Investigações
Primeiras investigações a serem solicitadas
bilirrubina sérica
Exame
Os níveis geralmente variam de 2 a 5 mg/dL, mas níveis tão altos quanto 427 micromol/L (25 mg/dL) foram relatados.[32] A concentração de bilirrubina sérica frequentemente flutua e, ocasionalmente, a bilirrubina pode estar dentro dos limites normais.
Resultado
elevada, com aumento da bilirrubina conjugada no plasma
fosfatase alcalina sérica
Exame
Ajuda a diferenciar das outras causas de icterícia.[29]
Resultado
normal
aminotransferases hepáticas séricas (aspartato aminotransferase e alanina aminotransferase)
Exame
Ajuda a diferenciar das outras causas de icterícia.[31]
Resultado
normal; ocasionalmente pode haver leve elevação da alanina aminotransferase (<2 vezes o limite superior do normal)
albumina sérica
Exame
Ajuda a diferenciar das outras causas de icterícia.
Resultado
normal
gama-glutamiltransferase sérica
Exame
Ajuda a diferenciar das outras causas de icterícia.[29]
Resultado
normal
ácidos biliares séricos
Exame
Os níveis de ácidos biliares em jejum e pós-prandial estão normais. Elevações leves foram observadas em pacientes ocasionais.
Resultado
normal
coagulograma
Exame
A perturbação da coagulação não é uma característica da SDJ, mas a coagulação deve ser verificada em qualquer paciente com icterícia para ajudar a diferenciar de outras causas.
Resultado
normal
Investigações a serem consideradas
razão entre coproporfirina urinária I e III
Exame
Os níveis totais de coproporfirina estão elevados em várias doenças, mas a proporção do isômero I na urina é quase sempre inferior a 65%. Na SDJ, mais de 80% é excretada como coproporfirina I, o que é praticamente diagnóstico de SDJ.[33]
Neonatos saudáveis demonstraram ter aumentos impressionantes dos níveis de coproporfirina urinária, com mais de 80% sendo o isômero I durante os 2 primeiros dias de vida; contudo, no dia 10, os níveis diminuem para coincidir com os valores normais de adultos.[33][35]
Resultado
elevada, a excreção de coproporfirina urinária total é normal ou moderadamente elevada
cintilografia hepatobiliar com ácido hidroxi-iminodiacético (HIDA) marcado com 99mTc (colecintigrafia)
Exame
Em uma pessoa saudável, as imagens das vias biliares e da vesícula biliar são obtidas em 30 minutos após a injeção com ácido hidroxi-iminodiacético (HIDA) marcado com 99mTc, ao passo que uma boa excreção no trato intestinal é observada em menos de 60 minutos. Na SDJ, a captação do radionuclídeo pelo fígado é excelente, mas a excreção para o trato biliar é deficiente. Portanto, é obtida uma colecintigrafia característica, que é uma combinação de visualização intensa e prolongada do fígado com visualização tardia da vesícula biliar e do ducto biliar comum. Às vezes, a vesícula biliar e o trato biliar não são absolutamente visualizados.[30]
Esse exame pode ser útil quando o diagnóstico não é claro ou há suspeitas de outras doenças.[30]
Resultado
visualização intensa e prolongada do fígado, com visualização da vesícula biliar e do ducto biliar comum tardia
biópsia hepática
Exame
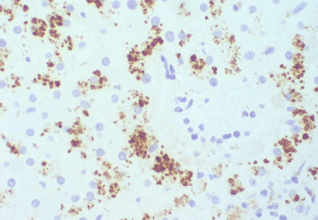
Uma característica marcante da SDJ é a descoloração marrom ao preto do fígado. Esses pigmentos podem se acumular no fígado por causa da secreção insuficiente de vários metabólitos do hepatócito para a bile. Esse pigmento desaparece do fígado durante a hepatite viral aguda, com subsequente reaparecimento.[5][24][25][26][27]
A biópsia hepática percutânea é recomendada para alguns pacientes a fim de confirmar o diagnóstico de SDJ e descartar qualquer patologia concomitante do fígado.
A coproporfirina urinária é um marcador substituto em vez de um teste definitivo. A SDJ é uma doença extremamente rara, portanto, uma investigação definitiva que confirmará o diagnóstico e excluirá outras doenças será útil para tranquilizar os pacientes quanto à natureza benigna dessa doença.[Figure caption and citation for the preceding image starts]: Coloração de Fontana-Masson mostrando o pigmento em um paciente com síndrome de Dubin-Johnson (SDJ)Acervo pessoal do Professor Bernard Portmann, King’s College Hospital, Londres, com permissão [Citation ends].
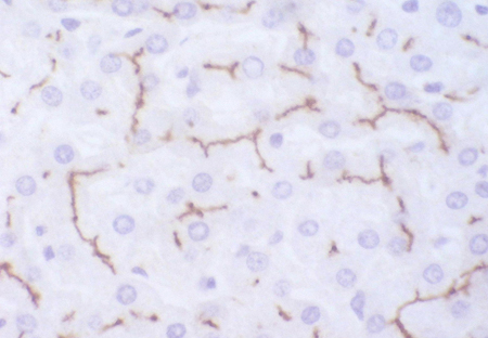
[Figure caption and citation for the preceding image starts]: Imuno-histoquímica de transportador multiespecífico de ânions orgânicos em um controle, que não mostra nenhum pigmento, mas podem ser observadas estruturas canaliculares de ramificação irregularesAcervo pessoal do Professor Bernard Portmann, King’s College Hospital, Londres, com permissão [Citation ends].
[Figure caption and citation for the preceding image starts]: Imuno-histoquímica de transportador canalicular multiespecífico de ânions orgânicos em paciente, mostrando o pigmento, mas não há estrutura canalicularAcervo pessoal do Professor Bernard Portmann, King’s College Hospital, Londres, com permissão [Citation ends].
Resultado
pigmento grosseiramente granulado nos lisossomos dos hepatócitos com histologia hepática normal
análise de mutação no gene ABCC2
Exame
A análise mutacional do gene ABCC2 (que codifica a proteína 2 associada à resistência a multidrogas [MRP2]), utilizando sequenciamento de nova geração e sequenciamento de Sanger, é uma possível ferramenta de diagnóstico na investigação de pacientes com suspeita de SDJ.[31][36][37]
Resultado
presença de uma mutação no gene ABCC2
Novos exames
metabólitos urinários de leucotrieno
Exame
A proteína 2 associada à resistência a múltiplos medicamentos (MRP2) também transporta leucotrienos para a bile. Quando isso é deficiente, há também aumento da excreção urinária dos metabólitos de leucotrienos. Isso pode se tornar um teste não invasivo útil para a SDJ, mas não está ainda em uso clínico disseminado.[38]
Resultado
elevado
O uso deste conteúdo está sujeito ao nosso aviso legal