Investigações
Primeiras investigações a serem solicitadas
Hemograma completo
Exame
Hemograma completo, creatinina sérica e testes da função hepática (TFHs) são recomendados para todos os pacientes que apresentam características clínicas do citomegalovírus (CMV).
Pode ser usada na linha basal e para monitoramento durante o tratamento. O comprometimento da medula óssea com CMV causa a supressão de todas as linhagens celulares. O tratamento com ganciclovir/valganciclovir também pode causar supressão da medula óssea.
Resultado
imunocompetente: linfocitose atípica; pacientes de transplante ou imunocomprometidos: anemia, leucopenia ou trombocitopenia; neonatos: trombocitopenia
creatinina sérica
Exame
Hemograma completo, creatinina sérica e testes da função hepática (TFHs) são recomendados para todos os pacientes que apresentam características clínicas do citomegalovírus (CMV).
Os sintomas e sinais da infecção por CMV com invasão tecidual em receptores de órgão sólido ou de medula óssea podem mimetizar rejeição aguda de alotransplante (aumento de creatinina sérica e aminotransferases).
A medição da creatinina sérica é também recomendada durante o tratamento com medicamentos antivirais.
Resultado
normal; pode estar elevada em pacientes com transplante de órgãos sólidos e células-tronco hematopoéticas e infecção por CMV com invasão tecidual
aspartato aminotransferase (AST) e alanina aminotransferase (ALT) séricas
Exame
Hemograma completo, creatinina sérica e testes da função hepática (TFHs) são recomendados para todos os pacientes que apresentam características clínicas do citomegalovírus.
TFHs anormais geralmente sugerem doença invasiva de tecidos nos pacientes imunocomprometidos. Eles também podem estar elevados na apresentação inicial de uma pessoa saudável.
Resultado
pacientes imunocompetentes e imunocomprometidos: elevadas
fosfatase alcalina sérica
Exame
Hemograma completo, creatinina sérica e testes da função hepática (TFHs) são recomendados para todos os pacientes que apresentam características clínicas do citomegalovírus (CMV).
Níveis elevados são muitas vezes uma das manifestações iniciais da hepatite e da colangite por CMV em pacientes imunocomprometidos, como os pacientes com AIDS.
Resultado
envolvimento do sistema hepatobiliar: elevada
sorologia
Exame
O teste é feito usando ELISA. A IgM para CMV tem pouca utilidade no diagnóstico de doença aguda por citomegalovírus (CMV) em pacientes imunocomprometidos.[42]
Resultado
título CMV-IgM (imunoglobulina M) é indicativo de infecção aguda; título CMV-IgG (imunoglobulina G) sugere infecção prévia; a avidez dos anticorpos é baixa em infecções recentes
antigenemia pp65
Exame
Pode ser usada em exames iniciais e no subsequente monitoramento da doença, mas foi amplamente substituída pelo teste de ácidos nucleicos. O método de lâmina é usado para demonstrar a presença e o número de leucócitos contendo o antígeno pp65 do citomegalovírus. Mais sensível que a cultura viral.
Utilidade limitada em pacientes com leucopenia grave, como receptores de transplante de células-tronco hematopoéticas.
A propriedade quantitativa e semiquantitativa desse teste pode orientar a resposta terapêutica.[42]
Resultado
número de células pp65 positivas por 150,000 a 200,000 células
detecção do ácido nucleico
Exame
Usada na testagem inicial e no monitoramento subsequente da doença. O teste de ácido nucleico (NAT) é o método mais sensível para a detecção do citomegalovírus em amostras de sangue/plasma e tecido.
O significado clínico do número de cópias genômicas depende da plataforma de teste, da amostra utilizada (plasma x sangue total) e da população de pacientes. Na maioria dos casos, contudo, um exame positivo sugere infecção.
A propriedade quantitativa do exame é usada para prever o risco de doença, para orientar a terapia preventiva, para monitorar a resposta ao tratamento e para indicar a presença de vírus resistente a medicamentos.[42]
Resultado
número de cópias genômicas por volume de amostra
contagem de CD4
Exame
Usada inicialmente para se avaliar o risco de doença por citomegalovírus em pacientes transplantados. Também utilizada para orientar o momento de descontinuação do tratamento em pacientes com AIDS que tiverem obtido reconstituição imune após o uso da terapia antirretroviral.[2]
Resultado
imunossupressão grave na AIDS: <50 células/microlitro
radiografia torácica
Exame
A radiografia torácica deve ser realizada em qualquer paciente imunocomprometido com sintomas pulmonares indicativos de doença por citomegalovírus (CMV). E.a pode ser usada também no monitoramento subsequente da melhora.[Figure caption and citation for the preceding image starts]: Radiografia torácica mostrando infiltrados pulmonares em um paciente imunocomprometido com pneumonite grave por citomegalovírus (CMV)Do acervo de Dr. Raymund Razonable; usado com permissão [Citation ends].
