Abordagem
Diretriz confiável
ebpracticenet recomenda que você priorize as seguintes diretrizes locais:
Aanhoudende hoest bij kinderen in de eerste lijnPublicada por: Werkgroep Ontwikkeling Richtlijnen Eerste Lijn (Worel)Última publicação: 2017La toux prolongée chez l’enfant en première ligne de soinsPublicada por: Groupe de Travail Développement de recommmandations de première ligneÚltima publicação: 2017Os pacientes podem apresentar tosse subaguda, mais comumente pós-infecção; no entanto, na maioria dos pacientes, a tosse pós-infecciosa é autolimitada.[6] Nesses pacientes, podem ser necessárias apenas observação e terapia sintomática, se for o caso. Se a tosse persistir por mais de 8 semanas, recomenda-se uma análise mais profunda.[37][38] Várias ferramentas validadas para avaliação da tosse estão disponíveis, embora sejam usadas principalmente para fins de pesquisa.[39]
Investigar a causa e conseguir a resolução da tosse crônica exige um compromisso contínuo com o paciente. A abordagem de um paciente com tosse crônica pode variar desde uma avaliação inicial completa para diagnóstico de doenças comumente associadas até uma terapia empírica, mas direcionada para doenças comuns que se sabe causarem tosse crônica, com diagnóstico limitado ou sem diagnóstico.[10] A escolha da abordagem específica pode ser individualizada e depende do tipo e da duração dos sintomas, da preferência do paciente e dos recursos disponíveis. Limitar exames de diagnóstico, tratar etiologias suspeitas e aplicar tentativas empíricas sequenciais de terapia são mais custo-efetivas, mas o desaparecimento da tosse é mais lento e pode estar associado a uma maior ansiedade por parte do paciente.[10][40][41] Na prática, os processos diagnósticos e terapêuticos muitas vezes são aplicados de forma simultânea. É melhor envolver o paciente na escolha da melhor abordagem e explicar a duração esperada e a evolução do diagnóstico e das tentativas terapêuticas.
História e exame físico
Uma história detalhada é essencial e deve incluir:
Momento e cenário clínico do início
Fatores de exacerbação
Sintomas associados
História prévia sugestiva de doença atópica
História médica completa, de tabagismo, consumo de substâncias e exposição
História familiar e ocupacional
Que medidas já foram tomadas e sua eficácia.
A história afeta consideravelmente a impressão do médico sobre a probabilidade de uma das quatro etiologias mais comuns (síndrome da tosse das vias aéreas superiores [STVAS], asma, doença do refluxo gastroesofágico [DRGE] ou bronquite eosinofílica não asmática [BENA]) ser a mais provável.
Apesar de um exame cuidadoso não informar o médico quanto às causas mais comuns da tosse crônica, ele é essencial para a detecção precoce de causas menos comuns, como bronquiectasia, doença pulmonar intersticial, distúrbios neoplásicos ou doenças pulmonares infecciosas crônicas.
Embora nenhum achado específico na história ou no exame físico possam ser associados de forma confiável à etiologia específica da tosse crônica, ele pode direcionar os próximos exames ou tentativas terapêuticas.
Os sintomas e achados associados às causas comuns (asma, STVAS, DRGE ou BENA) podem direcionar as futuras avaliações diagnósticas para a confirmação dessa causa.
