Imagens e vídeos
IMAGENS

Toxoplasmose
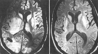
Ressonância nuclear magnética pré e pós-tratamento: cérebro da toxoplasmose no sistema nervoso central
Do acervo de Rima L. McLeod, MD; uso autorizado
Veja esta imagem em contexto nas seguintes seções:

Toxoplasmose
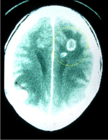
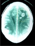
Tomografia computadorizada: cérebro da toxoplasmose no sistema nervoso central
Do acervo de Louis M. Weiss, MD, MPH; uso autorizado
Veja esta imagem em contexto nas seguintes seções:

Toxoplasmose
Patologia cerebral: embora esta seja uma patologia do tecido de camundongo, ela é muito semelhante em aparência à do tecido humano
Do acervo de Louis M. Weiss, MD, MPH; uso autorizado
Veja esta imagem em contexto nas seguintes seções:

Toxoplasmose
Retinocoroidite pré e pós-tratamento
Do acervo de Rima L. McLeod, MD, e publicado em: Roberts F, McLeod R. Pathogenesis of toxoplasmic retinochoroiditis. Parasitol Today. 1999 Feb;15(2):51-7; usado com permissão
Veja esta imagem em contexto nas seguintes seções:
O uso deste conteúdo está sujeito ao nosso aviso legal