Abordagem
A avaliação de derrame pericárdico envolve:
Diagnosticar derrame pericárdico com história clínica e exame físico; confirmado por exame de imagem
Avaliar a importância hemodinâmica do derrame
Determinar a etiologia a partir da avaliação clínica, exames de imagem e investigações laboratoriais.
Avaliação clínica
Os seguintes sinais e sintomas devem suscitar uma avaliação mais aprofundada em busca de um derrame pericárdico:
Desconforto torácico inexplicável, dor pleurítica e dispneia.[16] A pericardite aguda geralmente causa dor torácica pleurítica aguda, que melhora ao sentar-se e inclinar-se para frente e se exacerba ao tossir e deitar-se em decúbito dorsal.[6] A dor pode irradiar para a borda do trapézio que, como o pericárdio, é inervado pelo nervo frênico.[58]
Pacientes com qualquer distúrbio sistêmico que, sabidamente, envolva o pericárdio e elevação da pressão venosa jugular.[5]
Cardiomegalia inexplicável sem congestão pulmonar na radiografia torácica.[5]
Dor torácica e/ou instabilidade hemodinâmica após traumatismo contuso recente no tórax, cirurgia cardíaca ou intervenção cardíaca.
Parada cardíaca com atividade elétrica sem pulso ou assistolia.
Quando
O início dos sintomas é normalmente subagudo. Os sintomas podem se desenvolver de forma aguda se o derrame estiver relacionado a trauma, ruptura da parede livre, causas iatrogênicas ou dissecção da aorta.
Sintomas associados
Geralmente, os pacientes com pericardite viral apresentam início abrupto dos sintomas e outras características de uma doença viral, como tosse e faringite. É comum febre baixa, mas uma temperatura >38 °C (>100 °F) não é típica e deve induzir a consideração de pericardite bacteriana.
Os sintomas que sugerem tuberculose incluem febre, sudorese noturna, perda de peso, fadiga, tosse e hemoptise.
Fadiga, artralgia, erupção cutânea fotossensível, alopecia e úlceras orais sugerem lúpus eritematoso sistêmico (LES).[59]
No hipotireoidismo podem ocorrer intolerância ao frio, fadiga, constipação, diminuição da memória, pele seca, ganho de peso, depressão, oligomenorreia ou amenorreia, e redução do couro cabeludo e pelos corporais.
História médica pregressa
Infarto do miocárdio (IM) prévio. O derrame pericárdico após infarto do miocárdio (síndrome pós-infarto do miocárdio ou fenômeno de Dressler) é uma complicação rara que pode ocorrer nas semanas ou meses após um infarto do miocárdio.
Cirurgia ou intervenção cardíaca recente. O derrame depois de uma cirurgia cardíaca ocorre em até 85% dos pacientes.[60] Esses pacientes apresentam também maior risco de pericardite bacteriana.
Insuficiência cardíaca crônica. Pode haver história de hipertensão, doença arterial coronariana, valvopatia ou cardiomiopatia. Os sintomas incluem dispneia, diminuição da tolerância ao exercício, ortopneia e dispneia paroxística noturna.
Insuficiência renal crônica, sobretudo se o paciente for dependente de diálise. Esses pacientes apresentam também maior risco de pericardite bacteriana. Os sintomas da uremia incluem náuseas, vômitos e alterações do estado mental.
História de neoplasia maligna, principalmente câncer pulmonar, câncer de mama, neoplasias hematológicas e mesotelioma. A infiltração metastática do pericárdio e a radioterapia podem causar derrame pericárdico.
A amiloidose secundária pode se desenvolver em pacientes com doenças inflamatórias crônicas, como bronquiectasia, osteomielite e artrite reumatoide.
Os derrames pericárdicos podem ocorrer em casos de hipotireoidismo grave.
A imunossupressão aumenta a susceptibilidade a infecções bacterianos, fúngicas e tuberculosas.
História de medicamentos
Hidralazina, procainamida e isoniazida são os medicamentos mais comumente identificados como uma causa de lúpus eritematoso induzido por medicamentos.[56]
Medicamentos quimioterápicos como antraciclinas, ciclofosfamida, citarabina, ácido all-trans-retinoico e inibidores de checkpoints imunológicos estão associados a derrame pericárdico.[14]
O derrame pericárdico pode ocorrer em pacientes com síndrome de hiperestimulação ovariana após a administração de gonadotrofinas injetáveis.[54]
Exame
O exame físico pode ser normal se o paciente não apresentar comprometimento hemodinâmico.
