Investigações
Primeiras investigações a serem solicitadas
radiografia torácica
Exame
Teste de primeira linha.
Em indivíduos imunocompetentes é quase sempre anormal. Apresenta-se tipicamente como opacidades fibronodulares nos lobos superiores com ou sem cavitação. O padrão atípico inclui opacidades nos lobos médio e inferior, linfadenopatia hilar ou paratraqueal e/ou derrame pleural.[Figure caption and citation for the preceding image starts]: Tuberculose pulmonar com cavitaçãoDo acervo pessoal de David Horne e do Dr. Masahiro Narita; usado com permissão [Citation ends].
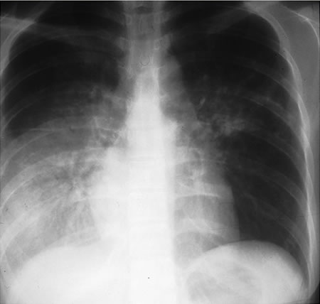
[Figure caption and citation for the preceding image starts]: Opacidades no lobo inferior direito em um paciente com tuberculose pulmonar e diabetesDo acervo pessoal de David Horne e do Masahiro Narita; usado com permissão [Citation ends].
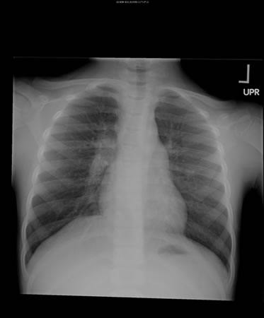
[Figure caption and citation for the preceding image starts]: Adenopatia hilar direita em uma criançaDo acervo pessoal de David Horne e do Masahiro Narita; usado com permissão [Citation ends].
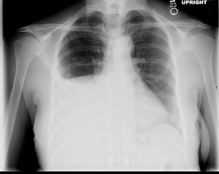
[Figure caption and citation for the preceding image starts]: Derrame pleural no lado direitoDo acervo pessoal de David Horne e do Masahiro Narita; usado com permissão [Citation ends].
Estudos indicam que uma radiografia torácica atípica reflete um estado de imunossupressão, e não tuberculose primária.[51]
A sorologia para HIV está associada a linfadenopatia, derrame, comprometimento de zonas pulmonares inferiores e padrão miliar; lesões cavitárias são menos frequentemente observadas. Pacientes com HIV avançado podem apresentar uma radiografia torácica normal.[51][52]
Resultado
anormal típico para tuberculose (TB); anormal atípico para TB; ou normal
baciloscopia do escarro para detecção de bacilos álcool-ácido resistentes
Exame
O escarro pode ser espontaneamente expectorado ou induzido (com precauções adequadas para se evitar transmissão), devendo-se coletar três amostras (com intervalo mínimo de 8 horas, incluindo uma amostra no início da manhã, que é a melhor para detectar o Mycobacterium tuberculosis).[12]
O médico examinador procura por bacilos álcool-ácido resistentes (BAAR) (o corante da coloração permanece mesmo após exposição a meio ácido) condizente com M tuberculosis. Outros organismos, principalmente micobactérias não tuberculosas (por exemplo, Mycobacterium kansasii e Mycobacterium avium), são positivos à coloração para pesquisa de BAAR. Portanto, um esfregaço BAAR positivo não é específico nas populações com baixa prevalência de TB.
Se o escarro for positivo para BAAR, o resultado será graduado de 1+ a 3+ ou 4+, dependendo do número de organismos observados e da escala de graduação. A positividade do esfregaço e sua graduação podem auxiliar na avaliação do grau de infectividade e carga da TB. Nos EUA, a sensibilidade é de 50% a 60%.[53]
Resultado
positiva para BAAR
cultura de escarro
Exame
O exame mais sensível e específico. Deve ser sempre realizado, pois ele é necessário para a identificação precisa e para teste de sensibilidade ao medicamento.
O crescimento em meio sólido pode demorar 4 a 8 semanas; o crescimento em meio líquido pode ser detectado em 1 a 3 semanas. O crescimento em meio sólido, caso positivo, é descrito pela escala de quantificação (1+ a 4+).
Enquanto em tratamento, o paciente deve realizar culturas de escarro pelo menos uma vez ao mês, até que duas culturas consecutivas sejam negativas.[9]
Resultado
positiva; sem crescimento; ou outras micobactérias
Hemograma completo
Exame
Leucocitose (sem desvio à esquerda) e anemia são observadas em 10% dos pacientes.[54] Outras anormalidades incluem contagens elevadas de monócitos e eosinófilos. A pancitopenia pode ser observada na doença disseminada.
