Imagens e vídeos
IMAGENS

Encefalite
Biópsia do cérebro de um paciente imunocompetente com meningite criptocócica exibindo meninges com células inflamatórias e Cryptococcus
Do acervo pessoal de Robert E. Schmidt; usado com permissão
Veja esta imagem em contexto nas seguintes seções:

Encefalite
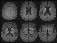
Séries de imagens de ressonância nuclear magnética (RNM) do cérebro de um paciente com encefalomielite disseminada aguda: lesões assimétricas "felpudas" sobre os cornos ventriculares bilaterais e tálamos
Do acervo pessoal de Catalina C. Ionita, MD; usado com permissão
Veja esta imagem em contexto nas seguintes seções:

Encefalite
RNM cranioencefálica: o sinal pulvinar (um termo que se refere à hiperintensidade pulvinar bilateral) em um paciente com doença de Creutzfeldt-Jakob em imagens ponderadas por difusão
Do acervo pessoal de Leo H. Wang; usado com permissão
Veja esta imagem em contexto nas seguintes seções:

Encefalite
Biópsia do córtex de um neonato com encefalite por citomegalovírus (CMV) exibindo células aumentadas (setas) com inclusões intranucleares. A seta de cima aponta para um neurônio com dois núcleos, cada um com uma inclusão nuclear
Do acervo pessoal de Robert E. Schmidt; usado com permissão
Veja esta imagem em contexto nas seguintes seções:

Encefalite
Corte coronal do cérebro de paciente com meningoencefalite criptocócica exibindo aparência clássica de estruturas de "bolha de sabão" nos gânglios da base (setas) resultando de expansão criptocócica de espaços de Virchow-Robbin em volta dos vasos lenticuloestriados
Do acervo pessoal de Robert E. Schmidt; usado com permissão
Veja esta imagem em contexto nas seguintes seções:

Encefalite
Biópsia do tronco encefálico de um paciente com vírus da imunodeficiência humana (HIV) com encefalite por citomegalovírus (CMV). O revestimento ependimal exibe células aumentadas (setas) com inclusões intranucleares
Do acervo pessoal de Robert E. Schmidt; usado com permissão
Veja esta imagem em contexto nas seguintes seções:

Encefalite
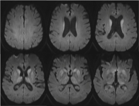
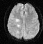
As primeiras 5 imagens são imagens FLAIR (recuperação da inversão atenuada por fluidos) de paciente com meningoencefalite por vírus da varicela-zóster exibindo hiperintensidades de substância cinzenta e branca. A última imagem é a imagem T1 com contraste exibindo captação difusa no parênquima e na leptomeninge
Do acervo pessoal de Eric E. Kraus; usado com permissão
Veja esta imagem em contexto nas seguintes seções:

Encefalite
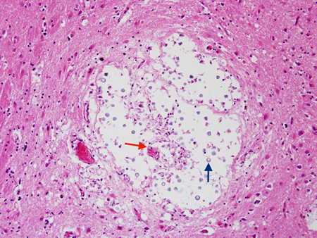
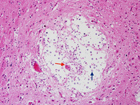
Biópsia de gânglios da base de paciente com meningoencefalite criptocócica exibindo expansão criptocócica (seta azul) de espaços de Virchow-Robbin em volta de um vaso lenticuloestriado (seta vermelha)
Do acervo pessoal de Robert E. Schmidt; usado com permissão
Veja esta imagem em contexto nas seguintes seções:

Encefalite
Corte coronal do cérebro de um paciente com vírus da imunodeficiência humana (HIV) com toxoplasmose, exibindo infecção da parte superior periventricular do tálamo esquerdo
Do acervo pessoal de Robert E. Schmidt; usado com permissão
Veja esta imagem em contexto nas seguintes seções:

Encefalite
RNM cranioencefálica: fitas corticais (hiperintensidade nos giros corticais) em um paciente com doença de Creutzfeldt-Jakob em imagens ponderadas por difusão
Do acervo pessoal de Leo H. Wang; usado com permissão
Veja esta imagem em contexto nas seguintes seções:

Encefalite
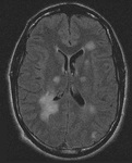
Séries de imagens de ressonância nuclear magnética (RNM) do cérebro de um paciente com encefalomielite disseminada aguda: centro semioval
Do acervo pessoal de Catalina C. Ionita, MD; usado com permissão
Veja esta imagem em contexto nas seguintes seções:

