Imagens e vídeos
IMAGENS

Avaliação da cianose neonatal
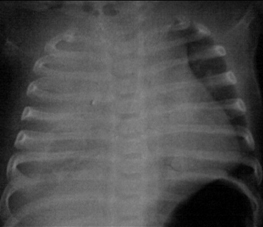
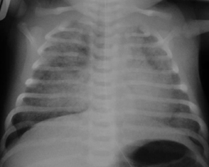
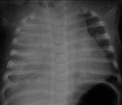
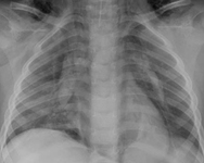
Taquipneia transitória do neonato (síndrome do desconforto respiratório tipo 2): estrias peri-hilares e fluido na fissura horizontal à direita
Do acervo de Ponthenkandath Sasidharan, MD; usado com permissão
Veja esta imagem em contexto nas seguintes seções:

Avaliação da cianose neonatal
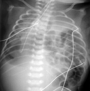
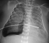
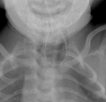
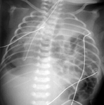
Fístula traqueoesofágica: sonda orogástrica torcida no esôfago
Do acervo de Ponthenkandath Sasidharan, MD; usado com permissão
Veja esta imagem em contexto nas seguintes seções:

Avaliação da cianose neonatal
Malformação congênita da via aérea pulmonar (CPAM; antes conhecida como malformação adenomatoide cística congênita [MACC])
Do acervo de Ponthenkandath Sasidharan, MD; usado com permissão
Veja esta imagem em contexto nas seguintes seções:

Avaliação da cianose neonatal
Hérnia diafragmática congênita
Do acervo de Ponthenkandath Sasidharan, MD; usado com permissão
Veja esta imagem em contexto nas seguintes seções:

Avaliação da cianose neonatal
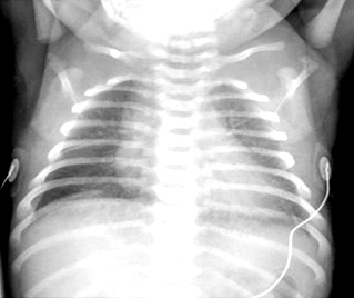
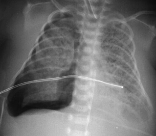
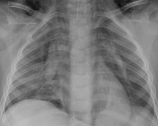
Derrame pleural (lado direito) com deslocamento mediastinal para o lado esquerdo
Do acervo de Ponthenkandath Sasidharan, MD; usado com permissão
Veja esta imagem em contexto nas seguintes seções:

Avaliação da cianose neonatal
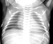
Pneumotórax (lado direito)
Do acervo de Ponthenkandath Sasidharan, MD; usado com permissão
Veja esta imagem em contexto nas seguintes seções:

Avaliação da cianose neonatal
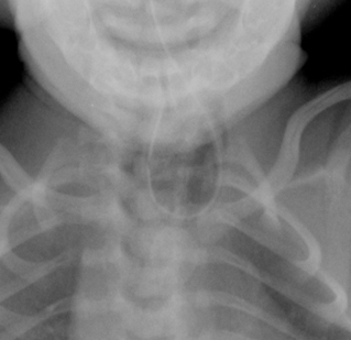
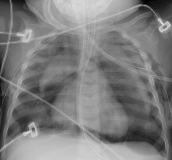
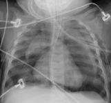
Pneumomediastino com pneumotórax (lado esquerdo)
Do acervo de Ponthenkandath Sasidharan, MD; usado com permissão
Veja esta imagem em contexto nas seguintes seções:

Avaliação da cianose neonatal
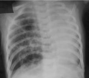
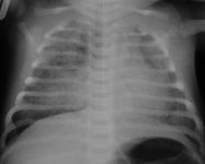
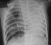
Doença da membrana hialina (síndrome do desconforto respiratório tipo 1): broncogramas aéreos e um padrão retículo-granular
Do acervo de Ponthenkandath Sasidharan, MD; usado com permissão
Veja esta imagem em contexto nas seguintes seções:

Avaliação da cianose neonatal
Síndrome da aspiração meconial
Do acervo de Ponthenkandath Sasidharan, MD; usado com permissão
Veja esta imagem em contexto nas seguintes seções:

Avaliação da cianose neonatal
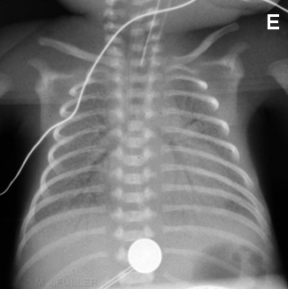
Pneumomediastino sem pneumotórax
Do acervo de Ponthenkandath Sasidharan, MD; usado com permissão
Veja esta imagem em contexto nas seguintes seções:
O uso deste conteúdo está sujeito ao nosso aviso legal