Asma
Pode estar presente com sibilância, constrição torácica ou dispneia, além de paroxismos de tosse ou exacerbação da tosse por exposições sazonais, irritantes específicos ou irritantes respiratórios inespecíficos, como ar frio, vapores aromáticos ou ambientes empoeirados. Em pacientes que não têm sibilo, deve-se considerar outra causa.[10] Pode haver variabilidade de sintomas, exacerbação noturna da tosse ou forte associação com a história familiar de asma ou doença atópica.[42] A variante tussígena da asma, na qual a tosse persistente é o sintoma isolado ou principal, tende a piorar à noite ou com exercícios.[11][43]
STVAS
É uma síndrome clínica e o diagnóstico se baseia no quadro clínico (que inclui pigarro frequente, gotejamento pós-nasal, secreção nasal, obstrução nasal e espirros) e na resposta à terapia.[44] Possíveis causas da STVAS incluem rinite alérgica, rinite não alérgica perene, rinite pós-infecciosa, sinusite bacteriana, sinusite fúngica alérgica, rinite decorrente de anormalidades anatômicas, polipose nasal, rinite decorrente de irritantes físicos ou químicos, rinite ocupacional, rinite medicamentosa e rinite gestacional.[44]
Doença do refluxo gastroesofágico (DRGE)
Pode apresentar-se com pirose, disfagia, regurgitação ácida e uma tosse induzida por postura relaxada. Sintomas sugestivos podem incluir tosse na fonação, tosse ao se levantar da cama ou tosse associada a determinados alimentos ou à alimentação de um modo geral.[10] A doença de refluxo é clinicamente silenciosa em até 75% dos casos.[45] Sintomas extraesofágicos de DRGE (tosse crônica, asma, laringite e erosão dentária) podem ocorrer sem os sintomas típicos da DRGE.[46]
BENA
Apresenta-se com uma tosse crônica no geral levemente produtiva ou não produtiva sem características proeminentes de asma ou fatores desencadeantes de tosse confiáveis, embora os pacientes possam se queixar de presença de sibilância em certas ocasiões.
Cessação do IECA
A tosse decorrente do inibidor da enzima conversora da angiotensina (IECA) pode começar dias ou meses após o início da terapia com esse medicamento. Se o uso de IECAs for a causa suspeita, o uso deverá ser totalmente interrompido, se possível. O diagnóstico então é confirmado pela cessação da tosse, que geralmente acontece entre 1 e 4 semanas (embora possa levar até 3 meses).[47] Os agentes de bloqueio dos receptores da angiotensina não parecem estar significativamente relacionados aos sintomas da tosse crônica.
Radiografia torácica
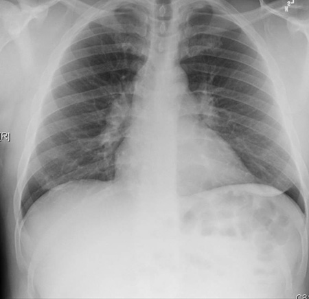
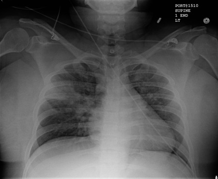
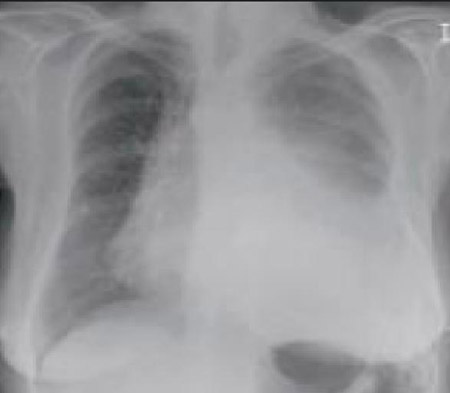
Uma radiografia torácica deve ser obtida no início da avaliação da tosse crônica.[38] Embora não seja diagnóstica das causas mais comuns, os achados podem facilmente desviar a avaliação para causas de maior gravidade como doenças pulmonares estruturais. Eles incluem câncer pulmonar, fibrose pulmonar, tuberculose, bronquiectasia, pneumonia, aspiração e sarcoidose.[Figure caption and citation for the preceding image starts]: Radiografia torácica mostrando hiperinsuflação em paciente com DPOC. A hiperinsuflação é causada pelo componente de enfisema na DPOC, em vez da bronquite crônica subjacente aos sintomas da tosseDo acervo pessoal do Dr. M. A. Sharifabadand, SUNY na Stony Brook School of Medicine, Departamento de Medicina Pulmonar e Intensiva, Mineola, Nova York, e Dr. J. P. Parsons, The Ohio State University Medical Center, Columbus; usado com permissão [Citation ends].
