Investigações
Primeiras investigações a serem solicitadas
espirometria
Exame
O exame estabelece o VEF₁ e a CVF. A razão desses dois valores indica se há obstrução do fluxo aéreo. A gravidade da DPOC é classificada com base no VEF₁ do paciente e no percentual do seu VEF₁ predito. Nos casos em que há dificuldade para medir a CVF, pode-se usar o VEF₆ (volume expiratório forçado em 6 segundos).[67]
A espirometria deve ser realizada após administrar uma dose adequada de, pelo menos, um broncodilatador de curta ação por via inalatória para minimizar a variabilidade.[1]
Um médico de atenção primária explica como realizar a espirometria e como evitar armadilhas.
Um guia sobre como realizar e interpretar a espirometria, incluindo armadilhas comuns.
Resultado
VEF₁/CVF <0.7; a ausência total da reversibilidade não é necessária nem é o resultado mais típico
Escore de sintomas padronizados
Exame
Além da limitação do fluxo aéreo, as diretrizes da Global Initiative for Chronic Obstructive Lung Disease (GOLD) reconhecem a importância das exacerbações quanto à interferência na evolução natural da DPOC e enfatizam a avaliação dos sintomas, dos fatores de risco das exacerbações e das comorbidades.[1]
O questionário modificado do Medical Research Council (mMRC) ou o Teste de Avaliação da DPOC (CAT) são recomendados para avaliar os sintomas. A GOLD traz precauções contra o uso da escala de dispneia mMRC isoladamente para avaliar os pacientes, pois os sintomas da DPOC vão além de apenas dispneia. Por esse motivo, o CAT é preferível. No entanto, a GOLD reconhece que o uso da escala mMRC é disseminado; dessa forma, um limite de um grau ≥2 na mMRC ainda é incluído para se definirem os pacientes com "mais falta de ar" em comparação com os pacientes com "menos falta de ar" em seus critérios de avaliação.[1]
Resultado
O escore mMRC varia de 0-4; o escore CAT varia de 0-40: um escore mMRC ≥2 ou CAT ≥10 indica maior carga de sintomas
oximetria de pulso
Exame
Verificado como parte dos sinais vitais na apresentação aguda. Espera-se que o aparelho detecte uma onda de pulso razoável. Em pacientes com doença crônica, uma saturação do oxigênio de 88% a 90% pode ser aceitável.
Se <92%, deve-se verificar a gasometria arterial.[1]
Resultado
baixa saturação de oxigênio
gasometria arterial
Exame
Verificada em pacientes que estão agudamente doentes, sobretudo se tiverem uma leitura anormal da oximetria de pulso. Também deve ser realizada nos pacientes estáveis com VEF₁ <35% do predito ou com sinais clínicos sugestivos de insuficiência respiratória ou saturação de oxigênio no sangue arterial periférico ≤92%.
Hipercapnia, hipóxia e acidose respiratória são sinais de insuficiência respiratória iminente e possível necessidade de intubação.
Resultado
PaCO₂ >50 mmHg e/ou PaO₂ <60 mmHg sugerem insuficiência respiratória
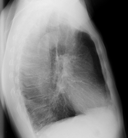
Radiografia torácica
Exame
Raramente diagnóstica, mas útil na exclusão de outras patologias e na avaliação da presença de comorbidades significativas (por exemplo, fibrose pulmonar, cardiomegalia).[1]
Pode-se verificar o aumento da proporção anteroposterior, do diafragma achatado, do aumento dos espaços intercostais e de pulmões hipertransparentes.[Figure caption and citation for the preceding image starts]: Radiografia torácica da doença pulmonar obstrutiva crônica (DPOC; vista anteroposterior): pulmão hiperinsuflado, diafragma achatado, aumento dos espaços intercostaisDo acervo de Manoochehr Abadian Sharifabad, MD [Citation ends].
[Figure caption and citation for the preceding image starts]: Radiografia torácica da DPOC (vista lateral): pulmão hiperinsuflado, diafragma achatado, aumento do diâmetro anteroposterior (tórax em tonel) na vista lateralDo acervo de Manoochehr Abadian Sharifabad, MD [Citation ends].
Pode também demonstrar complicações da DPOC, como pneumonia e pneumotórax.
Resultado
hiperinsuflação
Hemograma completo
Exame
Este teste pode ser considerado para avaliar a gravidade de uma exacerbação e pode exibir policitemia (hematócrito >55%), anemia e leucocitose. As diretrizes do Reino Unido recomendam um hemograma completo para todos os pacientes recém-diagnosticados.[2]
Resultado
hematócrito elevado, anemia, possível aumento da contagem leucocitária
Investigações a serem consideradas
testes de função pulmonar
Exame
Testes de função pulmonar detalhados realizados em laboratórios especializados em função pulmonar podem medir as curvas de fluxo-volume e a capacidade inspiratória. Eles não são usados com frequência, mas podem ajudar a resolver incertezas diagnósticas e na avaliação pré-operatória.
