Imagens e vídeos
IMAGENS

Sialadenite
Edema bilateral das glândulas parótidas na síndrome de Sjögren
Do acervo pessoal do Dr. A. Aguirre; usado com permissão
Veja esta imagem em contexto nas seguintes seções:

Sialadenite
Visão intraoral da glândula parótida direita revelando exsudato purulento saindo do ducto de Stensen
Do acervo pessoal do Dr. A. Aguirre; usado com permissão
Veja esta imagem em contexto nas seguintes seções:

Sialadenite
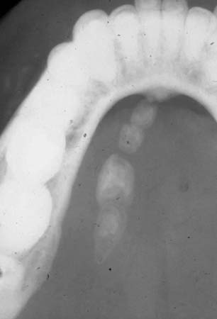
Filme radiográfico oclusal revelando a presença de múltiplos sialolitos no ducto de Wharton esquerdo
Do acervo pessoal do Dr. A. Aguirre; usado com permissão
Veja esta imagem em contexto nas seguintes seções:

Sialadenite
Sialadenite bacteriana aguda da glândula parótida esquerda
Do acervo pessoal do Dr. A. Aguirre; usado com permissão
Veja esta imagem em contexto nas seguintes seções:
O uso deste conteúdo está sujeito ao nosso aviso legal