Investigações
Primeiras investigações a serem solicitadas
eletroforese de proteínas e imunofixação no soro
Exame
Imunofixação positiva (presença de uma proteína monoclonal no soro ou urina) e/ou um ensaio anormal da cadeia leve livre de imunoglobulina sérica são relatados em 99% dos pacientes com amiloidose do tipo AL.[76]
O diagnóstico de amiloidose do tipo AL deve ser sempre confirmado histologicamente (por exemplo, biópsia com tipagem amiloide) para evitar um diagnóstico incorreto, pois uma gamopatia monoclonal incidental pode estar presente em outros tipos de amiloidose (por exemplo, amiloidose hereditária, amiloidose por transtirretina de tipo selvagem [ATTRwt]).[28][29][61][62][77]
O diagnóstico de amiloidose do tipo AL é improvável se a imunofixação e o ensaio da cadeia leve livre de imunoglobulina sérica forem normais.
Resultado
pode ser positivo para uma proteína monoclonal
eletroforese de proteínas e imunofixação na urina (usando coleta de urina de 24 horas)
Exame
Imunofixação positiva (presença de uma proteína monoclonal no soro ou urina) e/ou um ensaio anormal da cadeia leve livre de imunoglobulina sérica são relatados em 99% dos pacientes com amiloidose do tipo AL.[76]
O achado de uma proteína de cadeia leve na urina sugere mieloma múltiplo e amiloidose do tipo AL.
O diagnóstico de amiloidose do tipo AL deve ser sempre confirmado histologicamente (por exemplo, biópsia com tipagem amiloide) para evitar um diagnóstico incorreto, pois uma gamopatia monoclonal incidental pode estar presente em outros tipos de amiloidose (por exemplo, amiloidose hereditária, amiloidose por transtirretina de tipo selvagem [ATTRwt]).[28][29][61][62][77]
O diagnóstico de amiloidose do tipo AL é improvável se a imunofixação e o ensaio da cadeia leve livre de imunoglobulina sérica forem normais.
Resultado
pode ser positivo para uma proteína monoclonal
ensaio de detecção de cadeias leves livres de imunoglobulina no soro
Exame
Sensibilidade extremamente alta (>95%) para identificar a amiloidose do tipo AL.[98]
Imunofixação positiva (presença de uma proteína monoclonal no soro ou urina) e/ou um ensaio anormal da cadeia leve livre de imunoglobulina sérica são relatados em 99% dos pacientes com amiloidose do tipo AL.[76]
O diagnóstico de amiloidose do tipo AL deve ser sempre confirmado histologicamente (por exemplo, biópsia com tipagem amiloide) para evitar um diagnóstico incorreto, pois uma gamopatia monoclonal incidental pode estar presente em outros tipos de amiloidose (por exemplo, amiloidose hereditária, amiloidose por transtirretina de tipo selvagem [ATTRwt]).[28][29][61][62][77]
O diagnóstico de amiloidose do tipo AL é improvável se a imunofixação e o ensaio da cadeia leve livre de imunoglobulina sérica forem normais.
Resultado
pode apresentar relação anormal entre cadeia leve kappa e lambda
Hemograma completo com diferencial
Exame
A anemia é geralmente observada em pacientes com insuficiência renal ou sangramento gastrointestinal.
A trombocitemia é observada como consequência de comprometimento hepático e hiperesplenismo.
Resultado
geralmente normais
esfregaço de sangue periférico
Exame
Solicitado para avaliar um distúrbios plasmocíticos.[62]
Pode apresentar acúmulo de eritrócitos (formação de Rouleaux) devido a níveis elevados de imunoglobulinas no soro (associados à amiloidose do tipo AL).
Resultado
pode mostrar formação de Rouleaux
imunoglobulinas quantitativas séricas
Exame
Solicitado para avaliar um distúrbios plasmocíticos.[62]
Quantifica a quantidade de imunoglobulinas no soro, mas não diferencia entre imunoglobulinas policlonais (normais) e monoclonais (anormais).
Resultado
pode apresentar aumento da concentração de imunoglobulinas
eletroforese de proteínas séricas
Exame
Solicitado para avaliar um distúrbios plasmocíticos.[62]
Pode identificar uma imunoglobulina monoclonal no soro, embora a sensibilidade seja baixa sem imunofixação.
