Investigações

Primeiras investigações a serem solicitadas

Hemograma completo

Exame
Resultado
Exame

Aumento dos leucócitos polimorfonucleares (>75%). Poder altamente discriminatório quando combinado com a história.[43]

Leucocitose ≥16.000/microlitro e nível de proteína C-reativa na admissão ≥10 mg/L são fortes fatores preditivos para apendicite nas crianças.[7]

Resultado

leucocitose leve (10-18 x 10⁹/L ou 10,000-18,000/microlitro)

proteína C-reativa

Exame
Resultado
Exame

A proteína C-reativa provavelmente estará elevada.[9]

Um nível de proteína C-reativa na admissão ≥10 mg/L e uma leucocitose ≥16.000/microlitro são fortes fatores preditivos para apendicite nas crianças.

Resultado

não há valor de corte claro para uma proteína C-reativa elevada nas crianças; a proteína C-reativa provavelmente estará elevada

tomografia computadorizada (TC) abdominal e pélvica

Exame
Resultado
Exame

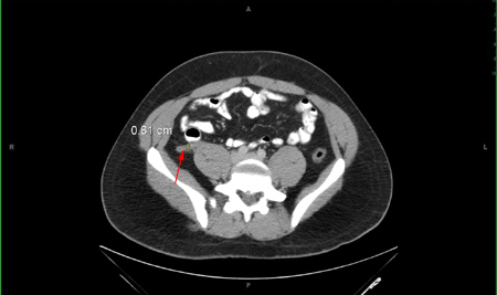
Espessamento e dilatação da parede, bem como alterações inflamatórias nos tecidos adjacentes, são achados adicionais observados em uma TC de abdome e pelve.[69]

A TC do apêndice é cada vez mais usada como teste diagnóstico inicial para apendicite aguda, e é prática rotineira nos EUA solicitar uma TC para pacientes que comparecem ao pronto-socorro com sintomas de apendicite aguda.[29] A Infectious Diseases Society of America (IDSA) oferece uma recomendação condicional para TC abdominal como modalidade de imagem inicial para diagnosticar apendicite aguda.[53]​ A TC também é indicada em quadros atípicos.[33][54]

O contraste intravenoso geralmente é apropriado sempre que uma TC é obtida em adultos com suspeita de apendicite aguda; no entanto, a TC sem contraste intravenoso também tem alta precisão diagnóstica na detecção de apendicite aguda e pode ser apropriada.​[33]​​[53] A TC com contraste intravenoso, com ou sem contraste oral, tem uma sensibilidade de até 100% em comparação com 92% de sensibilidade da TC com contraste não intravenoso.[56][57][58]​​ A IDSA recomenda considerar observação e cuidados de suporte, com ou sem antibióticos, se a TC for negativa, mas a suspeita clínica de apendicite aguda persistir.[53] Se a suspeita clínica for alta, considere intervenção cirúrgica.[53] A laparoscopia também pode ser razoável se houver incerteza diagnóstica.

Em gestantes que apresentam características de apendicite, é necessário realizar uma ultrassonografia abdominal para identificar o apêndice.[53] Se o exame de ultrassonografia não for conclusivo, será necessário realizar uma ressonância nuclear magnética (RNM) abdominal (principalmente no início da gravidez).[33][53][54]

Em crianças com dúvida diagnóstica e resultados de ultrassonografia inconclusivos, uma técnica de imagem de segunda linha (TC ou RNM) deve ser usada com base na disponibilidade e experiência local.[7][Figure caption and citation for the preceding image starts]: Tomografia computadorizada (TC) abdominal – espessamento do apêndice.Nasim Ahmed, MBBS, FACS; usado com permissão [Citation ends].com.bmj.content.model.Caption@35252a12

Resultado

apêndice anormal (diâmetro >6 mm) identificado ou apendicolito calcificado observado em associação com inflamação periapendicial, acúmulo de gordura

