которая позволяет получить результаты всего в течение 30 минут, была одобрена в США в рамках разрешения на экстренное применение для самостоятельного тестирования дома с возможностью быстрого получения результатов.[738]
Результат
положительная на ДНК вируса SARS-CoV-2
CRISPR-диагностика
.
Для определения РНК вируса SARS-CoV-2 разработаны диагностические методы на основе кластерных коротких палиндромных повторов, разделенных регулярными промежутками (CRISPR). Эти простые молекулярные тесты с высокой производительностью имеют преимущество предоставления результатов менее чем за 1 час, могут быть использованы с различными образцами и характеризуются высокой специфичностью/чувствительностью (аналогично ПЦР-ОТ).[634][635][636]
Управление по санитарному надзору за качеством пищевых продуктов и медикаментов США предоставило разрешение на экстренное использование различных тестов на основе CRISPR.
Результат
положительная на ДНК вируса SARS-CoV-2
анализаторы состава выдыхаемого воздуха
.
Анализ выдыхаемого воздуха обладает потенциалом в диагностике COVID-19 путем определения летучих органических соединений в выдыхаемом воздухе.[637]
Управление по санитарному надзору за качеством пищевых продуктов и медикаментов США (FDA) выдало ускоренное разрешение на использование первого диагностического теста на COVID-19, который выявляет химические соединения в образцах выдыхаемого воздуха, связанные с инфекцией SARS-CoV-2. Тест показал чувствительность 91,2% и специфичность 99,3% в одном спонсируемом компанией исследовании 2409 участников, включая людей с симптомами и без них.[638] Однако в настоящее время тест имеет множество ограничений (например, размер прибора, количество образцов, которые можно обработать, отсутствие доказательств в пользу этого метода диагностики, наличие других заболеваний или же употребление продуктов питания/напитков, которые могут повлиять на результат, результат теста является предположительным и требует подтверждения); требуются дополнительные исследования.
Результат
результат положительный
кальпротектин
.
Кальпротектин – это новый биомаркер, который представляет интерес. Уровни кальпротектина часто повышаются после инфекции либо травмы, а также при воспалительном заболевании. Было продемонстрировано, что уровни кальпротектина в сыворотке/фекалиях значительно повышены у пациентов с COVID-19 при тяжелом течении заболевания, и это может иметь прогностическое значение.[639][640]
Результат
уровень повышен
Использование этого контента попадает под действие нашего заявления об отказе от ответственности