Imagens e vídeos
IMAGENS

Avaliação de gamopatias monoclonais
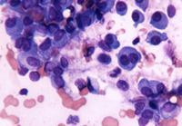
Plasmócitos monoclonais
Do acervo pessoal do Dr. Kumar
Veja esta imagem em contexto nas seguintes seções:

Avaliação de gamopatias monoclonais
Eletroforese de proteínas séricas
Do acervo pessoal do Dr. Kumar
Veja esta imagem em contexto nas seguintes seções:

Avaliação de gamopatias monoclonais
Doença óssea no mieloma
Do acervo pessoal do Dr. Kumar
Veja esta imagem em contexto nas seguintes seções:

Avaliação de gamopatias monoclonais
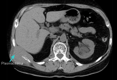
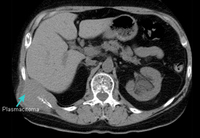
Plasmacitoma
Do acervo pessoal do Dr. Kumar
Veja esta imagem em contexto nas seguintes seções:

Avaliação de gamopatias monoclonais
Estrutura de uma imunoglobulina
Do acervo pessoal do Dr. Kumar
Veja esta imagem em contexto nas seguintes seções:
O uso deste conteúdo está sujeito ao nosso aviso legal