Resultado
leucócitos elevados; hemoglobina (Hb) baixa
testes de amplificação de ácido nucleico (NAATs)
Exame
O NAAT deve ser realizado em pelo menos uma amostra respiratória quando o diagnóstico de TB estiver sendo considerado. O NAAT pode acelerar o diagnóstico em casos de esfregaço negativo e pode ser útil para diferenciar as micobactérias não tuberculosas quando o escarro para BAAR for positivo no esfregaço, mas negativo no NAAT.[33] Genotipagem pode ser considerada útil em surtos de TB para identificar a transmissão de TB, principalmente quando não foi detectado contato no curso das investigações epidemiológicas. Vários NAATs rápidos estão disponíveis e alguns também são capazes de detectar genes que codificam resistência aos medicamentos para TB.[34][35][36]
Resultado
positivos para M tuberculosis
Investigações a serem consideradas
aspirado gástrico
Exame
Usado em pacientes incapazes de produzir expectoração (por exemplo, crianças pequenas). Baseado na coleção noturna de secreções brônquicas no estômago. No início da manhã após 8 a 10 horas de jejum, 10 a 20 mL de água estéril infundida no estômago através de sonda nasogástrica e 50 mL aspirados. Após neutralização, o aspirado é enviado para cultura.[12]
Resultado
positivo para bacilos álcool-ácido resistentes
broncoscopia e lavagem broncoalveolar
Exame
Muitos estudos demonstram que a indução do escarro tem melhor sensibilidade para o diagnóstico de TB do que a broncoscopia e a lavagem broncoalveolar (LBA).[12] A LBA pode ser indicada em pacientes nos quais a indução do escarro é malsucedida ou o esfregaço e o teste de amplificação de ácido nucleico são negativos. A broncoscopia é útil quando outros diagnósticos são fortemente considerados ou em pacientes nos quais ainda haja suspeita de TB pulmonar após outros métodos não comprovarem o diagnóstico.
A coleção de escarro de mais alto rendimento é o primeiro escarro após a broncoscopia.
As biópsias pulmonares transbrônquicas são úteis no diagnóstico da doença miliar, pois é possível observar granulomas e/ou cultivar o Mycobacterium tuberculosis.
Resultado
positivo para bacilos álcool-ácido resistentes
exame de fezes
Exame
O uso de amostras fecais é uma alternativa às amostras respiratórias no diagnóstico de TB pulmonar (o escarro é engolido e o M tuberculosis pode passar pelo trato gastrointestinal). Uma revisão sistemática avaliando o exame de fezes como esfregaço para BAAR, cultura e NAAT (reação em cadeia da polimerase) na TB pulmonar revelou uma sensibilidade combinada de um ou mais dos três exames como 79.1% (IC de 95%: 61.5 a 92.5).[40] A sensibilidade da microscopia de fezes, reação em cadeia da polimerase e cultura foi de 41.1% (IC de 95%: 24.9 a 58.2), 89.7% (IC de 95%: 81.4 a 95.9) e 38.0% (IC de 95%: 26.2 a 50.6).[40]
Resultado
positivo para bacilos álcool-ácido resistentes e/ou M tuberculosis
tratamento empírico
Exame
O diagnóstico de TB ativa pode ser determinado com base na história clínica, incluindo fatores de risco e achados radiográficos.
Outros diagnósticos e a avaliação com broncoscopia e broncoscopia e lavagem broncoalveolar devem ser considerados caso a suspeita de TB não seja alta o suficiente ou o diagnóstico diferencial, incluindo patologias concomitantes, afete o tratamento clínico.
Quando a suspeita clínica de TB pulmonar é alta, o tratamento empírico da TB com o esquema padrão (isoniazida, rifampicina, pirazinamida, etambutol) geralmente é iniciado após a coleta ideal de amostras de escarro.
Para casos de cultura negativa que são colocados no tratamento empírico de TB, a resposta clínica e radiográfica deve ser reavaliada com 2 meses de tratamento e o tratamento com isoniazida e rifampicina deve ser continuado por, pelo menos, mais 2 meses (4 meses de tratamento no total), caso haja uma resposta clínica ou radiográfica. Se não houver qualquer resposta em 2 meses de tratamento, os medicamentos contra TB devem ser suspensos e outro diagnóstico deverá ser investigado.[9]
Resultado
resposta clínica
teste de sensibilidade a medicamentos
Exame
Realizar nos isolados iniciais.
Resultado
sensibilidade a medicamentos
genotipagem
Exame
Útil na investigação de surtos, contatos e contaminação laboratorial cruzada, além de estudos epidemiológicos. Existem evidências de que algumas "famílias" de cepas de TB possam ter maior virulência.
Atualmente, os Centros de Controle e Prevenção de Doenças dos EUA e outros laboratórios utilizam o spoligotyping (um método de reação em cadeia da polimerase para detecção e tipagem simultânea de cepas de Mycobacterium tuberculosis) e/ou uma técnica chamada mycobacterial interspersed repetitive units - variable number tandem repeats (unidades repetitivas intercaladas de micobactérias - número variável de repetições em tandem; MIRU-VNTR) como técnica de genotipagem inicial.
Resultado
genótipo de agente infeccioso
teste de HIV
Exame
Recomenda-se que todos os pacientes com TB façam um exame de HIV em até 2 meses depois do diagnóstico de TB.[9] No contexto de infecção por HIV, TB pulmonar é um diagnóstico definidor de síndrome de imunodeficiência adquirida (AIDS).