Achados do exame físico sugestivos de derrame pericárdico incluem:
Atrito pericárdico: um som agudo de atrito, mais bem ouvido sobre a borda esternal esquerda com o paciente inclinado para frente no final da expiração.[6] Os atritos podem ter 1, 2 ou 3 partes, correspondentes aos períodos de maior movimento do coração no ciclo cardíaco. O atrito pericárdico também pode ser transitório, sendo, portanto, útil examinar os pacientes com suspeita de pericardite em múltiplas ocasiões.
Sons cardíacos distantes com um precórdio silencioso são um achado comum no derrame pericárdico.
Pulso paradoxal: uma diminuição da pressão arterial sistólica durante a inspiração >12 mmHg tem sensibilidade de 98% e especificidade de 83% para a detecção de tamponamento.[61]
No tamponamento cardíaco, o derrame pericárdico acumulado tem efeito restritivo no enchimento do coração, o que resulta em uma variação respiratória mais pronunciada e interdependente no enchimento ventricular direito e esquerdo e uma queda inspiratória da pressão arterial sistólica de 10 mmHg ou mais.
Para medir o pulso paradoxal, o manguito de pressão arterial é inflado acima da pressão arterial sistólica. O manguito é desinflado lentamente, para ouvir o primeiro som de Korotkoff, que é intermitente e ouvido durante a expiração em repouso. A diferença (em mmHg) entre esse primeiro som de Korotkoff e a pressão em que o som de Korotkoff é ouvido com cada batimento é o pulso paradoxal.
No exame físico, a constrição pericárdica pode produzir achados similares aos do tamponamento com pulso paradoxal e pressão venosa jugular elevada. Um knock pericárdico pode ser evidente durante a palpação e/ou ausculta, e a constrição frequentemente também está associada a aumento macroscópico do fígado e ascite.[Figure caption and citation for the preceding image starts]: Ausculta do pericárdio: para gerar atrito pericárdico, o paciente é convidado a inclinar-se para frente (A) ou apoiar-se sobre os cotovelos e joelhos (B). Ambas as manobras físicas visam aumentar o contato do pericárdio visceral e parietal.Imazio M. Pericardial involvement in systemic inflammatory diseases. Heart 2011;97:1882-92. [Citation ends].
Eletrocardiograma
Pacientes com suspeita de derrame pericárdico devem realizar um eletrocardiograma. As alterações eletrocardiográficas incluem:
Taquicardia sinusal.
Baixa tensão em QRS.
Alternância dos eixos elétricos. Isso ocorre quando o movimento de oscilação do coração no líquido pericárdico causa variação, a cada batimento, do eixo ventricular e, ocasionalmente, atrial no ECG.
Quando a inflamação envolver o epicárdio, como na pericardite aguda, o ECG poderá mostrar supradesnivelamento do segmento ST e infradesnivelamento do segmento PR difusos, sinalizando lesão epicárdica generalizada. Até 60% dos pacientes com pericardite aguda apresentam achados típicos no ECG.[62][Figure caption and citation for the preceding image starts]: ECG na pericardite aguda. Elevação do segmento ST quase frequente, correspondente ao infradesnivelamento do segmento ST em aVR (vetor direito aumentado). A altura da elevação do ST é aproximadamente 25% da altura do pico de ondas T em V5–V6. A maioria dos segmentos PR está levemente infradesnivelada em relação à linha basal T-P (corrente atrial da lesão).Imazio M. Pericardial involvement in systemic inflammatory diseases. Heart 2011;97:1882-92. [Citation ends].
Exames por imagem
Ecocardiografia
A ecocardiografia transtorácica é a investigação de escolha para suspeita de derrame pericárdico. Trata-se de uma modalidade diagnóstica não invasiva e eficaz. Além de confirmar o diagnóstico, a ecocardiografia permite ao operador avaliar o tamanho e os efeitos hemodinâmicos do derrame.[7]
Um espaço sem eco entre as duas camadas do pericárdio indica a presença de derrame.[Figure caption and citation for the preceding image starts]: Incidência do eixo paraesternal longitudinal de um derrame pericárdico (DP); AE = átrio esquerdo, VE = ventrículo esquerdo, VD = ventrículo direitoDo acervo do Dr. Rajdeep Khattar [Citation ends].