Antes, a capacidade de difusão do monóxido de carbono (CDCO)só era medida em laboratórios especializados; no entanto, já há sistemas portáteis disponíveis, que permitem que as medições sejam realizadas em campo. As diretrizes internacionais da GOLD recomendam a medição da CDCO se o paciente com DPOC apresentar dispneia desproporcional ao grau de obstrução do fluxo aéreo. Um valor baixo de CDCO (<60% do predito) em paciente com DPOC está associado à redução da capacidade de exercício, ao agravamento do estado de saúde e ao aumento do risco de morte.[1]
Resultado
padrão obstrutivo, CDCO reduzida (<60% do predito)
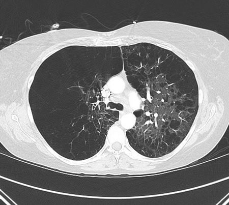
tomografia do tórax
Exame
Oferece uma melhor visualização que a radiografia torácica para o tipo e a distribuição dos danos no tecido pulmonar e formação de bolhas.[Figure caption and citation for the preceding image starts]: Tomografia computadorizada (TC) do tórax na DPOC: pulmão hiperinsuflado, alterações enfisematosas e aumento do diâmetro anteroposterior (tórax em tonel)Do acervo de Manoochehr Abadian Sharifabad, MD [Citation ends].
Em contraste com a DPOC relacionada ao tabagismo, a deficiência de alfa 1-antitripsina afeta principalmente os campos inferiores.
As diretrizes da Global Initiative for Chronic Obstructive Lung Disease (GOLD) recomendam a consideração de uma TC para pacientes com exacerbações persistentes, aqueles com sintomas que não correspondem à gravidade da doença nos testes de função pulmonar, aqueles com VEF₁ <45% do predito com hiperinsuflação significativa e aqueles que atenderem a critérios para rastreamento de câncer pulmonar.[1]
A TC de baixa dose anual é recomendada pela US Preventive Services Task Force para o rastreamento de câncer pulmonar nos pacientes com DPOC em decorrência de tabagismo.[72]
Resultado
hiperinsuflação
medição seriada do pico do fluxo
Exame
Pode ser usada para descartar asma em caso de incerteza diagnóstica.[2]
Resultado
<20% de variabilidade diurna ou diária
cultura de escarro
Exame
Em pacientes com exacerbações frequentes, limitação intensa do fluxo aéreo e/ou exacerbações que necessitam de ventilação mecânica, deve-se enviar o escarro para cultura.[1]
Resultado
organismo infeccioso
nível de alfa 1-antitripsina
Exame
Nível baixo em pacientes com deficiência de alfa 1-antitripsina. O teste é feito caso haja grande suspeita de deficiência de alfa 1-antitripsina, como história familiar positiva e casos de DPOC atípicos (pacientes jovens [<45 anos] e não fumantes).[1] Todos os pacientes com diagnóstico de DPOC devem ser rastreados uma vez, especialmente nas regiões com alta prevalência de deficiência de alfa 1-antitripsina.[70][71]
Resultado
deve ser normal nos pacientes com DPOC relacionada ao tabagismo
teste ergométrico
Exame
Pode ser de grande valor em pacientes com um grau desproporcional de dispneia em relação à espirometria.[1] Pode ser realizada em um cicloergômetro, esteira ergométrica ou com um simples teste de marcha cronometrada (por exemplo, 6 minutos, ou duração <6 minutos).[74] O teste ergométrico é útil em pacientes selecionados para reabilitação.
Resultado
incapacidade de finalizar o teste ou hipoxemia por esforço sugerem doença avançada
estudo do sono
Exame
A apneia obstrutiva do sono, um achado comum em pacientes com DPOC, está associada ao aumento do risco de morte e hospitalização em pacientes com DPOC.[73]
Resultado
índice elevado de apneia-hipopneia e/ou hipoxemia noturna
função do músculo respiratório
Exame
A função dos músculos respiratórios pode ser testada se a dispneia ou a hipercapnia aumentarem desproporcionalmente em relação ao VEF₁, bem como nos pacientes com desnutrição ou com miopatia por corticosteroides.[75]
Resultado
redução da pressão inspiratória máxima
eletrocardiograma (ECG)
Exame
Os fatores de risco para DPOC são semelhantes aos para cardiopatia isquêmica, de forma que a comorbidade é comum. A insuficiência cardíaca do lado direito pode se desenvolver na DPOC de longa duração (cor pulmonale).
Resultado
sinais de hipertrofia ventricular direita, arritmia, isquemia
ecocardiograma
Exame
Para valiar o estado cardíaco, em caso de suspeita de doença cardíaca ou hipertensão pulmonar.[2]
Resultado
pode ser normal ou mostrar insuficiência cardíaca do lado direito e/ou hipertensão pulmonar
contagem de eosinófilos no sangue
Exame
A contagem de eosinófilos no sangue pode identificar pacientes com maior probabilidade de responder aos corticosteroides inalatórios (CIs).[76][77][78] Ela pode prever a efetividade da adição de CIs ao tratamento regular com broncodilatadores de ação prolongada para prevenir exacerbações.[77][78][79] Pouco ou nenhum efeito é observado nas contagens de eosinófilos <100 células/microlitro, enquanto o efeito máximo é observado nas contagens de eosinófilos ≥300 células/microlitro.[76][80]Estes limiares indicam valores de corte aproximados que podem ajudar os médicos a predizerem a probabilidade de benefício com o tratamento com CIs.[1] Os pacientes com eosinófilos no sangue ≥300 células/microlitro apresentam maior risco de exacerbações após a suspensão do CI.[81]
Resultado
pode estar normal ou elevada
O uso deste conteúdo está sujeito ao nosso aviso legal