A infecção por HIV pode alterar o tratamento de TB e o tratamento da infecção por HIV pode causar uma remissão mais rápida da TB.[9]
Resultado
positivos ou negativos
ensaio de lipoarabinomanano de fluxo lateral na urina (LF-LAM)
Exame
Os testes de fluxo lateral que detectam antígeno lipoarabinomanano (LAM) na urina surgiram como potenciais testes laboratoriais remotos. Uma revisão Cochrane constatou que o ensaio de lipoarabinomanano de fluxo lateral na urina (LF-LAM) tem uma sensibilidade de 42% para diagnosticar TB em indivíduos HIV-positivos com sintomas de TB, e de 35% em indivíduos HIV-positivos não avaliados para sintomas de TB.[41]
[
]
[
]
A Organização Mundial da Saúde (OMS) recomenda que o LF-LAM pode ser usado para auxiliar no diagnóstico de TB ativa em adultos, adolescentes e crianças HIV-positivos.[30][34] Essa abordagem é respaldada por outra revisão Cochrane, que constatou reduções na mortalidade e um aumento nos inícios de tratamento com o uso dos LF-LAM em pacientes hospitalizados e ambulatoriais.[42]
A cultura ainda seria necessária para o teste de sensibilidade aos medicamentos.
Resultado
positiva
tomografia computadorizada (TC) do tórax
Exame
Não é parte da avaliação padrão, mas pode ajudar na avaliação de outros diagnósticos. Pode mostrar os mesmos padrões de doença observados na radiografia torácica. Além disso, pode haver um padrão de árvore em brotamento. É de se destacar que cavidades que são observadas na TC, mas não na radiografia torácica, não classificam o paciente como portador de doença cavitária.
Resultado
anormal
teste tuberculínico cutâneo
Exame
Usado para investigação de infecção latente por TB. Um teste tuberculínico (TT) negativo não descarta a TB ativa, pois resultados falso-negativos ocorrem em 20% a 25% dos pacientes com TB pulmonar ativa.[44] A sensibilidade do TT em diagnosticar a TB ativa é de aproximadamente 75% a 80% e sua incapacidade de diferenciar infecção latente de doença ativa limita sua utilidade.
O TT utiliza o derivado proteico purificado para avaliar a resposta de hipersensibilidade tardia a fim de diagnosticar exposição prévia à TB. Diferentes limites de tamanho de induração são utilizados para definir um teste positivo, dependendo dos fatores de risco do paciente.
Ocorre resposta imune reduzida em pacientes com TB ativa, especialmente com o aumento da idade, desnutrição e doença avançada.[55]
Resultado
milímetros de induração; 0-4 mm, geralmente considerado negativo e nenhum tratamento é indicado, embora possa ser considerado positivo nas crianças de até 5 anos de idade com alto risco de infecção por TB; ≥5 mm, considerado positivo em situação de infecção por HIV, contato com casos de infecção por TB nos últimos 2 anos, opacidades fibróticas à radiografia torácica condizentes com TB não tratada mas curada, pacientes gravemente imunossuprimidos (por exemplo, submetidos a transplante de órgão, bloqueador do fator de necrose tumoral alfa, prednisolona ≥15 mg/dia por 1 mês ou mais); ≥10 mm, considerado positivo em situação de conversão do TT em até 2 anos, condição clínica ou social associada a aumento do risco de progressão para TB ativa (por exemplo, diabetes, desnutrição, tabagismo, consumo de álcool >3 doses/dia, usuários de drogas intravenosas, leucemia, linfoma, neoplasia de cabeça e pescoço, câncer de pulmão, insuficiência renal crônica), imigrantes recentes de países com alta prevalência de TB, residentes e funcionários de ambientes de aglomeração de alto risco (por exemplo, instituições asilares, prisões), funcionários de laboratórios de TB; ≥15 mm, considerado positivo em indivíduos sem fatores de risco para TB
testes de liberação de gamainterferona
Exame
Medem a resposta de células T aos antígenos da TB a fim de diagnosticar exposição prévia. Usado para investigação de infecção latente por TB.
Os testes de liberação de gamainterferona, de forma semelhante ao teste tuberculínico, apresentam baixa sensibilidade em diagnosticar a TB ativa, com um índice de falso-negativos de 20% a 25% em pacientes com TB pulmonar ativa.[44] Eles não fazem a distinção entre infecção latente e doença ativa, o que limita sua utilidade no diagnóstico de TB ativa. A sensibilidade do QuantiFERON®-TB Gold (QFT-G) para TB ativa é de 75%.[55][56]
Resultado
positiva
Testes cutâneos baseados em antígenos de TB (TCTB)
Exame
Os TCTB são uma nova classe de testes que foram desenvolvidos para medir a resposta imunológica celularmente mediada a antígenos específicos do M tuberculosis. A OMS recomenda que os TCTB podem ser usados para testar a infecção latente por TB, relatando que a precisão diagnóstica dos TCTB é semelhante à dos testes de liberação de gamainterferona, e maior que a do TT.[49]
Resultado
positiva
O uso deste conteúdo está sujeito ao nosso aviso legal