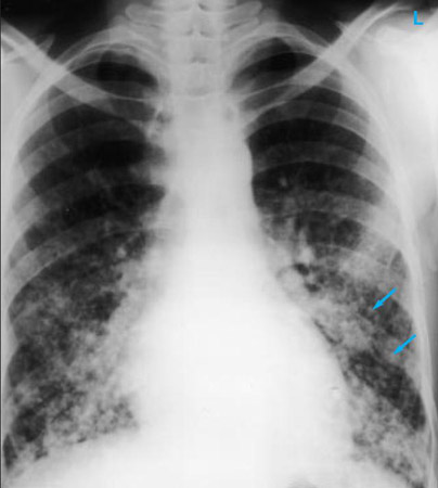
[Figure caption and citation for the preceding image starts]: Radiografia torácica mostrando múltiplas metástases pulmonares miliares (setas). O tumor primário era carcinoma de tireoideE. Dick, Student BMJ. 2001;9:10-12 [Citation ends].
[Figure caption and citation for the preceding image starts]: Radiografia torácica mostrando carcinoma hilar esquerdo (seta)De: E. Dick, Student BMJ. 2000;8:358-360 [Citation ends].
[Figure caption and citation for the preceding image starts]: Radiografia torácica mostrando carcinoma hilar direito com cavitação (seta)E. Dick, Student BMJ. 2001;9:10-12 [Citation ends].
[Figure caption and citation for the preceding image starts]: Radiografia torácica em paciente com carcinoma broncogênico mostrando derrame pleural no lado esquerdoDe: R. Thakkar, Student BMJ. 2001;9:458 [Citation ends].
[Figure caption and citation for the preceding image starts]: Radiografia torácica mostrando fibrose intersticial em um paciente com toxicidade pulmonar por amiodaronaDo acervo pessoal do Dr. A. Pataka e Professor P. Argyropoulou, Aristotle University, Tessalônica, Grécia; usado com permissão [Citation ends].
[Figure caption and citation for the preceding image starts]: Radiografia torácica mostrando tuberculose pulmonar com cavitaçãoDo acervo pessoal do Dr. M. Narita, Departamento de Medicina Pulmonar e Intensiva, Universidade de Washington [Citation ends].
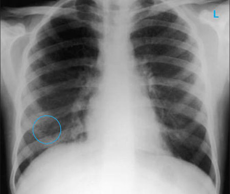
[Figure caption and citation for the preceding image starts]: Radiografia torácica mostrando múltiplos nódulos distintos nos dois pulmões (um deles marcado com um círculo) em um paciente com tuberculose miliarE. Dick, Student BMJ. 2001;9:10-12 [Citation ends].
[Figure caption and citation for the preceding image starts]: Radiografia torácica com falta de um afunilamento normal, produzindo uma imagem em trilho de bonde em um paciente com bronquiectasiaDo acervo pessoal da Dra. S.M. Bhorade, University of Chicago Medical Center; usado com permissão [Citation ends].
[Figure caption and citation for the preceding image starts]: Radiografia torácica com vias aéreas dilatadas e espessadas em um paciente com bronquiectasiaDo acervo pessoal da Dra. S.M. Bhorade, University of Chicago Medical Center; usado com permissão [Citation ends].
[Figure caption and citation for the preceding image starts]: Radiografia torácica mostrando uma opacificação aumentada da região peri-hilar direita e do segmento superior nos lobos inferior e superior direitos, consistente com um agravamento de pneumonia por aspiraçãoDo acervo pessoal do Dr. R. Kanner, Escola de Medicina da Universidade de Utah [Citation ends].
