Imagens e vídeos
IMAGENS

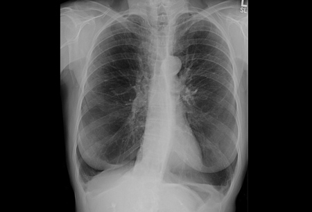
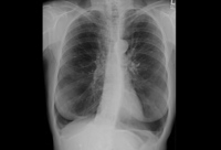
Deficiência de alfa 1-antitripsina
Radiografia torácica de deficiência de alfa 1-antitripsina (AAT) (visualização póstero-anterior [PA])
Da coleção pessoal de D. Kyle Hogarth, MD, FCCP; usado com permissão
Veja esta imagem em contexto nas seguintes seções:

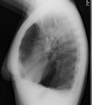
Deficiência de alfa 1-antitripsina
Radiografia torácica de deficiência de alfa 1-antitripsina (AAT) (visualização lateral)
Da coleção pessoal de D. Kyle Hogarth, MD, FCCP; usado com permissão
Veja esta imagem em contexto nas seguintes seções:

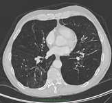
Deficiência de alfa 1-antitripsina
TC de enfisema avançado em paciente com deficiência de AAT
Da coleção pessoal de D. Kyle Hogarth, MD, FCCP; usado com permissão
Veja esta imagem em contexto nas seguintes seções:
O uso deste conteúdo está sujeito ao nosso aviso legal