Investigações a serem consideradas

ultrassonografia abdominal

Exame
Resultado
Exame

Embora a TC tenha sensibilidade e especificidade superiores à ultrassonografia no diagnóstico de apendicite, a ultrassonografia está mais disponível, é mais rápida e pode ser realizada à beira do leito.[7][48][49][50]​​​ A ultrassonografia tem uma sensibilidade de 71% a 94% e uma especificidade de 60% a 98% para a apendicite aguda; se a ultrassonografia for inequivocamente positiva para apendicite, a ultrassonografia tem precisão comparável à de uma TC ou RNM positiva para confirmar apendicite.[51][52]​ Se, à ultrassonografia, um apêndice normal for visualizado em seu tamanho total, será possível descartar a apendicite aguda. No entanto, esse é raramente o caso, e a maior utilidade da ultrassonografia é detectar uma causa alternativa da dor abdominal que descarte a apendicite.[7]

Em gestantes que apresentam características de apendicite, é necessário realizar uma ultrassonografia abdominal para identificar o apêndice.[53]​ Se o exame de ultrassonografia não for conclusivo, pode ser apropriado realizar uma RNM abdominal (principalmente no início da gravidez).​[33][35]​​​​[53][54]

Em crianças, a ultrassonografia no local de atendimento é a ferramenta diagnóstica de primeira linha mais adequada, caso seja indicada uma investigação por imagem com base na avaliação clínica.[52][53]

A sensibilidade e a especificidade da ultrassonografia podem ser maiores em crianças, comparadas a adultos.[48][70][71]

Em crianças com resultados inconclusivos na ultrassonografia, uma técnica de imagem de segunda linha (TC ou RNM) pode ser escolhida com base na disponibilidade local e na experiência.[7][53]​ A TC de baixa dose é preferencial se a ultrassonografia for negativa.[7]

Resultado

estrutura aperistáltica ou não comprimível com diâmetro externo >6 mm, coleção de fluidos em caso de perfuração, acúmulo de gordura, apendicolito

urinálise

Exame
Resultado
Exame

Se o resultado for positivo para eritrócitos, leucócitos ou nitratos, será necessário considerar um diagnóstico alternativo, como cólica renal ou infecção do trato urinário.

Resultado

negativo

teste de urina para detecção de gravidez

Exame
Resultado
Exame

Se o resultado for positivo, será necessário considerar a possibilidade de gravidez ectópica.

Resultado

negativo

RNM abdominal e pélvica na gestação

Exame
Resultado
Exame

Em gestantes que apresentam características de apendicite, é necessário realizar uma ultrassonografia abdominal para identificar o apêndice. Se o exame de ultrassonografia não for conclusivo, será necessário realizar uma ressonância nuclear magnética (RNM) abdominal (principalmente no início da gravidez).[33][54]​ A RNM provou ser um teste diagnóstico altamente preciso para a apendicite aguda, com uma sensibilidade de 0.96 e uma especificidade de 0.97 nas gestantes.[59]

Uma RNM negativa ou inconclusiva não descarta apendicite, e a cirurgia ainda deve ser considerada se a suspeita clínica for alta.[7]

Resultado

apêndice anormal (diâmetro >6 mm) identificado e evidência de alterações inflamatórias periapendiciais, apendicolito, acúmulo de gordura

Novos exames

proporção neutrófilos/linfócitos

Exame
Resultado
Exame

A simples proporção entre neutrófilos e linfócitos medidos no sangue periférico demonstrou ter poder preditivo moderado para apendicite aguda e pode ser uma ferramenta adjuvante útil para o diagnóstico.[61][72]

Resultado

proporção neutrófilos/linfócitos elevada (>4.7)

sódio sérico

Exame
Resultado
Exame

Vários estudos demonstraram uma ligação entre hiponatremia e apendicite aguda e como preditor de apendicite complicada.[62][63]

Resultado

hiponatremia

pentraxina-3

Exame
Resultado
Exame

A pentraxina-3 é uma proteína de fase aguda, que pode estar elevada na apendicite aguda.[64]

Resultado

pentraxina-3 elevada

amiloide A sérica

Exame
Resultado
Exame

Uma revisão sistemática e metanálise mostrou que a amiloide A sérica tem sensibilidade e especificidade para apendicite aguda de 0.87 e 0.74, respectivamente.[65]

Resultado

proteina amiloide A sérica elevada

índices plaquetários

Exame
Resultado
Exame

Estudos sugerem que o baixo volume médio de plaquetas é um marcador de apendicite aguda.[66][67]

Resultado

baixo volume plaquetário médio

O uso deste conteúdo está sujeito ao nosso aviso legal