Imagens e vídeos
IMAGENS

Avaliação do coma
Torsades de pointes
Do acervo de Amar Krishnaswamy, usado com permissão
Veja esta imagem em contexto nas seguintes seções:

Avaliação do coma
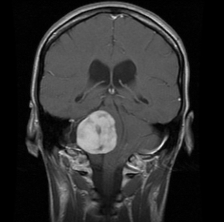
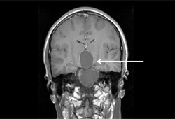
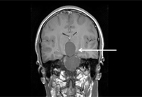
Neuroma acústico: ressonância nuclear magnética (RNM) coronal pós-contraste
Do acervo do Ryojo Akagami; usado com permissão
Veja esta imagem em contexto nas seguintes seções:

Avaliação do coma
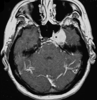
Meningioma: imagem coronal aumentada com contraste demonstra meningioma no seio cavernoso no lado esquerdo
Da coleção pessoal de William T. Couldwell; usada com permissão
Veja esta imagem em contexto nas seguintes seções:

Avaliação do coma
Sinal de Battle: equimose superficial ao longo do processo mastoide
van Dijk GW. Practical Neurology. 2011;11(1):50-55; usado com permissão
Veja esta imagem em contexto nas seguintes seções:

Avaliação do coma
Anormalidades respiratórias, determinação gasosa do sangue e possibilidades de diagnóstico
Tabela criada por G. Bryan Young, MD; usado com permissão
Veja esta imagem em contexto nas seguintes seções:

Avaliação do coma
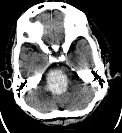
Hemorragia hipertensiva em uma ponte que se rompeu no quarto ventrículo e estendeu-se para o mesencéfalo
Do acervo pessoal de G. Bryan Young, MD; usado com permissão
Veja esta imagem em contexto nas seguintes seções:

Avaliação do coma
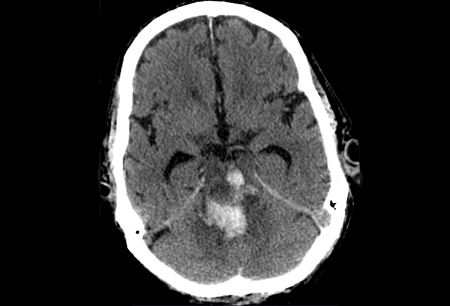
Hemorragia do tronco encefálico no mesencéfalo estendida de uma hemorragia hipertensiva na ponte
Do acervo pessoal de G. Bryan Young, MD; usado com permissão
Veja esta imagem em contexto nas seguintes seções:

Avaliação do coma
Craniofaringioma: ressonância nuclear magnética (RNM) coronal pós-contraste
Do arquivo pessoal de Marc C. Chamberlain; usado com permissão
Veja esta imagem em contexto nas seguintes seções:

Avaliação do coma
As principais síndromes tóxicas, uma constelação de características peculiares a determinadas classes de medicamentos
Tabela criada por G. Bryan Young, MD; usado com permissão
Veja esta imagem em contexto nas seguintes seções:

Avaliação do coma
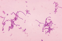
Fotomicrografia de bactérias da espécie Streptococcus com coloração de Gram
Da CDC Public Health Image Library
Veja esta imagem em contexto nas seguintes seções:

Avaliação do coma
Meduloblastoma: vista sagital de ressonância nuclear magnética (RNM) mostrando uma lesão sólida e cística com ávido realce ao contraste que preenche o quarto ventrículo; presença de hidrocefalia obstrutiva
Do acervo de Peter B. Storm; usado com permissão
Veja esta imagem em contexto nas seguintes seções:

Avaliação do coma
Taquicardia ventricular monomórfica
Do acervo de Amar Krishnaswamy, usado com permissão
Veja esta imagem em contexto nas seguintes seções:
O uso deste conteúdo está sujeito ao nosso aviso legal