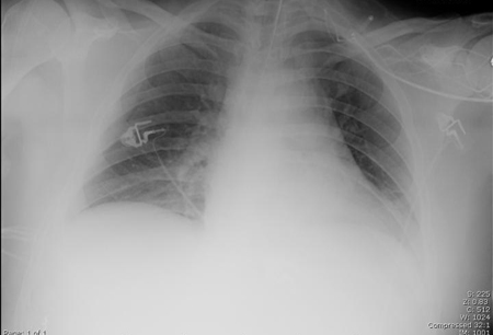
[Figure caption and citation for the preceding image starts]: Radiografia torácica portátil com opacidades bibasilares, com quadro mais desfavorável no lado direito que no esquerdo, em um paciente com pneumonia hospitalarDo acervo pessoal do Dr. F. W. Arnold, Divisão de Doenças Infecciosas do Departamento de Medicina, Escola de Medicina da Universidade de Louisville [Citation ends].
[Figure caption and citation for the preceding image starts]: Radiografia torácica mostrando opacificações precoces maldefinidas no lobo superior direito, acima da fissura menor, consistente com alterações iniciais de pneumonia por aspiraçãoDo acervo pessoal do Dr. R. Kanner, Escola de Medicina da Universidade de Utah [Citation ends].
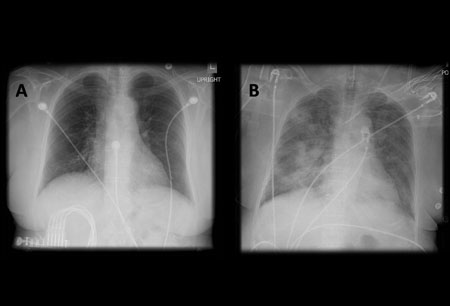
[Figure caption and citation for the preceding image starts]: A. Radiografia torácica portátil ortostática antes da aspiração; B. Radiografia torácica 1 hora após a aspiração, mostrando infiltrados alveolares difusos bilaterais, piores nas bases do lado direitoDo acervo pessoal do Dr. S. Murgu e do Dr. H. Colt, Universidade da Califórnia / Irvine Medical Center [Citation ends].
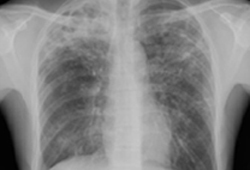
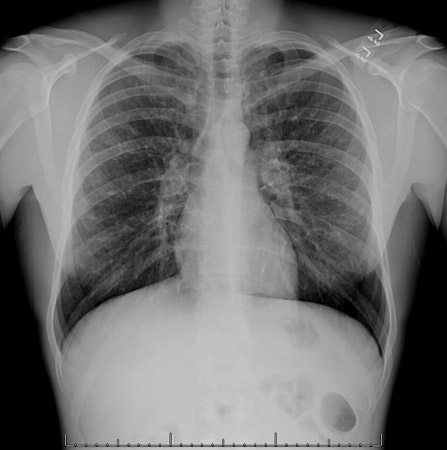
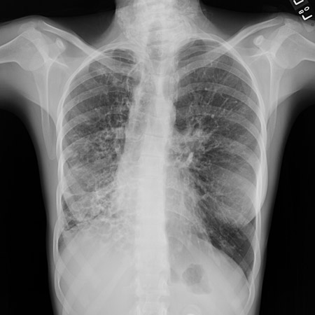
[Figure caption and citation for the preceding image starts]: Radiografia torácica mostrando adenopatia hilar bilateral em um paciente com sarcoidoseDo acervo pessoal do Dr. M.P. Muthiah, Divisão de Medicina Pulmonar e Intensiva e Medicina do Sono, Universidade do Tennessee [Citation ends].
Escolha de exames diagnósticos ou tentativas terapêuticas
Após a radiografia torácica, a escolha de testes diagnósticos ou de uma tentativa terapêutica depende da avaliação clínica da probabilidade de uma etiologia específica e da abordagem preferida pelo paciente.[38] Exceto no caso de a história, o exame físico e a radiografia torácica indicarem algo diferente, os esforços devem se concentrar em uma ou mais das quatro causas mais comuns (asma, síndrome da tosse das vias aéreas superiores [STVAS], doença do refluxo gastroesofágico [DRGE], bronquite eosinofílica não asmática [BENA]).