Resultado
pode mostrar imunoglobulina monoclonal
perfil metabólico abrangente
Exame
Inclui ureia sérica, creatinina sérica, eletrólitos, albumina sérica, cálcio sérico, ácido úrico sérico, lactato desidrogenase (LDH) sérica, beta-2 microglobulina e testes da função hepática (TFHs).[62]
Solicitado para avaliar envolvimento renal e hepático.[62]
A amiloide hepática é caracterizada por elevações da fosfatase alcalina sérica.
A maioria dos pacientes com início de amiloidose renal mantém o clearance de creatinina sérica, mas pode apresentar graus significativos de hipoalbuminemia em decorrência da perda urinária de proteína.
A beta-2-microglobulina é preditiva de sobrevida em pacientes com amiloidose do tipo AL.[96][97]
Resultado
pode ser normal ou anormal (por exemplo, hipoalbuminemia; fosfatase alcalina elevada; cálcio baixo [devido à hipoalbuminemia]; beta-2-microglobulina elevada)
eletroforese de proteínas urinárias (usando coleta de urina de 24 horas)
Exame
Solicitada avaliação de envolvimento renal.[62]
Pode mostrar proteínas elevadas na urina (incluindo uma imunoglobulina monoclonal, embora a sensibilidade seja baixa sem imunofixação)
Resultado
a proteína urinária pode estar elevada (proteinúria); pode revelar uma imunoglobulina monoclonal
Proteína total na urina de 24 horas
Exame
Solicitada avaliação de envolvimento renal.[62]
Considera-se que pacientes com amiloidose que apresentam excreção de albumina urinária de >1 g/24 horas tenham comprometimento renal.
Um nível >3 g/24 horas define a proteinúria na faixa nefrótica.
Resultado
pode apresentar proteína urinária elevada
avaliação de sinais vitais ortostáticos
Exame
Realizada para avaliar o envolvimento nervoso.[62]
Hipotensão ortostática com síncope pode ocorrer se houver neuropatia autonômica (por exemplo, na amiloidose do tipo AL ou amiloidose por ATTRv)
Resultado
pode indicar hipotensão ortostática
biópsia tecidual
Exame
A confirmação histológica de depósitos amiloides no tecido é essencial para estabelecer o diagnóstico de amiloidose.
O aspirado e biópsia de medula óssea e aspirado de gordura subcutânea (por exemplo, coxim gorduroso abdominal) são recomendados em pacientes com suspeita de amiloidose (por exemplo, se uma proteína monoclonal estiver presente).[62] Outros tecidos que podem ser submetidos à biópsia incluem lábio (glândula salivar menor) e reto.[62]
Aspirado e biópsia de medula óssea também podem ser usados para identificar plasmócitos clonais e avaliar a presença de mieloma múltiplo coexistente. Consulte Mieloma múltiplo.
Se os estudos de biópsia de medula óssea e tecido forem negativos, a biópsia de um órgão envolvido (por exemplo, coração, fígado, rim, nervo) deve ser realizada conforme indicação clínica.[62]
Biópsias de múltiplos tecidos ou órgãos são potencialmente perigosas e não são recomendadas.[78] A biópsia da medula óssea combinada com aspiração de gordura subcutânea (por exemplo, coxim gorduroso abdominal) identificará depósitos amiloides na maioria (85%) dos pacientes com amiloidose.[79]
A birrefringência verde-maçã em um aspirado ou amostra de biópsia corada com vermelho Congo é necessária para o diagnóstico.[80] A birrefringência verde-maçã após coloração com vermelho Congo confirma a presença de depósitos de amiloide, mas não diferencia entre diferentes tipos de amiloide.[62] A tipagem amiloide e/ou estudos imuno-histoquímicos devem ser realizados para confirmar o tipo de amiloide.
Os depósitos de amiloide são sempre extracelulares e parecem amorfos.[Figure caption and citation for the preceding image starts]: Vaso sanguíneo com coloração vermelho Congo em biópsia da medula óssea demonstrando birrefringência verde patognomônica de amiloidoseMorie A. Gertz, MD; cortesia da Mayo Clinic [Citation ends].
