Imagens e vídeos
IMAGENS

Cardiopatia congênita
Imagem de ecocardiografia do eixo paraesternal curto revelando um aumento ventricular direito em um paciente com defeito do septo atrial (DSA). (VD) ventrículo direito; (VE) ventrículo esquerdo
Imagem cedida por Patrick W. O'Leary, MD
Veja esta imagem em contexto nas seguintes seções:

Cardiopatia congênita
Subtipos dos defeitos do septo ventricular: (A) saída; (B) perimembranoso; (c) entrada; (D) muscular
Mayo Clinic Foundation
Veja esta imagem em contexto nas seguintes seções:

Cardiopatia congênita
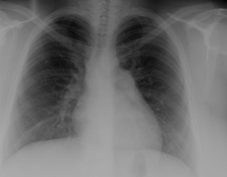
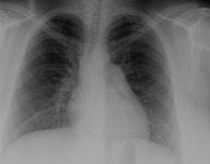
Radiografia torácica demonstrando a transposição circulatória pulmonar
Mayo Clinic Foundation
Veja esta imagem em contexto nas seguintes seções:

Cardiopatia congênita
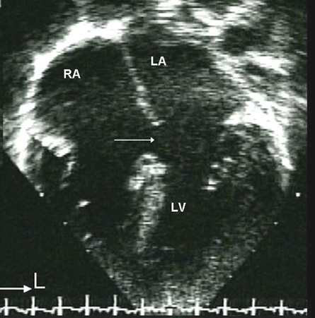
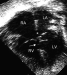
Imagem da ecografia apical de 4 câmaras de um defeito do septo atrial (DSA) do ostium primum (seta). (AD) átrio direito; (AE) átrio esquerdo; (VE) ventrículo esquerdo
Imagem cedida por Patrick W. O'Leary, MD
Veja esta imagem em contexto nas seguintes seções:

Cardiopatia congênita
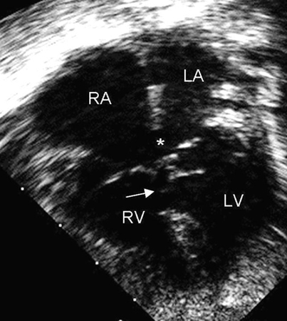
Imagem da ecografia apical de 4 câmaras de um defeito do septo atrioventricular (DSAV) completo. Note o ostium primum no defeito do septo atrial (DSA) (*) e o defeito do septo ventricular (DSV) de entrada adjacente (seta). (AD) átrio direito; (AE) átrio esquerdo; (VD) ventrículo direito; (VE) ventrículo esquerdo
Imagem cedida por Patrick W. O'Leary, MD
Veja esta imagem em contexto nas seguintes seções:

Cardiopatia congênita
Subtipos de defeitos do septo atrial. (A) seio venoso; (B) ostium secundum; (C) ostium primum; (D) seio coronário sem teto
Mayo Clinic Foundation
Veja esta imagem em contexto nas seguintes seções:

Cardiopatia congênita
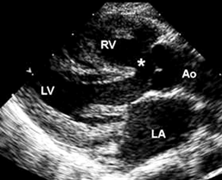
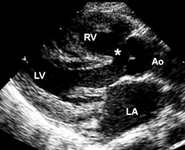
Imagem de ecocardiografia do eixo paraesternal longo em um paciente com tetralogia de Fallot. A aorta (Ao) sobrepõe-se ao defeito do septo ventricular (DSV) (*). (AE) átrio esquerdo; (VD) ventrículo direito; (VE) ventrículo esquerdo
Imagem cedida por Patrick W. O'Leary, MD
Veja esta imagem em contexto nas seguintes seções:

Cardiopatia congênita
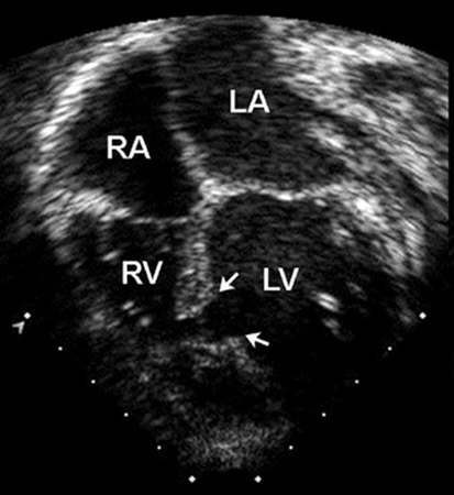
Imagem da ecografia apical de 4 câmaras de um defeito do septo ventricular (DSV) muscular (seta). (AD) átrio direito; (AE) átrio esquerdo; (VD) ventrículo direito; (VE) ventrículo esquerdo
Imagem cedida por Patrick W. O'Leary, MD
Veja esta imagem em contexto nas seguintes seções:

Cardiopatia congênita
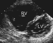
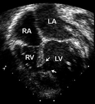
Imagem de ecocardiografia apical de 4 câmaras revelando dilatação do ventrículo direito em um paciente com defeito do septo atrial (DSA). (AD) átrio direito; (VD) ventrículo direito; (VE) ventrículo esquerdo
Imagem cedida por Patrick W. O'Leary, MD
Veja esta imagem em contexto nas seguintes seções:

Cardiopatia congênita
Subtipos de tronco arterioso com defeito do septo ventricular (tipo A): Tipo A1: a artéria pulmonar principal está presente e se bifurca nas artérias pulmonares esquerda e direita. Tipo A2: as artérias pulmonares dos ramos direito e esquerdo surgem de um tronco comum. Tipo A3: um ramo da artéria pulmonar surge do tronco comum e o outro está ausente/surge de uma PCA ou da aorta. Tipo A4: tronco com hipoplasia do arco aórtico, coarctação ou arco aórtico interrompido e grande PCA
Calder L et al. Am Heart J 1976 Jul;92(1):23-38; usado com permissão
Veja esta imagem em contexto nas seguintes seções:

Cardiopatia congênita
Imagem de ecocardiografia transesofágica de um dispositivo de oclusão de defeito do septo atrial (DSA) (seta). (AD) átrio direito; (AE) átrio esquerdo; (VCS) veia cava superior
Imagem cedida por Patrick W. O'Leary, MD
Veja esta imagem em contexto nas seguintes seções:

Cardiopatia congênita
Eletrocardiograma (ECG) de 12 derivações em um lactente com defeito do septo atrioventricular (DSAV) completo; o ECG é significativo para desvio do eixo esquerdo
Mayo Clinic Foundation
Veja esta imagem em contexto nas seguintes seções:
O uso deste conteúdo está sujeito ao nosso aviso legal