Por exemplo, se a história for mais sugestiva de asma, a espirometria ou a avaliação do pico do fluxo expiratório (para examinar quanto a obstrução das vias aéreas) e o teste de variabilidade ao broncodilatador seriam os primeiros testes apropriados.[11][30][31] As outras investigações incluem a fração de óxido nítrico exalado e testes de desafios de broncoprovocação (por exemplo, teste de inalação de metacolina). Os testes não invasivos para predizer a resposta aos corticosteroides inalatórios também incluem as contagens de eosinófilos no escarro e no hemograma, e a proteína catiônica eosinofílica (PCE) no escarro e no hemograma.[43] No caso de contagem elevada de eosinófilos no escarro ou no hemograma, os testes de reversibilidade negativos devem justificar a consideração de um diagnóstico de BENA.
Se a suspeita recair sobre STVAS, é indicada uma tentativa terapêutica para tentar resolver a rinossinusite e reduzir a secreção excessiva.
Uma tentativa terapêutica com inibidores da bomba de prótons (IBPs) é recomendada para os pacientes com sintomas típicos de DRGE (pirose e regurgitação).[48] A testagem diagnóstica (incluindo o monitoramento do pH esofágico e a endoscopia) pode ser considerada de acordo com a preferência do médico ou do paciente naqueles refratários a uma tentativa terapêutica com IBP, ou quando houver forte suspeita clínica de tosse relacionada a refluxo.[48][49] Nos pacientes com manifestações extraesofágicas de DRGE sem os sintomas típicos de DRGE devem-se considerar exames diagnósticos para refluxo antes de se iniciar a terapia com IBP.[46]
Exames laboratoriais
A análise laboratorial da produção da expectoração é um fator essencial para delimitar o diagnóstico diferencial, pois pode indicar a presença de uma causa infecciosa. Se a tosse for produtiva, uma amostra do escarro deve ser enviada para a coloração de Gram e cultura. Dependendo da história e do exame, os seguintes exames de sangue podem ser realizados: hemograma completo, contagem leucocitária, proteína C-reativa, exame de sangue de IgE total para aspergilose broncopulmonar alérgica.
Outras avaliações diagnósticas
Se, após uma avaliação cuidadosa, nenhuma das quatro causas mais comuns parecer provável, outros exames a se considerar incluem:
TC de alta resolução do tórax para procurar bronquiectasia (a qual nem sempre promove tosse produtiva), aspiração de corpo estranho, fibrose pulmonar ou outra doença pulmonar estrutural (que pode não aparecer bem na radiografia torácica). A doença pulmonar supurativa crônica é diagnosticada nos pacientes com sintomas clínicos de bronquiectasia, mas sem evidência radiográfica de bronquiectasia.[50] A TC também pode indicar a presença de um aneurisma aórtico ou um divertículo de Zenker. A expectativa quanto ao rendimento diagnóstico da TC do tórax em um paciente com tosse crônica e radiografia torácica normal é de que seja baixo.[3][Evidência C] Não há evidências de alta qualidade para apoiar o uso da TC de tórax na avaliação inicial dos pacientes com tosse crônica.[38]
Broncoscopia para investigação de patologia endobrônquica.
TC dos seios nasais ou nasoendoscopia.
pH esofágico de 24 horas e/ou monitorização da impedância para excluir DRGE silenciosa.
Ferritina sérica e ferro, pois a deficiência de ferro está associada a tosse crônica.[51]
Os níveis séricos de alfa 1-antitripsina (AAT) devem ser quantificados nos indivíduos com possível deficiência de AAT. No entanto, a AAT também é um reagente de fase aguda, o que significa que os níveis normais de AAT sérica podem ser enganosos, especialmente nos casos de processos inflamatórios.[52]
Polissonografia ou poligrafia para descartar apneia obstrutiva do sono.