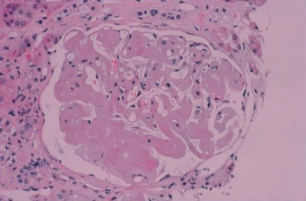
[Figure caption and citation for the preceding image starts]: Biópsia renal demonstrando depósitos amiloides como substituição amórfica da arquitetura glomerularMorie A. Gertz, MD; cortesia da Mayo Clinic [Citation ends].
Resultado
birrefringência verde-maçã positiva quando o aspirado ou a amostra da biópsia é corada com vermelho Congo; pode mostrar a presença de plasmócitos clonais na biópsia da medula óssea, se houver mieloma múltiplo
hibridização in situ fluorescente (FISH)
Investigações a serem consideradas
espectrometria de massa
Exame
Usado para confirmar o tipo de amiloide por meio da análise da composição da proteína amiloide no tecido da biópsia. Apresenta alta sensibilidade (90%). Atualmente, o padrão ouro para o tipo de amiloide.
A espectrometria de massa tem maior precisão diagnóstica que a imuno-histoquímica.[62]
Resultado
confirma o tipo de proteína amiloide (por exemplo, cadeia leve, amiloide A sérica ou transtirretina)
microscopia imunoeletrônica
Exame
Todas as formas de amiloide têm aparência fibrilar sob o microscópio eletrônico e são rígidas e não ramificadas, mas nem todas as fibrilas são necessariamente amiloides.
A microscopia imunoeletrônica pode ser usada em amostras de biópsia renal, a fim de esclarecer a natureza fibrilar do amiloide, mas não faz parte da prática clínica de rotina para outros materiais de biópsia.[Figure caption and citation for the preceding image starts]: Eletromicrografia demonstrando fibras amiloides clássicasMorie A. Gertz, MD; cortesia da Mayo Clinic [Citation ends].
Resultado
amiloidose de aparência fibrilar, rígida e não ramificada
estudos imuno-histoquímicos
Exame
Podem ser realizados a fim de distinguir as diversas formas de amiloidose sistêmica. Geralmente, são utilizados antissoros para cadeias leves de imunoglobulina, amiloide A sérica e transtirretina, disponíveis comercialmente, mas podem apresentar pouca especificidade e sensibilidade.
A imuno-histoquímica tem menor precisão diagnóstica do que a espectrometria de massa.[62]
Na maioria dos casos, a espectroscopia de massa e a microscopia imunoeletrônica são necessárias a fim de determinar o tipo de amiloidose subjacente.
Resultado
podem identificar cadeias leves de imunoglobulina, amiloide A sérica ou transtirretina
teste genético
Exame
Pacientes com suspeita clínica de amiloidose com imunofixação duvidosa ou normal e ensaio da cadeia leve livre de imunoglobulina sérica devem ser submetidos a testes genéticos.
Os testes genéticos podem ser usados para avaliar a amiloidose hereditária (por exemplo, variantes da transtirretina [ATTRv], cadeia alfa do fibrinogênio A, apolipoproteína A, lisozima) e síndrome febril periódica hereditária associada à amiloidose secundária (AA) (por exemplo, febre familiar do Mediterrâneo, síndrome periódica associada ao receptor do fator de necrose tumoral [TNF] [TRAPS], síndromes periódicas associadas à criopirina [CAPS; como a síndrome de Muckle-Wells], deficiência de mevalonato-quinase [anteriormente conhecida como síndrome de hiperimunoglobulinemia D]).[83][84]
O uso de testes genéticos é importante para evitar um diagnóstico incorreto (por exemplo, amiloidose do tipo AL) em pacientes com amiloidose hereditária.[30][62]
Resultado
pode ser positivo para amiloidose hereditária ou síndrome febril periódica hereditária
cintilografia com amiloide sérico P (SAP)
Exame
A cintilografia SAP é uma prática padrão no Reino Unido e nos Países Baixos, mas não está disponível em outros lugares.
Resultado
captação nos locais de deposição de amiloide
troponina sérica I ou T
Exame
Usada para avaliar o envolvimento cardíaco e para prognóstico; realizado em todos os pacientes.[62] Teste sensível para lesões do miocárdio na amiloidose.
A troponina I pode ser usada se a troponina T não estiver disponível.
O nível de troponina é incorporado aos critérios de estadiamento para amiloidose do tipo AL.[93][94][95] Consulte Critérios.
