Imagens e vídeos
IMAGENS

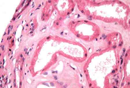
Necrose tubular aguda
Áreas focais de vacuolização tubular proximal e achatamento. Dilatação tubular. Debris da borda em escova em alguns lúmens tubulares
Cortesia da Puigvert Foundation, Barcelona, Espanha
Veja esta imagem em contexto nas seguintes seções:

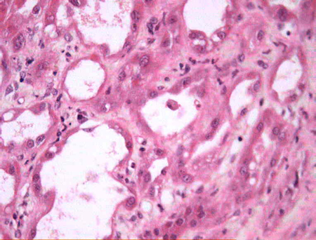
Necrose tubular aguda
Membranas basais desnudadas e presença de células no lúmen tubular
Cortesia da Puigvert Foundation, Barcelona, Espanha
Veja esta imagem em contexto nas seguintes seções:
O uso deste conteúdo está sujeito ao nosso aviso legal