Além disso, pode-se levar em consideração a avaliação por um pneumologista e/ou otorrinolaringologista. Nos casos em que o paciente também apresenta características de estridor, laringoespasmo ou movimento paradoxal das pregas vocais, é adequado o envolvimento de um fonoaudiólogo logo no início, considerando que o tratamento direcionado para causas subjacentes também pode acelerar a resolução da tosse crônica.[53]
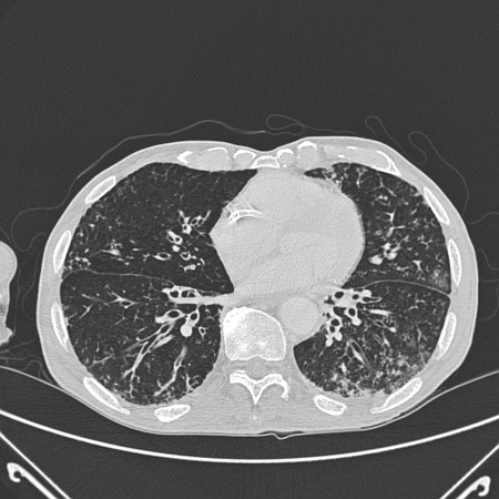
[Figure caption and citation for the preceding image starts]: Tomografia computadorizada (TC) do tórax com presença de anel de sinete à esquerda em paciente com bronquiectasiaDo acervo pessoal da Dra. S.M. Bhorade, University of Chicago Medical Center [Citation ends].
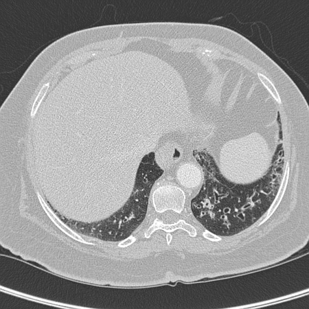
[Figure caption and citation for the preceding image starts]: Tomografia computadorizada (TC) do tórax com vias aéreas dilatadas e espessadas e um padrão de árvore em brotamento periférico em paciente com bronquiectasiaDo acervo pessoal da Dra. S.M. Bhorade, University of Chicago Medical Center; usado com permissão [Citation ends].
[Figure caption and citation for the preceding image starts]: Tomografia computadorizada (TC) do tórax mostrando fibrose pulmonar idiopáticaDo acervo pessoal do Dr. J.C. Munson, Center for Clinical Epidemiology and Biostatistics, Escola de Medicina da Universidade da Pensilvânia [Citation ends].
[Figure caption and citation for the preceding image starts]: Tomografia computadorizada (TC) do tórax de paciente com toxicidade pulmonar por amiodarona, mostrando opacidades assimétricas com distribuição periféricaDo acervo pessoal do Dr. A. Pataka e Professor P. Argyropoulou, Aristotle University, Tessalônica, Grécia [Citation ends].
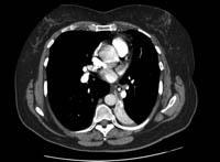
[Figure caption and citation for the preceding image starts]: Tomografia computadorizada (TC) do tórax com material de contraste intravenoso, mostrando o completo colapso do lobo inferior esquerdo, com um objeto radiopaco dentro do brônquio principal inferior esquerdo, circundado por um halo de arBMJ Case Reports 2008 (doi:10.1136/bcr.06.2008.0013). Copyright 2008 BMJ Publishing Group Ltd [Citation ends].
[Figure caption and citation for the preceding image starts]: Imagem broncoscópica mostrando a semente de uma nêspera ocluindo completamente o brônquio intermédioDo acervo pessoal do Dr. S. Murgu e do Dr. H. Colt, Universidade da Califórnia / Irvine Medical Center [Citation ends].