Pacientes com um nível detectável de troponina têm um prognóstico pior em relação àqueles com valores indetectáveis.[91]
Resultado
pode estar elevada
Fragmento N-terminal do peptídeo natriurético tipo B (NT-proPNB)
Exame
Usada para avaliar o envolvimento cardíaco e para prognóstico; realizado em todos os pacientes.[62] O peptídeo natriurético do tipo B (PNB) pode ser realizado, se o NT-proPNB não estiver disponível.
Um marcador sensível para estiramento do miocárdio e insuficiência cardíaca congestiva.[91][92] Mostrou ter importante valor prognóstico no manejo da amiloidose.[92]
O NT-proPNB é incorporado aos critérios de estadiamento para amiloidose do tipo AL.[93][94][95] Consulte Critérios.
Níveis de >300 ng/L (>300 pg/mL) são altamente sugestivos de comprometimento do miocárdio com amiloide.[98]
Os pacientes com <170 ng/L (<170 pg/mL) têm uma sobrevida significativamente maior que os pacientes com >170 ng/L (>170 pg/mL).
Resultado
pode estar elevada
perfil lipídico
Exame
Solicitado para avaliação de envolvimento cardíaco.[62]
Resultado
o resultado pode ser anormal
exames de coagulação
Exame
Inclui tempo de protrombina (TP), tempo de tromboplastina parcial (TTP) e fator X, conforme indicado clinicamente.
Solicitados para avaliação de anormalidades de coagulação relacionadas à amiloidose.[62]
Pacientes com amiloidose do tipo AL podem desenvolver deficiência adquirida do fator X devido à adsorção do fator X às fibrilas amiloides.[99]
Resultado
podem estar anormais
eletrocardiograma (ECG)
Exame
Deve ser realizado em todos os pacientes (sintomáticos ou assintomáticos) com suspeita ou confirmação de amiloidose.[55][71][86] O retardo no diagnóstico de um comprometimento cardíaco está associado a desfechos desfavoráveis.[85]
O comprometimento cardíaco é relatado em 55% a 76% dos pacientes com amiloidose do tipo AL.[42][43][49][65] O comprometimento cardíaco pode também ocorrer em pacientes com amiloidose hereditária (por exemplo, amiloidose por ATTRv) ou amiloidose por transtirretina do tipo selvagem (ATTRwt).[54][55]
Resultado
pode mostrar anormalidades de condução; fibrilação atrial
ecocardiografia (com Doppler tecidual e deformação longitudinal global)
Exame
Deve ser realizada em todos os pacientes (sintomáticos ou assintomáticos) com suspeita (por exemplo, NT-proPNB elevado) ou amiloidose confirmada.[55][71][86] O retardo no diagnóstico de um comprometimento cardíaco está associado a desfechos desfavoráveis.[85]
O comprometimento cardíaco é relatado em 55% a 76% dos pacientes com amiloidose do tipo AL.[42][43][49][65] O comprometimento cardíaco pode também ocorrer em pacientes com amiloidose hereditária (por exemplo, amiloidose por ATTRv) ou amiloidose por transtirretina do tipo selvagem (ATTRwt).[54][55]
A ecocardiografia com Doppler tecidual e um exame de imagem com deformação longitudinal global podem identificar padrões altamente sugestivos de amiloidose cardíaca.[55][86]
A deformação miocárdica é definida como a porcentagem de alteração no comprimento da fibra miocárdica por comprimento da unidade, e a taxa de deformação (strain rate) é o derivado em relação ao tempo de deformação.[100][101]
Resultado
pode demonstrar disfunção diastólica (enchimento restritivo das câmaras ventriculares); espessamento do septo interventricular; redução da fração de ejeção; aumento da espessura da parede do ventrículo esquerdo (VE); padrão de strain longitudinal típico do VE; redução da velocidade do Doppler tecidual
ressonância nuclear magnética (RNM) cardíaca
Exame
A RNM cardíaca pode ser útil se a ecocardiografia for sugestiva ou indeterminada. No entanto, ela não é diagnóstica e não consegue distinguir entre a amiloidose do tipo AL e a amiloidose de TTR.[71][86]
Os parâmetros da RNM cardíaca devem ser combinados com achados eletrocardiográficos, clínicos, biomarcadores e outros exames de imagem para maximizar a precisão diagnóstica.[86]
A anulação miocárdica após a injeção de gadolínio é altamente específica de amiloidose cardíaca.