[Figure caption and citation for the preceding image starts]: Incidência apical das 4 câmaras de um ecocardiograma bidimensional de um paciente com derrame pericárdico tuberculoso; AE = átrio esquerdo, VE = ventrículo esquerdo, DP = derrame pericárdico; AD = átrio direito, VD = ventrículo direitoDe: George S, Salama AL, Uthaman B, et al. Heart. 2004; 90:1338-1339 [Citation ends].
A avaliação ecocardiográfica geral do derrame pericárdico inclui:
Tamanho
A espessura máxima do derrame diastólico final (distância entre as camadas epicárdica e parietal do pericárdio) é medida e o tamanho do derrame é classificado como:
Trivial (visto apenas na sístole)
Pequeno (<10 mm)
Moderado (10-20 mm)
Grande (>20 mm)
Muito grande (>25 mm)
Localização
Circunferencial
Loculado
Consistência
Limpo
Parcialmente organizado (com fios que abrangem as duas camadas do pericárdio)
Totalmente organizado.
A ecocardiografia transesofágica pode ser útil para diagnosticar derrames loculados e complexos e nos casos em que a ecocardiografia transtorácica seja inconclusiva.
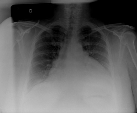
Radiografia torácica
A radiografia torácica pode mostrar uma silhueta cardíaca em formato de garrafa d'água com uma faixa de gordura pericárdica evidente, sugerindo um grande derrame pericárdico. Pode haver também derrames pleurais.[Figure caption and citation for the preceding image starts]: Radiografia torácica em um paciente com derrame pericárdico mostrando achados típicos de uma silhueta cardíaca em formato de garrafa d'água com uma faixa de gordura pericárdica evidenteDo acervo do Dr. Rajdeep Khattar [Citation ends].
Tomografia computadorizada (TC)
A ecocardiografia transtorácica tem resolução espacial limitada e não consegue visualizar o pericárdio de forma confiável, a menos que haja uma espessura pronunciada (>5 mm; espessura normal de 0.5 a 1.0 mm). A tomografia computadorizada (TC) cardíaca tem maior resolução espacial e, portanto, é mais confiável para detectar um pericárdio anormalmente espesso (definido como >2 mm). Ele pode fornecer informações quantitativas e qualitativas sobre o derrame pericárdico e é a modalidade de imagem mais sensível para detectar calcificação pericárdica.
Em decorrência de sua alta resolução espacial, a TC cardíaca é mais útil para fornecer informações anatômicas e para o planejamento da pericardiotomia ou drenagem cirúrgica de derrames loculados ou complexos. O fluido de alta atenuação sugere hemopericárdio, sobretudo em casos de trauma, derrame pós-cirúrgico ou dissecção da aorta. A nodularidade do pericárdio pode indicar neoplasia maligna.[63] A angiotomografia é o exame preferido para diagnosticar a dissecção da aorta em pacientes hemodinamicamente estáveis.
Ressonância nuclear magnética
A ressonância nuclear magnética (RNM) cardíaca é a modalidade mais abrangente para avaliar o pericárdio.[6][64][65][66] Ela permite avaliação qualitativa e quantitativa do derrame pericárdico.
Os derrames pericárdicos transudativos aparecem escuros nas sequências ponderadas em T1; os derrames exsudativos são de intensidade baixa a média em T1 e de média a brilhante em T2.[66][67][68] Os derrames hemorrágicos são brilhantes nas sequências ponderadas em T1 e T2, mas podem evoluir para hematoma crônico (>15 dias) com baixa intensidade de sinal.[66][67] Os derrames proteicos são brilhantes nas sequências ponderadas em T1.[66][67]
A RNM cardíaca pode detectar pericárdio anormalmente espessado em sequências com sangue escuro (black-blood) ponderadas em T1 (<4 mm é considerado normal) e fisiologia constritiva (por exemplo, deslocamento septal respirofásico).[6][65][66][67] O realce tardio com gadolínio pode fornecer informações importantes sobre a presença e o grau de inflamação pericárdica em curso e, portanto, servir de base para terapias anti-inflamatórias.[65][66][67]
Observe que as sequências de RNM cardíaca são suscetíveis a artefatos de movimento cardíaco que podem obscurecer ou ser mal interpretados como patologia.[69]
Avaliação laboratorial
Em 60% dos casos, o derrame pericárdico é devido a uma doença ou condição subjacente conhecida.[70] Portanto, são necessários a história completa e o exame físico em todos os pacientes.