Tentativas terapêuticas
As tentativas terapêuticas são selecionadas com base na impressão clínica, às vezes com suporte de exames diagnósticos. A resposta do paciente à tentativa deve ser avaliada, e a tosse resolvida, antes que determinada etiologia possa ser atribuída com certeza. Uma resposta parcial pode indicar que há mais de uma etiologia em jogo. Nesse caso, podem ser indicados mais exames e/ou tentativas terapêuticas adicionais, e a terapia parcialmente bem-sucedida deve continuar. Se não houver resposta, deve-se reavaliar tanto a etiologia suspeita quanto a adesão ao tratamento e sua eficácia. Foi relatado um forte efeito placebo em testes empíricos sobre tosse crônica.[54]
Tentativas terapêuticas empíricas podem ser adotadas sequencialmente (começando pela primeira etiologia mais provável), fazendo-se seleções subsequentes de acordo com a resposta do paciente. Alternativamente, as tentativas podem ser feitas simultaneamente quando houver suspeita de várias etiologias desde o início, com a subsequente supressão sequencial das terapias depois que a tosse estiver controlada. Considera-se o seguinte:
Síndrome da tosse das vias aéreas superiores (STVAS): um ensaio com anti-histamínico associado a descongestionante deve ser realizado. A ausência de resposta às tentativas terapêuticas adequadas deve incitar a solicitação de uma tomografia computadorizada (TC) dos seios da face e encaminhamento a um otorrinolaringologista, sobretudo se outras etiologias foram consideradas muito improváveis.
Asma ou BENA: a medição não invasiva da inflamação nas vias aéreas (como eosinofilia sérica e no escarro da fração de óxido nítrico exalado (FeNO), e proteína catiônica eosinofílica sérica e no escarro) é sugerida como uma ferramenta útil para rever a resposta da tosse aos corticosteroides inalatórios (CI), com base no apoio de evidências moderadas.[43] Caso seja encontrada uma inflamação eosinofílica das vias aéreas, é provável que ela responda aos corticosteroides.[43] Como a disponibilidade desses exames não invasivos é limitada, um teste empírico com CI costuma ser usado na prática clínica. A falha terapêutica a uma tentativa de 2-4 semanas com CI deve justificar um aumento na dose do CI com a adição de uma tentativa terapêutica com um antagonista do receptor de leucotrieno.[43] Os beta-agonistas também podem ser considerados com o CI.[43] A adesão ao tratamento, a eficácia anti-inflamatória (medida pela fração de óxido nítrico exalado [FeNO] e pela variabilidade no pico de fluxo, conforme apropriado) e as doenças que contribuem para a persistência de um controle fraco da asma, como a doença do refluxo gastroesofágico (DRGE), a sinusite ou uma exposição contínua a alérgenos devem ser reavaliadas.[43]
Medição do pico de fluxo - Vídeo de demonstraçãoCom usar um medidor de fluxo de pico para obter a medição do pico do fluxo expiratório.
DRGE: a ausência de resposta às tentativas terapêuticas adequadas (por exemplo, 8-12 semanas com inibidor da bomba de prótons) deve incitar exames de confirmação (se ainda não tiverem sido feitos) e uma avaliação cuidadosa da eficácia da supressão de ácidos e/ou outros fatores que contribuem para um refluxo não ácido contínuo.[46][48][49]
Síndrome de hipersensibilidade à tosse: uma tentativa terapêutica com um medicamento neuromodulador, como gabapentina, pregabalina, amitriptilina ou baclofeno, pode ser considerada se as investigações anteriores não tiverem produzido um diagnóstico conclusivo e houver suspeita de síndrome de hipersensibilidade à tosse.[26]
Com usar um medidor de fluxo de pico para obter a medição do pico do fluxo expiratório.
Como colher uma amostra de sangue venoso da fossa antecubital usando uma agulha a vácuo.
O uso deste conteúdo está sujeito ao nosso aviso legal