Resultado
pode mostrar tempos de relaxamento em T1 e T2 significativamente elevados em comparação com os controles correspondentes à idade
cintilografia cardíaca
Exame
A cintilografia cardíaca com marcadores ósseos marcados com tecnécio (99mTc-PYP ou 99mTc-DPD) deve ser realizada se houver suspeita de amiloidose cardíaca por transtirretina (TTR).[30] A cintilografia é sensível para a detecção de amiloidose cardíaca do tipo TTR e permite o diagnóstico clínico não invasivo.[71][86][87][88] Entretanto, ele carece de especificidade, portanto, falsos-positivos podem ser observados. Um resultado negativo de proteína monoclonal juntamente com captação cardíaca na cintilografia (grau 2 ou 3) confirma o diagnóstico de amiloidose por TTR (sem necessidade de biópsia).[62][71] Se a captação da cintilografia cardíaca for 1 ou 0, será necessária biópsia (cardíaca ou não cardíaca, dependendo da apresentação).[62]
Em homens mais velhos com uma ecocardiografia condizente com amiloidose cardíaca, uma cintilografia cardíaca que mostre captação de ⁹⁹ᵐTc-PYP ou ⁹⁹ᵐTc-DPD no tecido miocárdico aumenta a suspeita de amiloidose por TTR do tipo selvagem (ATTRwt).
Resultado
pode mostrar captação miocárdica de ⁹⁹ᵐTc-PYP ou ⁹⁹ᵐTc-DPD
estudos de eletromiografia/condução nervosa
Exame
Solicitados para avaliar o envolvimento nervoso (por exemplo, se houver neuropatia periférica significativa).[62]
Resultado
o resultado pode ser anormal
testes endócrinos
Exame
Incluem os níveis de hormônio estimulante da tireoide e cortisol.
Solicitados para avaliação de envolvimento endócrino.[62]
Resultado
o resultado pode ser anormal
testes de função pulmonar
Exame
Solicitado para avaliação de envolvimento pulmonar.[62]
Resultado
o resultado pode ser anormal
Tomografia computadorizada (TC)
Exame
A TC de corpo inteiro de baixa dosagem (WBLD-CT) pode ser usada para detectar lesões ósseas osteolíticas se uma proteína monoclonal for detectada.[62]
A TC abdominal pode ser usada para avaliar o envolvimento do fígado, conforme indicação clínica.[62]
Uma TC de tórax pode ser usada para avaliar o envolvimento pulmonar, se clinicamente indicado.[62]
Resultado
A TC-WBLD pode detectar lesões ósseas osteolíticas; a TC abdominal pode mostrar envolvimento hepático (hepatomegalia); a TC de tórax pode mostrar envolvimento pulmonar
tomografia por emissão de pósitrons com fluordesoxiglucose (FDG-PET)-CT
Exame
Pode ser usada para detectar lesões ósseas osteolíticas se uma proteína monoclonal for detectada.
Resultado
pode detectar lesões ósseas osteolíticas
radiografia do esqueleto
Exame
Pode ser usada para detectar lesões ósseas osteolíticas se uma proteína monoclonal for detectada, mas somente se modalidades de imagem avançadas (TC, FDG-PET-CT) não estiverem disponíveis.[62]
A sensibilidade é significativamente menor que a da TC e da FDG-PET-CT.
Resultado
pode detectar lesões ósseas osteolíticas
ultrassonografia abdominal
Exame
Solicitado para avaliar o envolvimento do fígado, conforme indicação clínica.[62]
Resultado
pode mostrar envolvimento do fígado (hepatomegalia)
exame de esvaziamento gástrico
endoscopia digestiva alta e baixa
Exame
Solicitada se os sintomas sugerirem envolvimento gastrointestinal.[62]
Resultado
pode identificar características de depósitos amiloides (por exemplo, protrusões polipoides, erosões, ulcerações)
Cintilografia com amiloide sérico P (SAP) marcado com 123I
Exame
Pode ser usada para avaliar a extensão do envolvimento e disfunção de órgãos no diagnóstico e durante o acompanhamento.
A cintilografia com SAP é uma prática padrão no Reino Unido e na Holanda, mas o uso em outros países pode variar.[78][90]
Resultado
mostra envolvimento de órgãos (incluindo quantificação da carga amiloide)
O uso deste conteúdo está sujeito ao nosso aviso legal