Se não for identificada nenhuma causa subjacente, o exame inicial incluirá marcadores inflamatórios. Marcadores inflamatórios elevados favorecem o diagnóstico de pericardite idiopática aguda, derrames graves sem sinais inflamatórios estão associados a pericardite idiopática crônica, e o tamponamento sem sinais inflamatórios está associado a neoplasia maligna.[70]
Exames iniciais
Hemograma completo: a contagem de leucócitos é normalmente ligeiramente elevada na pericardite idiopática aguda; a contagem de leucócitos substancialmente elevada pode sugerir pericardite bacteriana.[58]
Proteína C-reativa sérica: é elevada na maioria dos casos de pericardite aguda; portanto, pode não ser útil na determinação da etiologia subjacente. No entanto, é útil para monitorar a resposta ao tratamento e é recomendada para todos os pacientes com suspeita de pericardite aguda.[6]
Velocidade de hemossedimentação: é muitas vezes elevada na pericardite aguda.
Ureia, eletrólitos e creatinina: podem demonstrar uremia na doença renal crônica ou lesão renal aguda se houver infecção aguda, trauma ou nefrite lúpica.
Troponina: realizada para detectar miocardite concomitante. A magnitude da elevação está correlacionada com a extensão do supradesnivelamento do segmento ST. Em alguns pacientes, os níveis podem estar no intervalo no qual se considera o diagnóstico de infarto agudo do miocárdio. Os níveis retornam ao normal dentro de 1 ou 2 semanas do diagnóstico. Níveis elevados não parecem conferir significado prognóstico na pericardite aguda.
Coagulogramas.
Outros exames de sangue podem ser indicados dependendo da etiologia suspeita do derrame.
Hormônio estimulante da tireoide: elevado no hipotireoidismo.
Fator antinuclear (FAN), anticorpo de DNA de fita dupla e anticorpo anti-Smith: suspeita de LES.
Anticorpos anti-histona: suspeita de lúpus induzido por medicamentos.
Imunoglobulinas séricas e urinárias: suspeita de amiloidose.
Hemocultura: essencial quando há suspeita de pericardite bacteriana, para identificar organismos causadores. Culturas virais para citomegalovírus podem ser solicitadas para determinados pacientes imunocomprometidos. Em outras circunstâncias, existe pouca utilidade clínica em solicitar esses exames, pois a maioria dos casos de pericardite viral é benigna e autolimitada, e um teste positivo não alteraria o manejo.[71]
HIV: solicite quando houver evidências de imunossupressão no exame ou o paciente apresentar fatores de risco para infecção por HIV.
Esfregaço de sangue espesso para microscopia: se houver suspeita de doença de Chagas.
Pericardiocentese
A amostragem de líquido pericárdico pode incluir coloração de Gram e cultura de bacilos álcool-ácido resistentes, reação em cadeia da polimerase, testes específicos da tuberculose (por exemplo, adenosina desaminase, lisozima e gamainterferona), marcadores tumorais e citologia, e pode ser útil nos seguintes cenários:
Suspeita de pericardite purulenta ou tuberculosa
Suspeita de derrame pericárdico maligno
Derrame pericárdico moderado a grande em pacientes com HIV e/ou imunossupressão
Derrame pericárdico moderado a grande ou progressivo em pacientes que não respondam à terapia inicial e quando a investigação diagnóstica for inconclusiva.[72]
A avaliação citológica é o padrão ouro para o diagnóstico de derrame pericárdico neoplásico, com sensibilidade de 71% a 92% e especificidade aproximando-se de 100%.[13]
Ao contrário da prática comum e ao contrário da avaliação do derrame pleural, a diferenciação entre um exsudato e transudato com base na celularidade, lactato desidrogenase e níveis de proteína e glicose geralmente não é útil para o diagnóstico diferencial e manejo de pacientes com derrame pericárdico.[73]
Biópsia pericárdica
Pode-se considerar uma biópsia pericárdica durante a drenagem cirúrgica, quando grandes derrames apresentam recorrência sem um diagnóstico prévio e quando há suspeita de etiologias tuberculosas ou malignas.[6] Embora o rendimento diagnóstico seja historicamente baixo e complicado por um alto grau de resultados falso-negativos, recentes avanços na pericardioscopia, que permitem a visualização direta do pericárdio, têm melhorado o rendimento (rendimento diagnóstico de 40%) e reduzido a incidência de achados falso-negativos (6.7% de falso-negativos).[74]
O uso deste conteúdo está sujeito ao nosso aviso legal