Investigações
Primeiras investigações a serem solicitadas
teste de HIV
Hemograma completo e perfil metabólico abrangente
Exame
A função da medula óssea e dos órgãos deverá ser avaliada nos pacientes que necessitarem de quimioterapia sistêmica.
Resultado
normal
biópsia de pele/de mucosa
Exame
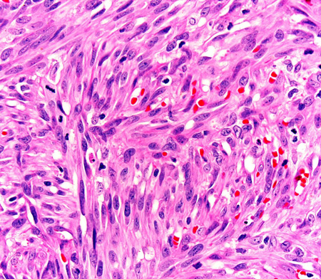
Biópsias por punch cutâneo são fáceis de serem realizadas e prontamente ajudam a descartar condições com sintomas semelhantes. A histopatologia revela células fusiformes atípicas características.[36]
Técnicas de imuno-histoquímica podem ser usadas para detectar os seguintes marcadores expressos por células lesionais do sarcoma de Kaposi: antígeno nuclear associado a latência-1 (LANA-1, um marcador substituto para HHV-8); CD31/CD34 (imunomarcadores de células endoteliais vasculares) e D2-40 (um imunomarcador de células linfáticas).[37][38]
Uma coloração positiva para LANA-1 pode estabelecer o diagnóstico de SK; o CD31 e o CD34 podem ser úteis se não estiver claro se o tumor tem origem vascular.[2][5][38]
[Figure caption and citation for the preceding image starts]: Fotomicrografia da histopatologia do sarcoma de Kaposi mostrando fascículos de células tumorais fusiformes vasoformadoras (coloração de hematoxilina e eosina)Do acervo do Dr. Liron Pantanowitz; usado com permissão [Citation ends].
Resultado
lesão vascular característica
Investigações a serem consideradas
radiografia torácica
Exame
Útil para rastrear para SK pulmonar nos pacientes com doença avançada ou sintomas respiratórios.[2][5] A infecção pulmonar concomitante deve ser descartada, pois nenhum desses achados são patognomônicos para SK.
Resultado
infiltrados nodulares, intersticiais e/ou alveolares; derrame pleural serossanguíneo; linfadenopatia hilar e/ou mediastinal; nódulo solitário
TC do tórax e broncoscopia
Exame
Para estabelecer um diagnóstico de SK pulmonar.Indicadas para os pacientes com radiografia torácica anormal.[2][5]
A biópsia das lesões do trato respiratório é relativamente contraindicada por causa do risco de sangramento.[39][40][41]
Resultado
lesões vasculares características ligeiramente aumentadas na árvore traqueobrônquica, de coloração roxa ou vermelho-cereja
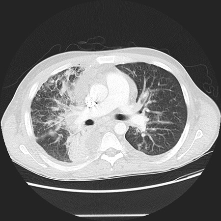
tomografia computadorizada (TC) de abdome/pelve
Exame
Pode ser necessária para descartar outras condições, mas não necessariamente é indicada como parte da avaliação de rotina.[2][5]
A TC pode ser útil para avaliar SK isceral e nodal profundo, além de lesões ósseas. As lesões ósseas são mais facilmente detectadas por TC e ressonância nuclear magnética (RNM), pois elas frequentemente passam desapercebidas nas radiografias simples ou cintilografias ósseas.[43][Figure caption and citation for the preceding image starts]: Tomografia computadorizada (TC) do tórax mostrando um padrão reticular devido ao comprometimento pulmonar por sarcoma de KaposiDo acervo de Dr. Bruce J. Dezube; usado com permissão [Citation ends].
Resultado
útil para avaliar lesões nodais e viscerais
RNM
Exame
Pode ser necessária para descartar outras condições, mas não necessariamente é indicada como parte da avaliação de rotina.[2] Os achados não são específicos para SK. A RNM pode ser útil para avaliar SK visceral e nodal profundo, além de lesões ósseas. As lesões ósseas são mais facilmente detectadas por TC e RNM, pois elas frequentemente passam desapercebidas nas radiografias simples ou cintilografias ósseas.[43]
Resultado
útil para avaliar doença visceral e comprometimento de planos teciduais profundos
sangue oculto nas fezes
Exame
O exame de sangue oculto nas fezes é útil para rastrear doenças do trato gastrointestinal quando há suspeita de envolvimento visceral.[2]
Resultado
um exame positivo pode indicar sangramento do trato gastrointestinal, que pode ser atribuído ao sarcoma de Kaposi
endoscopia digestiva
Exame
A endoscopia gastrointestinal em indivíduos sintomáticos pode ser útil, mas não é recomendada como parte da avaliação de rotina na ausência de deficiência de ferro, sangramento gastrointestinal ou sintomas gastrointestinais.[2][4]
Uma biópsia da mucosa pode não ser sempre diagnóstica, já que as lesões de SK frequentemente são submucosas.
Resultado
nódulos hemorrágicos isolados ou confluentes
tomografia por emissão de pósitrons (PET)
Exame
Pode ser necessária para descartar outras condições, mas não necessariamente é indicada como parte da avaliação de rotina.[2][5] Os achados não são específicos a SK.
Após a terapia, uma PET pode ser usada para ajudar a demonstrar quais lesões de SK permanecem ativas, embora ela raramente seja empregada.[46]
Resultado
positiva
biópsia de linfonodos
Exame
Na presença de doença cutânea, a biópsia dos linfonodos pequenos de rotina não é recomendada para o diagnóstico de SK nodal.
A linfadenopatia deve ser examinada histologicamente se houver suspeita de um distúrbio coexistente (por exemplo, infecção, linfoma, doença de Castleman multicêntrica).[2][42]
Resultado
lesão vascular característica
testes de função renal
Exame
É necessário avaliar a função renal nos pacientes que necessitam de quimioterapia sistêmica.
Resultado
normal
testes da função hepática
Exame
É necessário avaliar a função hepática nos pacientes que necessitam de quimioterapia sistêmica.
Resultado
normal
Novos exames
sorologia e viremia para herpes-vírus humano tipo 8 (HHV-8)
Exame
Pode indicar pacientes sob risco e/ou apresentar correlação com a carga da doença SK.
A determinação de HHV-8 (reação em cadeia da polimerase) e ensaios para anticorpos contra HHV-8 não costumam ser necessários na prática clínica de rotina, mas podem ser considerados de maneira individual.[3][5]
Resultado
se disponível, presença de DNA do HHV-8 (cópias/mL) por reação em cadeia da polimerase ou anticorpos anti-HHV-8 por ensaio de imunoadsorção enzimática
O uso deste conteúdo está sujeito ao nosso aviso legal