Imagens e vídeos
IMAGENS

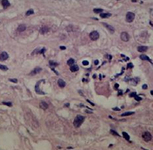
Doença hepática relacionada ao álcool
Biópsia hepática mostrando alterações histológicas típicas de esteatose alcoólica (fígado gorduroso)
Do acervo do Dr. McClain; usado com permissão
Veja esta imagem em contexto nas seguintes seções:

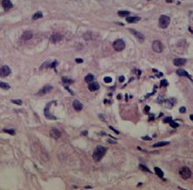
Doença hepática relacionada ao álcool
Biópsia hepática mostrando alterações histológicas típicas de esteato-hepatite alcoólica
Do acervo do Dr. McClain; usado com permissão
Veja esta imagem em contexto nas seguintes seções:

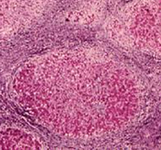
Doença hepática relacionada ao álcool
Biópsia hepática mostrando cirrose alcoólica
Do acervo do Dr. McClain; usado com permissão
Veja esta imagem em contexto nas seguintes seções:
Vídeos
- Demonstração animada de uma paracentese abdominal
Demonstra como realizar uma paracentese abdominal diagnóstica e terapêutica.
O uso deste conteúdo está sujeito ao nosso aviso legal