Resultado
Pneumonite por CMV: presença de infiltrados intersticiais; ocasionalmente podem ser observados nódulos
Investigações a serem consideradas
tomografia do tórax
Exame
A TC do tórax ajudará a demonstrar alterações difusas intersticiais e parenquimais como resultado de pneumonite por citomegalovírus em receptores de transplante de pulmão.[Figure caption and citation for the preceding image starts]: Tomografia computadorizada (TC) de tórax de um receptor de transplante de pulmão com alterações difusas intersticiais e parenquimais como resultado de pneumonite primária por citomegalovírus (CMV)Do acervo de Dr. Raymund Razonable; usado com permissão [Citation ends].
Resultado
alterações parenquimais e intersticiais difusas
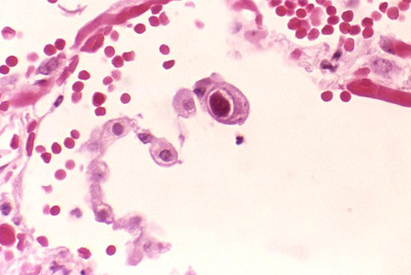
histopatologia da biópsia
Exame
Em pacientes com doença clínica sugestiva de doença tecidual invasiva por citomegalovírus (CMV), recomenda-se a biópsia de amostras teciduais (fígado, mucosa intestinal, pulmão). No entanto, em receptores de transplante de órgão sólido, a biópsia pode ser recomendada apenas em caso de ausência de resposta à terapia antiviral inicial.[42][Figure caption and citation for the preceding image starts]: Infecção pulmonar ativa por citomegalovírus na síndrome de imunodeficiência adquirida (AIDS)Centros de Controle e Prevenção de Doenças: Dr Edwin P. Ewing, Jr [Citation ends].
Resultado
demonstração de inclusões citoplasmáticas e intranucleares específicas do CMV
endoscopia digestiva alta e colonoscopia
Exame
A endoscopia digestiva alta e a colonoscopia podem ser realizadas em pacientes com suspeita de doença por citomegalovírus (CMV) e sintomas gastrointestinais. Isso pode ser útil para se confirmar o diagnóstico, principalmente em pacientes com testes sanguíneos de ácidos nucleicos negativos para CMV. Alguns especialistas sugerem a repetição da colonoscopia quando os sintomas persistirem apesar da terapia adequada, ou em pacientes com doença inflamatória intestinal, para documentar a remissão da doença antes da descontinuação do tratamento.
Resultado
o espectro de lesões endoscópicas é variável e vai de eritema irregular, exsudatos e microerosões até mucosa difusamente edematosa, erosões múltiplas da mucosa, úlceras profundas e pseudotumores
exames ultrassonográficos fetais seriados (infecção congênita por citomegalovírus [CMV])
Exame
Devem ser realizados a cada 2-4 semanas após um diagnóstico de infecção congênita por citomegalovírus (CMV) para detectar anormalidades sonográficas.
Podem ajudar a determinar o prognóstico fetal, embora a ausência de achados de ultrassonografia não garanta um desfecho normal.[29]
Resultado
as características sugestivas de infecção congênita por CMV incluem: restrição do crescimento fetal intrauterino, aumento dos ventrículos cerebrais, calcificação intracraniana, microcefalia e aumento ou diminuição do volume de líquido amniótico. Também podem ser observados aumento do fígado, baço ou coração e hiperecogenicidade do intestino.
amniocentese ou amostragem de sangue fetal (infecção congênita por CMV)
Exame
Essas investigações pré-natais permitem a testagem para citomegalovírus (CMV).[29][30]
Fatores importantes para se considerar no diagnóstico pré-natal são: confirmação de infecção primária por CMV na mãe e subsequente determinação do momento em que a mãe foi infectada, bem como o momento mais adequado para a detecção viral (geralmente após 21 semanas de idade gestacional). Há um aumento do risco de resultados falso-negativos se a amostragem fetal for realizada antes de 21 semanas de gestação ou logo após o início da infecção na mãe.
As mães devem ser aconselhadas quanto aos riscos de transmissão fetal, riscos associados com procedimentos diagnósticos e riscos envolvidos na infecção fetal para tomarem uma decisão a respeito de outros exames e de como continuar com a gravidez.[10]
Testam-se amostras do sangue fetal e do líquido amniótico para CMV utilizando-se testes de ácido nucleico. A medição de anticorpos IgM, a antigenemia do pp65 e a cultura viral não são comumente usadas.[30]
Resultado
detecção do CMV em amostras de sangue fetal ou líquido amniótico por pelo menos dois ensaios diferentes
Ressonância nuclear magnética (RNM)/ultrassonografia cranioencefálica: neonatos
Exame
A ultrassonografia cranioencefálica e a RNM fazem parte do rastreamento sistemático de qualquer neonato com infecção congênita por citomegalovírus. Os exames auditivos e o exame oftalmológico também fazem parte da triagem neonatal de rotina, assim como a avaliação regular do desenvolvimento.
Resultado
calcificações intracranianas; microcefalia; dilatação dos ventrículos cerebrais
O uso deste conteúdo está sujeito ao nosso aviso legal