Encefalite
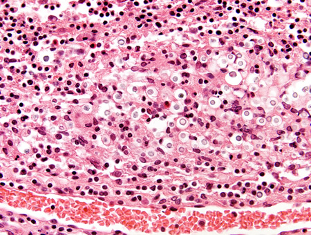
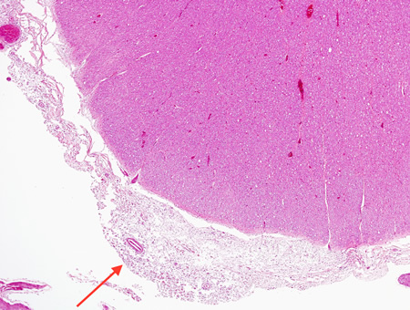
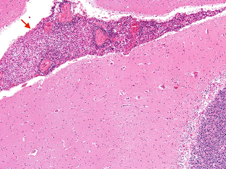
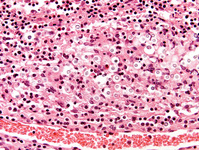
Biópsia do cérebro de paciente imunocomprometido com meningite criptocócica sob baixa magnificação. As meninges estão expandidas (seta), mas o córtex está relativamente não envolvido histologicamente
Do acervo pessoal de Robert E. Schmidt; usado com permissão
Veja esta imagem em contexto nas seguintes seções:

Encefalite
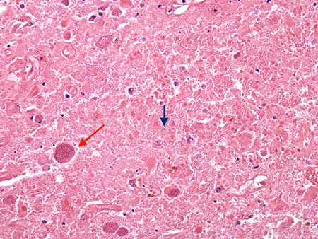
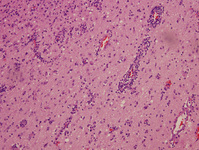
Biópsia do cérebro de paciente com encefalite por vírus da imunodeficiência humana (HIV) subaguda exibindo a célula gigante multinucleada característica (seta vermelha), que contém o vírus HIV. As células gigantes multinucleadas são da linhagem de histiócito/macrófago. Também há astrocitose associada
Do acervo pessoal de Robert E. Schmidt; usado com permissão
Veja esta imagem em contexto nas seguintes seções:

Encefalite
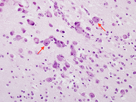
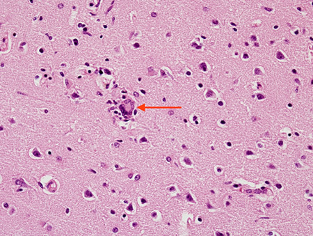
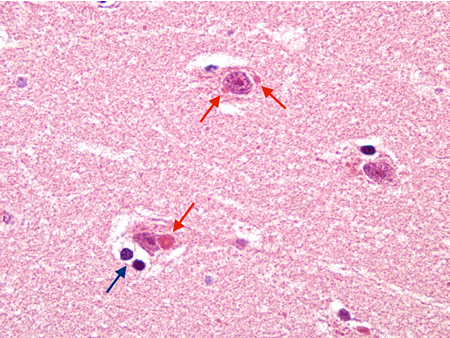
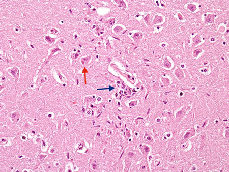
Biópsia do hipocampo de paciente com raiva exibindo 2 neurônios com corpos de Negri eosinofílicos (setas vermelhas). Eles são encontrados em áreas, geralmente com uma pequena reação inflamatória. As setas azuis destacam células microgliais
Do acervo pessoal de Robert E. Schmidt; usado com permissão
Veja esta imagem em contexto nas seguintes seções:

Encefalite
Autópsia macroscópica do cérebro de paciente com meningite criptocócica exibindo a superfície com um aspecto "vidrado". Também há um shunt (derivação) presente
Do acervo pessoal de Robert E. Schmidt; usado com permissão
Veja esta imagem em contexto nas seguintes seções:

Encefalite
Biópsia das meninges de pacientes com meningite criptocócica coradas com mucicarmina, exibindo organismos fúngicos, especialmente em células gigantes
Do acervo pessoal de Robert E. Schmidt; usado com permissão
Veja esta imagem em contexto nas seguintes seções:

Encefalite
Biópsia do hipocampo de paciente com raiva exibindo neurônios com corpos de Negri eosinofílicos (seta vermelha). A seta azul destaca uma coleção de oligodendrócitos por satélite
Do acervo pessoal de Robert E. Schmidt; usado com permissão
Veja esta imagem em contexto nas seguintes seções:

Encefalite
Biópsia do cérebro de paciente imunocomprometido com meningite criptocócica exibindo as meninges com organismo criptocócico translúcido arredondado (seta vermelha) assim como uma levedura de brotamento (seta azul)
Do acervo pessoal de Robert E. Schmidt; usado com permissão
Veja esta imagem em contexto nas seguintes seções:

Encefalite
Séries de imagens de ressonância nuclear magnética (RNM) do cérebro de um paciente com encefalomielite disseminada aguda: regiões periventriculares
Do acervo pessoal de Catalina C. Ionita, MD; usado com permissão
Veja esta imagem em contexto nas seguintes seções:

Encefalite
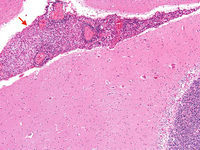
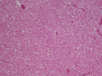
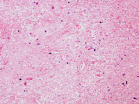
Biópsia do cérebro de paciente imunocompetente com meningite criptocócica sob baixa magnificação exibindo meninges com inflamação (seta vermelha)
Do acervo pessoal de Robert E. Schmidt; usado com permissão
Veja esta imagem em contexto nas seguintes seções:

Encefalite
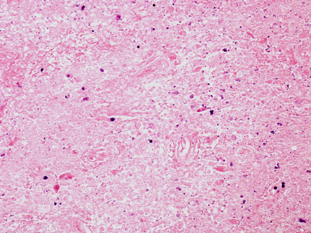
Biópsia do tálamo posterior do paciente com doença de Creutzfeldt-Jakob exibindo as mudanças espongiformes
Do acervo pessoal de Robert E. Schmidt; usado com permissão
Veja esta imagem em contexto nas seguintes seções:

Encefalite
Biópsia do cérebro de paciente com leucoencefalite por vírus da imunodeficiência humana (HIV) subaguda exibindo a célula multinucleada característica (seta vermelha) na substância branca
Do acervo pessoal de Robert E. Schmidt; usado com permissão
Veja esta imagem em contexto nas seguintes seções:

Encefalite
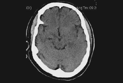
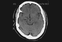
TC de crânio sem contraste de um paciente com encefalite por HSV: mostra hipodensidades sutis envolvendo a região insular esquerda. Algum turvamento das margens cinzas-brancas e apagamento dos sulcos na região temporal esquerda são detectáveis
Do acervo pessoal de Catalina C. Ionita, MD; usado com permissão
Veja esta imagem em contexto nas seguintes seções:

Encefalite
Biópsia do cérebro de paciente com leucoencefalite por vírus da imunodeficiência humana (HIV) subaguda exibindo a célula multinucleada característica (seta vermelha) na substância branca próximo a células inflamatórias no espaço de Virchow-Robin
Do acervo pessoal de Robert E. Schmidt; usado com permissão
Veja esta imagem em contexto nas seguintes seções:

Encefalite
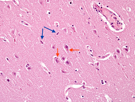
Biópsia do hipocampo de paciente com raiva exibindo um neurônio com um corpo de Negri citoplasmático eosinofílico (seta vermelha). A seta azul destaca uma coleção de células microgliais próximas a um vaso sanguíneo
Do acervo pessoal de Robert E. Schmidt; usado com permissão
Veja esta imagem em contexto nas seguintes seções:

Encefalite
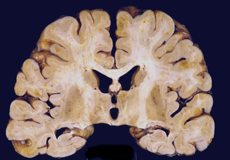
Corte coronal do cérebro de paciente com vírus da imunodeficiência humana (HIV) aos 30 anos. Ele tinha encefalite por HIV subaguda envolvendo tanto a substância branca quanto a substância cinzenta de forma difusa. Os ventrículos estavam aumentados refletindo substância branca e perda cortical
Do acervo pessoal de Robert E. Schmidt; usado com permissão
Veja esta imagem em contexto nas seguintes seções:

Encefalite
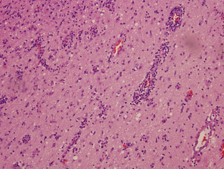
Biópsia do cérebro do lobo temporal direito: a coloração H&E clássica mostra evidência de infiltrado inflamatório irregular, mas extenso, de pequenas células mononucleares (linfócitos) no parênquima do cérebro, predominantemente ao redor das paredes vasculares. Estudos de reação em cadeia da polimerase da amostra da biópsia foram positivos para infecção por vírus Epstein-Barr (EBV)
Do acervo pessoal de Catalina C. Ionita, MD; usado com permissão
Veja esta imagem em contexto nas seguintes seções:

Encefalite
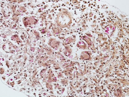
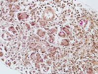
Biópsia de paciente com vírus da imunodeficiência humana (HIV) com toxoplasmose, com os taquizoítos identificados usando imuno-histoquímica
Do acervo pessoal de Robert E. Schmidt; usado com permissão
Veja esta imagem em contexto nas seguintes seções:

Encefalite
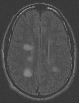
Séries de imagens de ressonância nuclear magnética (RNM) do cérebro de um paciente com encefalomielite disseminada aguda: lesões hiperintensas de recuperação da inversão atenuada por fluidos (FLAIR) envolvendo o pedúnculo cerebelar esquerdo
Do acervo pessoal de Catalina C. Ionita, MD; usado com permissão
Veja esta imagem em contexto nas seguintes seções:

Encefalite
Biópsia de paciente com vírus da imunodeficiência humana (HIV) com toxoplasmose, exibindo pedaços de debris celulares e taquizoítos. Os taquizoítos são arredondados, uniformes e difíceis de serem identificados sem coloração para anticorpo (veja a próxima imagem)
Do acervo pessoal de Robert E. Schmidt; usado com permissão
Veja esta imagem em contexto nas seguintes seções:

Encefalite
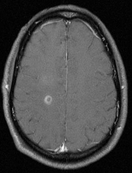
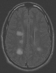
Séries de imagens de ressonância nuclear magnética (RNM) do cérebro de um paciente com encefalomielite disseminada aguda: imagem de pós-contraste com gadolínio em T1 mostra o realce em anel ao redor de uma lesão na região do centro semioval e realce fraco difuso logo acima dessa área
Do acervo pessoal de Catalina C. Ionita, MD; usado com permissão
Veja esta imagem em contexto nas seguintes seções:

Encefalite
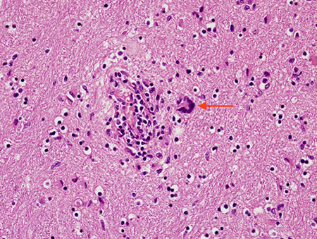
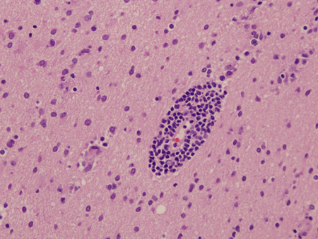
Biópsia do cérebro do lobo temporal direito: uma exibição aumentada de um vaso sanguíneo circundado por um infiltrado inflamatório acentuado também é observada. Estudos de reação em cadeia da polimerase da amostra da biópsia foram positivos para infecção por vírus Epstein-Barr (EBV)
Do acervo pessoal de Catalina C. Ionita, MD; usado com permissão
Veja esta imagem em contexto nas seguintes seções:

Encefalite
Biópsia do cérebro de paciente com vírus da imunodeficiência humana (HIV) com toxoplasmose, exibindo bradizoítos encistados (seta vermelha) e taquizoítos (seta azul)
Do acervo pessoal de Robert E. Schmidt; usado com permissão
Veja esta imagem em contexto nas seguintes seções:

Encefalite
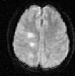
Séries de imagens de RNM do cérebro de um paciente com encefalomielite disseminada aguda: imagens ponderadas por difusão do mesmo paciente mostram sinal de alta intensidade na mesma área, o que está correlacionado à difusão aumentada (intensa nos mapas de coeficiente de difusão aparente [CDA])
Do acervo pessoal de Catalina C. Ionita, MD; usado com permissão
Veja esta imagem em contexto nas seguintes seções:
O uso deste conteúdo está sujeito ao nosso aviso legal