Imagens e vídeos
IMAGENS

Avaliação de massa mediastinal
Vista intraoperatória de cisto pericárdico
Dos acervos do Dr. Mario Gasparri e do Dr. Nicholas Choong
Veja esta imagem em contexto nas seguintes seções:

Avaliação de massa mediastinal
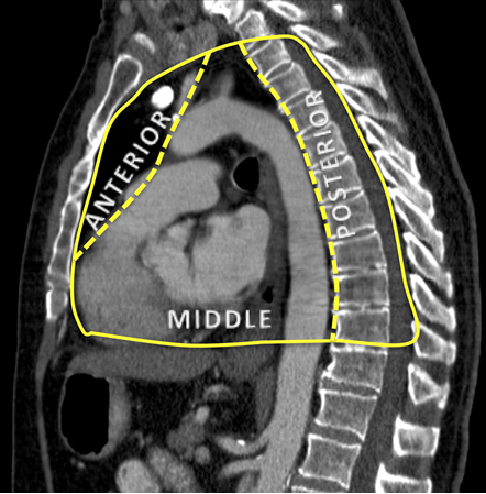
Compartimentos anatômicos do mediastino.
Do acervo de Dr. Muniappan
Veja esta imagem em contexto nas seguintes seções:

Avaliação de massa mediastinal
Vista intraoperatória de bócio retroesternal
Dos acervos do Dr. Mario Gasparri e do Dr. Nicholas Choong
Veja esta imagem em contexto nas seguintes seções:

Avaliação de massa mediastinal
Etiologia de massa mediastinal limitada por localização
Criado pelo BMJ Evidence Centre
Veja esta imagem em contexto nas seguintes seções:

Avaliação de massa mediastinal
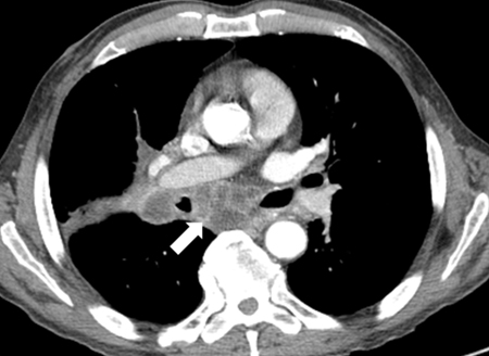
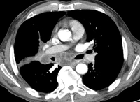
Linfadenopatia necrótica mediastinal
Dos acervos do Dr. Mario Gasparri e do Dr. Nicholas Choong
Veja esta imagem em contexto nas seguintes seções:

Avaliação de massa mediastinal
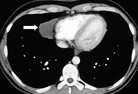
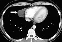
Imagem de tomografia computadorizada (TC) de cisto pericárdico
Dos acervos do Dr. Mario Gasparri e do Dr. Nicholas Choong
Veja esta imagem em contexto nas seguintes seções:

Avaliação de massa mediastinal
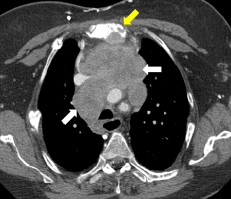
Imagem por tomografia computadorizada (TC) de grande carcinoma tímico (seta branca) com invasão esternal (seta amarela)
Dos acervos do Dr. Mario Gasparri e do Dr. Nicholas Choong
Veja esta imagem em contexto nas seguintes seções:
O uso deste conteúdo está sujeito ao nosso aviso legal